X Jornadas de Actualización en Medicina de Urgencias y VI Jornadas de Ecografía de la semFYC
6-7-8 de febrero de 2025
Antecedentes personales relevantes, anamnesis, exploración física y lugar que ocupa en ella la ecografía
No RAMc. FRCV: DL sin tratamiento farmacológico. AP: Extrasistolia ventricular, hipotiroidismo, hernia de hiato, artrosis. Tto: levotiroxina, bisoprolol, ketazolam, omeprazol y paracetamol a demanda.
EF: MSD: Se palpa tumoración de consistencia gomosa en porción distal de la clavícula derecha, no crepita. Maniobra de Apley positiva, maniobra de Jobe positiva, test de Gerber positivo, Test de Patte positivo. Fuerza limitada por el dolor, sensibilidad conservada. Neurovascular distal conservado.
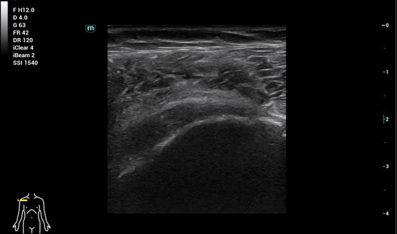
Se realiza ecografía hombro derecho para ayudarnos con el diagnóstico diferencial: tumores sólidos, quistes o gangliones de contenido líquido.
Descripción de los hallazgos ecográficos y las imágenes más relevantes para la resolución del caso
Ecografía de hombro derecho: Lesión multilobulada anecoica, sin claro refuerzo posterior, bien delimitada con paredes gruesas. Doppler negativo.
Otras pruebas complementarias realizadas (si existen)
Rx hombro derecho: no se observan lesiones óseas agudas, signos degenerativos.
RMN: Cambios hipertróficos en la articulación acromio-clavicular con líquido e imagen de ganglión de unos 5 cm. Desgarro del manguito de los rotadores con desgarro completo del tendón supraespinoso. Desgarro del tendón infraespinoso, del tendón subescapular, del redondo menor y del tendón de la cabeza larga del bíceps braquial. Líquido en la bolsa subacromiosubdeltoidea y subcoracoidea.
Juicio clínico, diagnóstico diferencial, concordancia con el hospital (en su caso)
JC: Tumoración de procedencia ósea o partes blandas vs omartrosis derecha vs lesión manguito de los rotadores.
Dx Diferencial: bursitis subacromial, ganglión.
Decisiones adoptadas: tratamiento, planes de actuación
Tto: Paracetamol 650 mg, 1 comp. cada 8 h y tramadol 50 mg cada 8 h. Se solicita prueba de imagen complementaria mediante econsulta al servicio de traumatología. Se explican ejercicios para aliviar dolor en manguito rotador, debe evitar coger peso y evitar dormir sobre ese lado.
Evolución y seguimiento
La paciente refirió mejoría al comenzar con los ejercicios de natación y balneoterapia y desaparición del bultoma espontáneamente. Es valorada por servicio de traumatología, desestiman cirugía al presentar un elevado riesgo por la cardiopatía que presenta la paciente.
La ecografía es una herramienta muy útil para el diagnóstico diferencial de los bultomas y tumores, en nuestro caso el hombro, dándonos la capacidad de diferenciar entre tumores sólidos, de quistes, gangliones de contenido líquido u otras patologías. Además, permite realizar infiltraciones ecoguiadas en el centro de salud con máxima seguridad para el paciente. De esta forma, el tratamiento se puede pautar de forma precoz y puede realizarse seguimiento para valorar otras opciones terapéuticas.


