X Jornadas de Actualización en Medicina de Urgencias y VI Jornadas de Ecografía de la semFYC
6-7-8 de febrero de 2025
Antecedentes personales relevantes, anamnesis, exploración física y lugar que ocupa en ella la ecografía
AP: HTA, consumo de alcohol moderado, quistes renales (madre y hermano).
Hombre de 48 años que acude a consulta programada por presentar dolor abdominal de meses de evolución, tipo cólico, de moderada intensidad, que comienza en flanco derecho y se irradia a espalda, acudiendo en varias ocasiones al servicio de Urgencias del propio centro, en su última visita refiere además vómitos de contenido alimentario y luego bilioso con restos hemáticos.
Al examen físico: TA: 139/90 mmHg, FC: 86 lpm, Temp: 35,9 ºC.
Abdomen: doloroso a la palpación profunda a nivel de epigastrio e hipocondrio derecho, Murphy dudoso, se palpa hepatomegalia de 2-3 traveses, no datos de irritación peritoneal.
Se indica analítica y ecografía abdominal para ampliar estudio.
Analítica: a destacar TGC: 160 mg/dL, TGP: 38 U/L, TGO: 102 U/L, GGT: 66 U/L. Hepatitis A pasada.
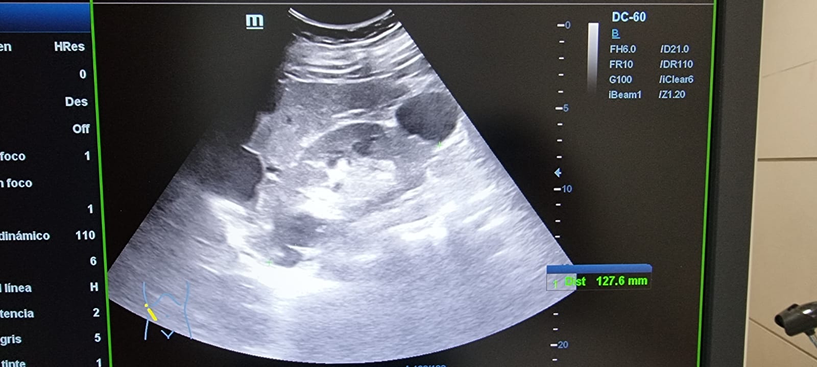
Descripción de los hallazgos ecográficos y las imágenes más relevantes para la resolución del caso
Ecografía abdominal: Hepatomegalia esteatósica difusa leve con múltiples imágenes anecoicas con refuerzo posterior, sin vascularización, compatible con poliquistosis. Riñón derecho con múltiples imágenes anecoicas en polo superior e inferior con refuerzo posterior. Sin signos de uropatía obstructiva. Riñón izquierdo con presencia de múltiples imágenes anecoicas compatibles con poliquistosis.
Otras pruebas complementarias realizadas (si existen)
Ionograma: normal.
Juicio clínico, diagnóstico diferencial, concordancia con el hospital (en su caso)
JD: Poliquistosis hepatorrenal.
DF: Colelitiasis, Colecistitis, Nefrolitiasis, Pielonefritis.
Concordancia: sí.
Decisiones adoptadas: tratamiento, planes de actuación
Se deriva a Nefrología.
Evolución y seguimiento
En seguimiento por Nefrología con función hepática y renal conservadas y control ecográfico cada 6 meses.
La PHA es una enfermedad común a dos trastornos hereditarios autosómicos dominantes. Principalmente se asocia con lo que se conoce como Poliquistosis renal autosómica dominante (PQRAD). También puede presentarse de forma aislada sin asociarse a PQRAD, como Poliquistosis hepática autosómica dominante. La mayoría de los pacientes se mantienen asintomáticos hasta la cuarta o quinta década de su vida o hasta que los quistes son demasiado grandes produciendo clínica, para su diagnóstico la prueba de elección es la ecografía abdominal. En este caso se ha podido diagnosticar desde AP y derivado a consulta especializada. No obstante, no debemos olvidar el importante papel que desempeñamos como médico de familia en cuanto a explicar al paciente su patología y los cuidados dietéticos que debe tener para mantener un buen control de esta y de su calidad de vida.


