X Jornadas de Actualización en Medicina de Urgencias y VI Jornadas de Ecografía de la semFYC
6-7-8 de febrero de 2025
Atención Primaria.
Dolor abdominal.
Antecedentes personales relevantes, anamnesis, exploración física y lugar que ocupa en ella la ecografía
Paciente hombre de 62 años consulta por clínica de dolor abdominal epigástrico tipo cólico irradiado a espalda, acompañado de sudoración, de dos semanas de evolución. No disuria. No fiebre. Escasa mejoría clínica con pauta de analgesia,
Exploración física: Abdomen doloroso a la palpación en epigastrio, masa pulsátil centroabdominal. Puñopercusión renal bilateral negativa.
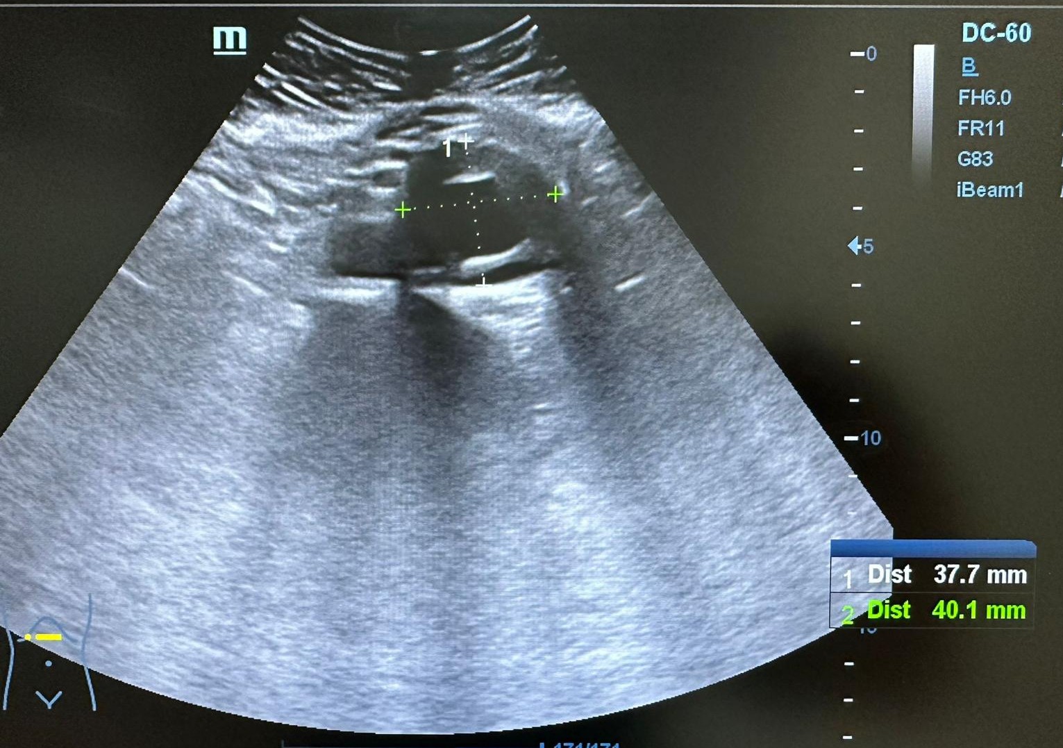
Descripción de los hallazgos ecográficos y las imágenes más relevantes para la resolución del caso
Ecografía clínica AP con los hallazgos siguientes: Presenta dilatación aneurismática de aorta infrarrenal fusiforme con trombo en su interior que disminuye la luz aórtica con diámetro 37,7 x 40,1 mm. Ambos riñones con forma y tamaño normales, buena diferenciación córtico medular sin signos de uropatía obstructiva.
Otras pruebas complementarias realizadas (si existen)
Se realiza tira de orina en consulta, con resultado negativo.
Juicio clínico, diagnóstico diferencial, concordancia con el hospital (en su caso)
Aneurisma de Aorta Infrarrenal.
Diagnóstico diferencial: Cólico renal. Colecistitis aguda. Úlcera gástrica.
Decisiones adoptadas: tratamiento, planes de actuación
Ante la clínica y los hallazgos ecográficos descritos, se derivó a urgencias hospitalarias para descartar disección aórtica. Realizan TC de abdomen con contraste informado de: Aneurisma de aorta infrarrenal con diámetro máximo de 48 mm de eje craneocaudal sin signos de ruptura inminente. La AMI sale del saco aneurismático. Extensión hasta porción proximal de ambas ilíacas. Aneurisma de arteria ilíaca común derecha de 17 x 15 mm. Dilatación de arteria ilíaca común izquierda de 10 x 11 mm.
Evolución y seguimiento
Valorado por cirugía vascular, hallazgo casual de aneurisma de aorta infrarrenal sin datos de complicación y sin tamaño quirúrgico. El dolor descrito por el paciente no se justifica por el aneurisma. Pauta de AAS 100 mg/24 horas y Atorvastatina 40 mg/24 h; abstinencia tabáquica. Seguimiento ambulatorio con ecografía de control.
La ecografía clínica AP se muestra como una herramienta más en nuestra práctica clínica, permitiendo, en este caso, el diagnóstico diferencial de dolor abdominal, y evitando así un diagnóstico tardío y/o complicación fatal de una patología vascular.


