V Jornadas de Ecografía de la semFYC

9 y 10 de febrero de 2024

Comunicaciones: Casos clínicos

Veo doble, pero no necesito gafas (póster)

Ámbito del caso

Urgencias.

Motivos de consulta

Dolor en miembro inferior derecho.

Historia clínica

Enfoque individual

Varón de 25 años, sin antecedentes, acude refiriendo dolor de 2 días en pierna derecha. Niega sobreesfuerzos, comenta esguince previo, que ha limitado su actividad física.

A la exploración, molestias a la palpación en región gemelar, sin aumento de temperatura, eritema, ni aumento de volumen respecto a pierna contralateral.

Ante la sospecha de TVP, calculamos puntuación Wells, 2 puntos, probabilidad intermedia para TVP, por lo que procedemos a realizar ecografía clínica de compresión.

Hallazgos ecográficos

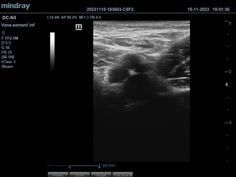
Durante la realización del examen, llama la atención, a nivel de la división de la arteria femoral, en femoral superficial y profunda, aparición de no 3, sino 4 imágenes redondeadas, que sugieren estructuras vasculares.

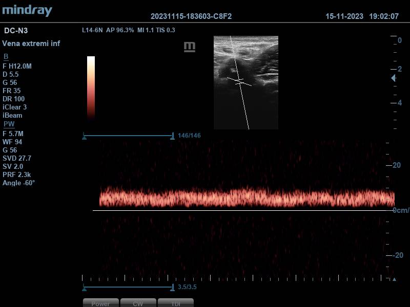
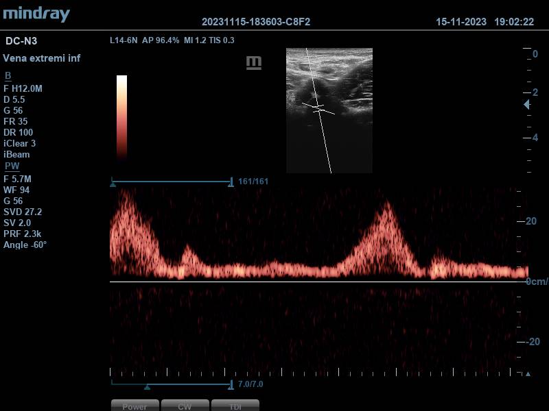
Se aplica Doppler pulsado, obteniéndose dos espectros compatibles con vasos arteriales (correspondientes a la arteria femoral superficial y femoral profunda), y otros dos espectros con patrón sugestivo de flujo venoso, que aumenta con la compresión del gemelo, generando picos de flujo. Todo ello, hace pensar en que estamos ante una duplicidad femoral.

Ante este hallazgo se procede a realizar la ecografía realizando compresiones por ambas venas femorales, encontrándolas ambas compresibles. Se completa estudio a nivel poplíteo, donde solo se observa una vena poplítea, compresible también.

Juicio clínico, diagnóstico diferencial, identificación de problemas

Se descarta así la presencia de TVP.

Tratamiento y planes de actuación

Se pauta tratamiento sintomático y control evolutivo.

Conclusiones (y aplicabilidad para la Medicina de Familia)

Cuando realizamos una ecografía no solo debemos conocer la anatomía normal, y los principales hallazgos patológicos; es importante también conocer variantes anatómicas normales, para identificarlas, no confundirlas con patología, y saber adecuar el estudio ecográfico a las mismas.

La prevalencia de la duplicidad femoral varía según la serie consultada, entre el 8 y el 12%. Las duplicidades pueden ser completas, o de solo una porción de la vena femoral, y afectar, o no a la vena poplítea; así mismo, pueden ser bilaterales, o afectar a un único miembro. 

Conocer su existencia y saber detectarla es importante para realizar un correcto examen y evitar falsos negativos, pues la vena accesoria duplicada también puede sufrir trombosis.


Comunicaciones y ponencias semFYC: 2026; Comunicaciones: Casos clínicos. ISSN: 2339-9333

Autores

Ortiz Heras, Vanesa
Hospital Universitario Infanta Leonor. Madrid
Herrera Marinas, Ana
Hospital Universitario Infanta Leonor. Madrid
Ibañez Perez, Rocio
Hospital Universitario Infanta Leonor. Madrid