5, 6 y 7 de febrero de 2026
Introducir la venopunción ecoguiada dentro de las competencias de la Enfermera Familiar y Comunitaria de Asturias.
Valorar la aplicabilidad y utilidad de esta técnica en Atención Primaria (AP) fomentando la colaboración multidisciplinar.
Organizar un circuito de formación de formadores: formación de las residentes con posterior realización de un taller para el resto de enfermeras del equipo de Atención Primaria (EAP).
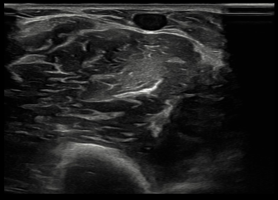
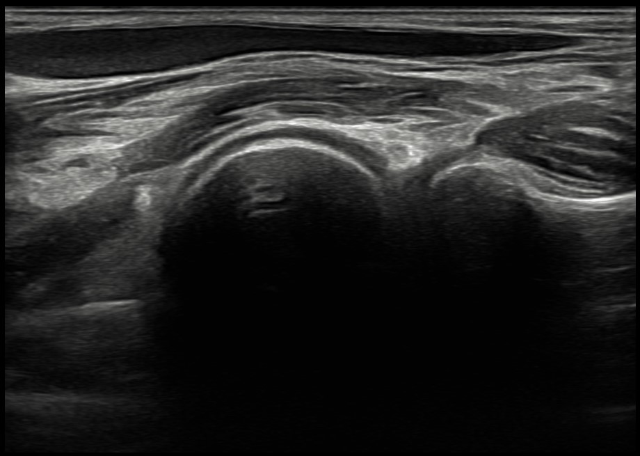
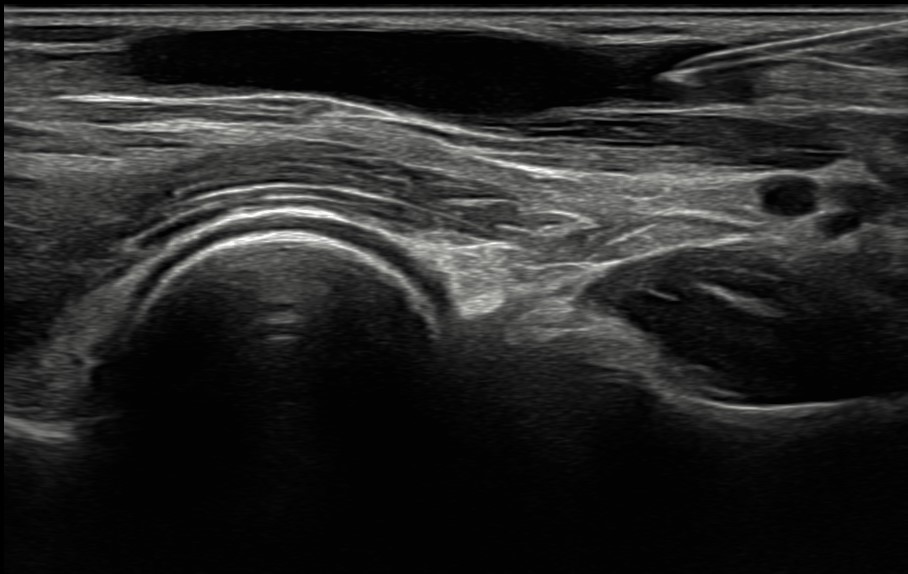
La venopunción ecoguiada se muestra como una técnica segura que ayuda a fomentar medidas de prevención cuaternaria y mejora el control emocional de los pacientes. Actualmente esta técnica se encuentra casi exclusivamente ligada a servicios como urgencias hospitalarias o UCI. Su implementación dentro de la Atención Primaria supone un proceso novedoso y destacable. Hoy en día, las enfermeras especialistas en Familiar y Comunitaria no cuentan en su periodo de residencia con una formación adecuada en esta técnica, por lo que el modelo de formación de formadores y su posterior integración en el EAP se plantea como un proceso innovador y pionero en Atención Primaria del Servicio de Salud del Principado de Asturias. Para iniciar la implementación de esta técnica, se ha realizado formación teórica y práctica conjunta entre residentes de medicina y enfermería.
La venopunción ecoguiada se muestra como una técnica asequible y útil en Atención Primaria, especialmente en casos de venopunción dificultosa.
Permite una innovación en el rol de la Enfermería Familiar y Comunitaria en Asturias.
El desarrollo de la experiencia en un centro docente con residentes de Enfermería y Medicina permite la formación de los mismos y ofrecer un feedback posterior al resto de enfermeras del centro.
La disponibilidad de ecógrafos en todos los centros docentes de AP del Principado de Asturias hace posible la implementación de una propuesta innovadora.
Mejoría en flebotomías y canalizaciones venosas gracias a la correcta formación del EAP en técnica de venopunción ecoguiada.



