V Jornadas de Ecografía de la semFYC

9 y 10 de febrero de 2024

Comunicaciones: Casos clínicos

Vengo sin cita, pero me duele la tripa. ¿puede verme? (póster)

Ámbito del caso

Atención Primaria.

Motivos de consulta

Dolor y bulto en abdomen.

Historia clínica

Enfoque individual

Varón de 72 años con antecedentes de hipertensión arterial, hipercolesterolemia, ictus isquémico sin secuelas, colecistectomizado hace dos años, insuficiencia renal crónica grado IIIA e hipertiroidismo tratado y estable. Tratamiento actual con clopidogrel, enalapril, rosuvastatina y ezetimiba. Acude sin cita, refiriendo dolor abdominal desde hace unas horas, y además se ha palpado un bulto. A la exploración se aprecia una tumoración indurada y muy dolorosa en línea media del abdomen, unos 2 cm por encima del ombligo.

Hallazgos ecográficos

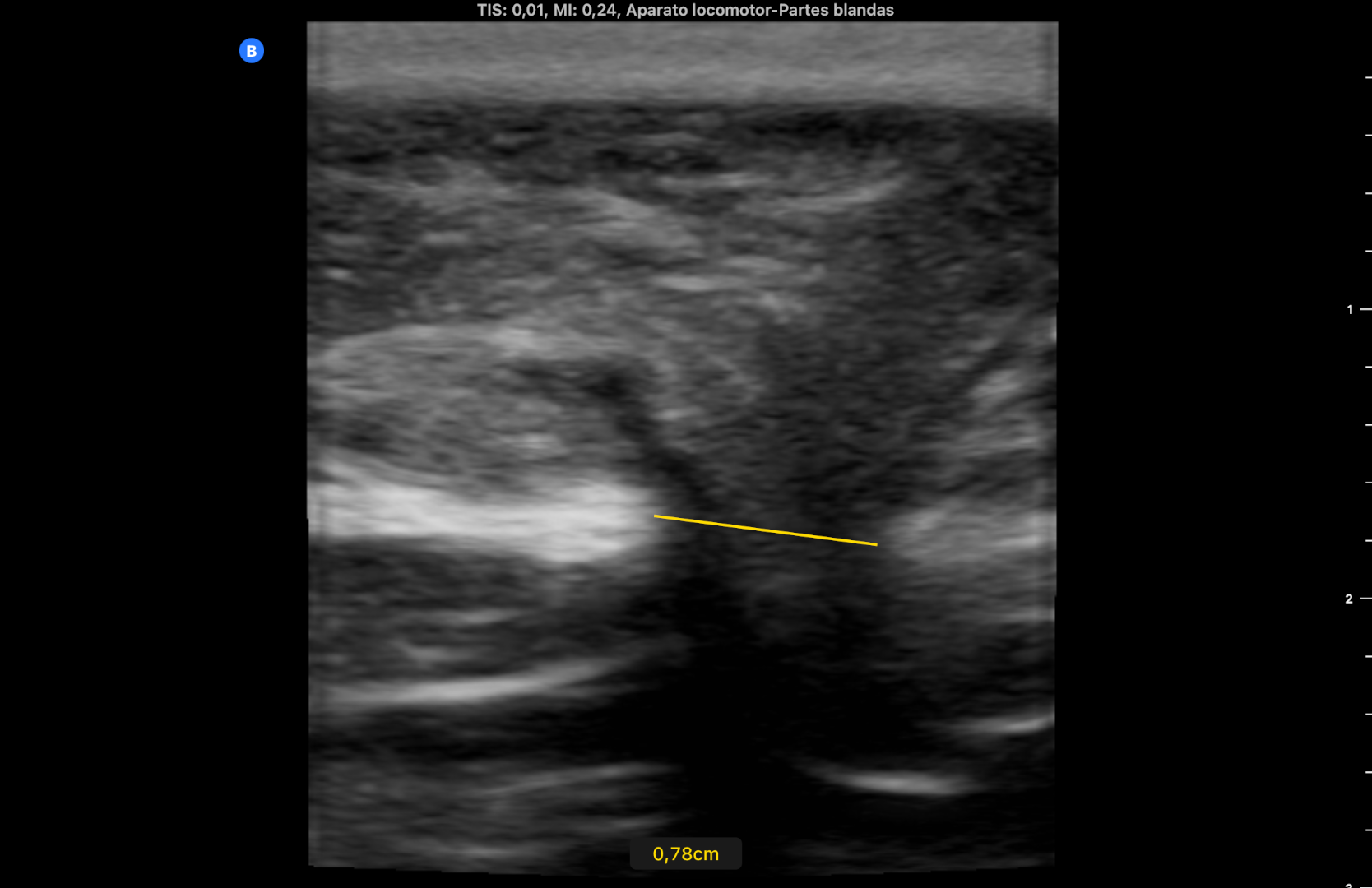
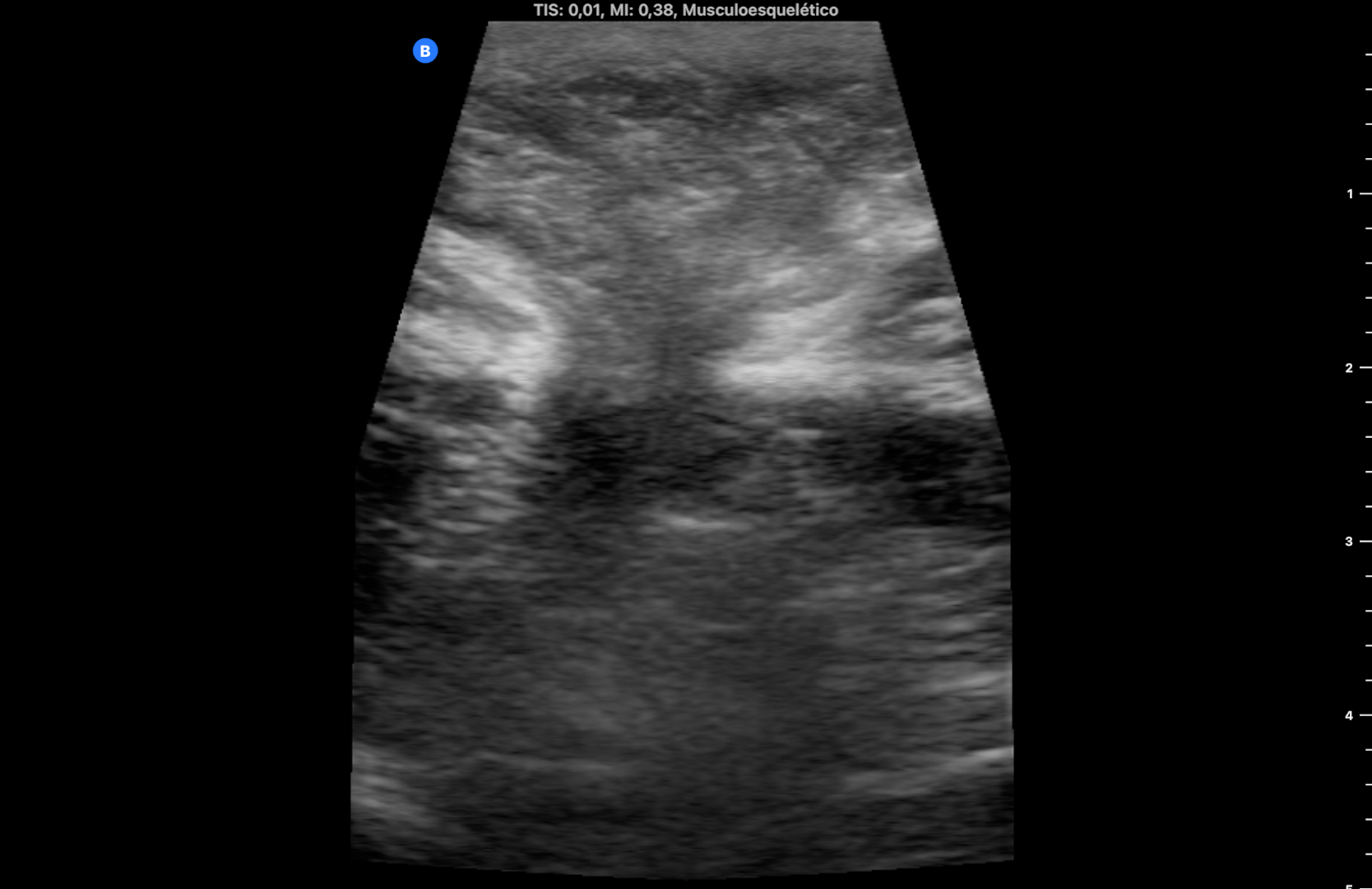
Se utiliza en la misma consulta una sonda portátil con preset de partes blandas, observando una imagen heterogénea redondeada, rodeada de líquido anecogénico a nivel subcutáneo que rompe la línea alba (imagen 1). Durante la exploración se comprime con la sonda en el lugar de la imagen consiguiendo la reducción de la misma y desapareciendo el dolor. La ecografía muestra entonces la discontinuidad de la línea alba con una pequeña protrusión de grasa (imagen 2) (se dispone de vídeos).

Pruebas complementarias

No.

Juicio clínico, diagnóstico diferencial, identificación de problemas

Hernia umbilical incarcerada reducida en el momento de la consulta. El diagnóstico diferencial debe hacerse con lipomas, hernias epigástricas, diástasis de rectos, onfalitis supurativas o metástasis umbilicales de carcinomas intraabdominales denominadas «nódulo de la hermana María José». 

Tratamiento y planes de actuación

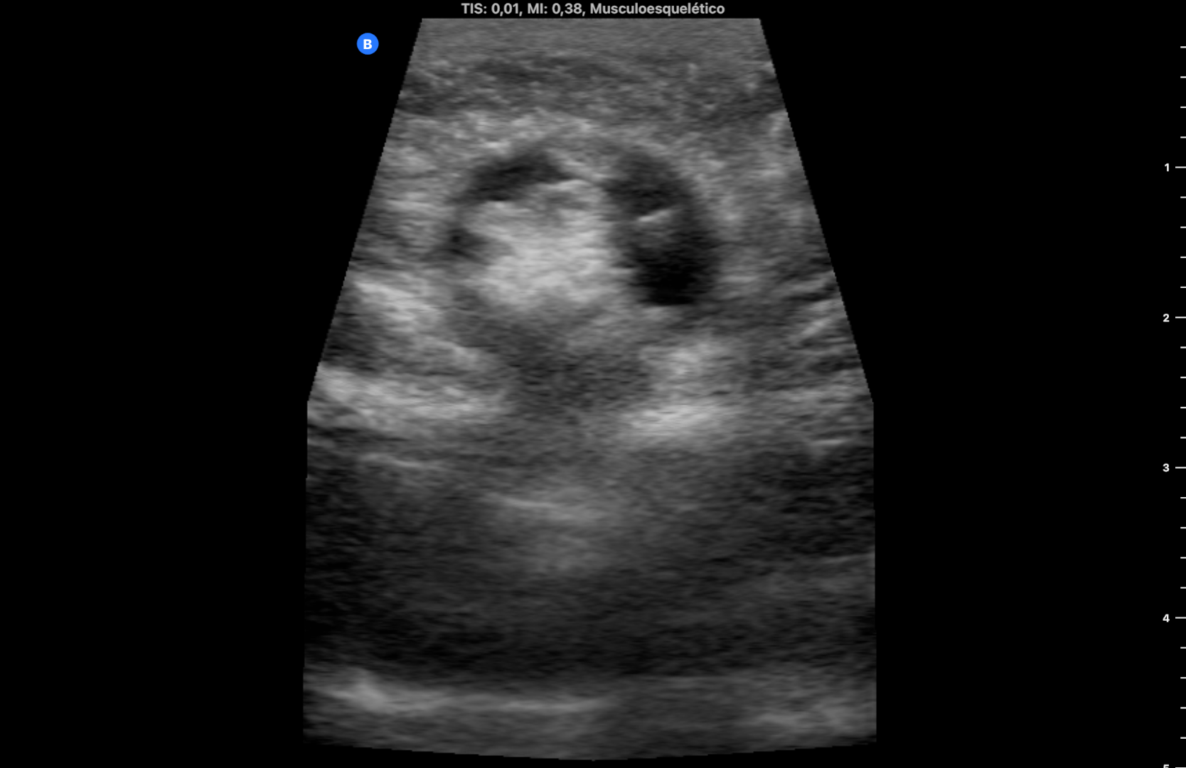
Se derivó al Servicio de Cirugía General por circuito preferente, advirtiendo de acudir a Urgencias si volvía a aparecer el bulto y el dolor. Se citó 6 días después persistiendo el orificio herniario de 7,8 mm sin extrusión de asa intestinal (imagen 3).

Evolución

Fue visto en consultas y se programó cirugía. Una semana antes de la misma acudió a urgencias con bulto doloroso donde se redujo nuevamente la hernia. Posteriormente fue intervenido sin incidencias.

Conclusiones (y aplicabilidad para la Medicina de Familia)

La ecografía en el ámbito de la Atención Primaria permite el diagnóstico (y a veces el tratamiento) en determinadas situaciones clínicas. Aunque el diagnóstico de hernia umbilical es clínico, la ecografía permite detectar los signos de sufrimiento (líquido periherniario) que indican la necesidad de reducción inmediata, y si no se consigue, derivación urgente al hospital.
 
 
 

Comunicaciones y ponencias semFYC: 2026; Comunicaciones: Casos clínicos. ISSN: 2339-9333

Autores

Al-Abrash Ghalyoun, Sara
CS San Miguel (Plasencia II). Cáceres
Benítez Díaz, Mónica
CS San Miguel (Plasencia II). Cáceres
MartÍN De La Hinojosa , María Josefa
CS San Miguel (Plasencia II). Cáceres