V Jornadas de Ecografía de la semFYC

9 y 10 de febrero de 2024

Comunicaciones: Casos clínicos

Vengo acompañando a mi mujer (póster)

Ámbito del caso

Atención Primaria 

Motivos de consulta

Varón de 88, HTA, viene a consulta de acompañante de mujer. Revisamos su historia y vemos que hace mas de 1 año que no se hace revisón, le citamos una analítica.

Historia clínica

Enfoque individual

88 años, fumador IPA: 62, HTA en tto medico, GBA. En analítica de control llama la atencion la presencia de datos de citólisis y colestasis severa que nunca ha tenido. Cuenta perdida de peso no cuantificada, sin astenia, ni anorexia, sin dolor abdominal. Ante estos hallazgos solicitamos nueva analitica y citamos para ecografía.

Hallazgos ecográficos

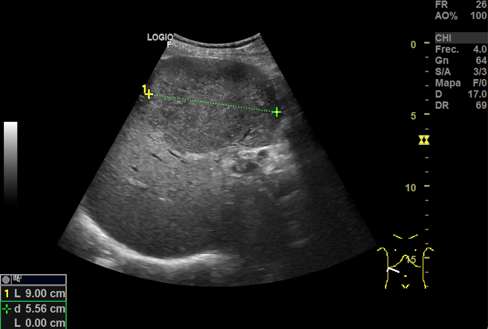
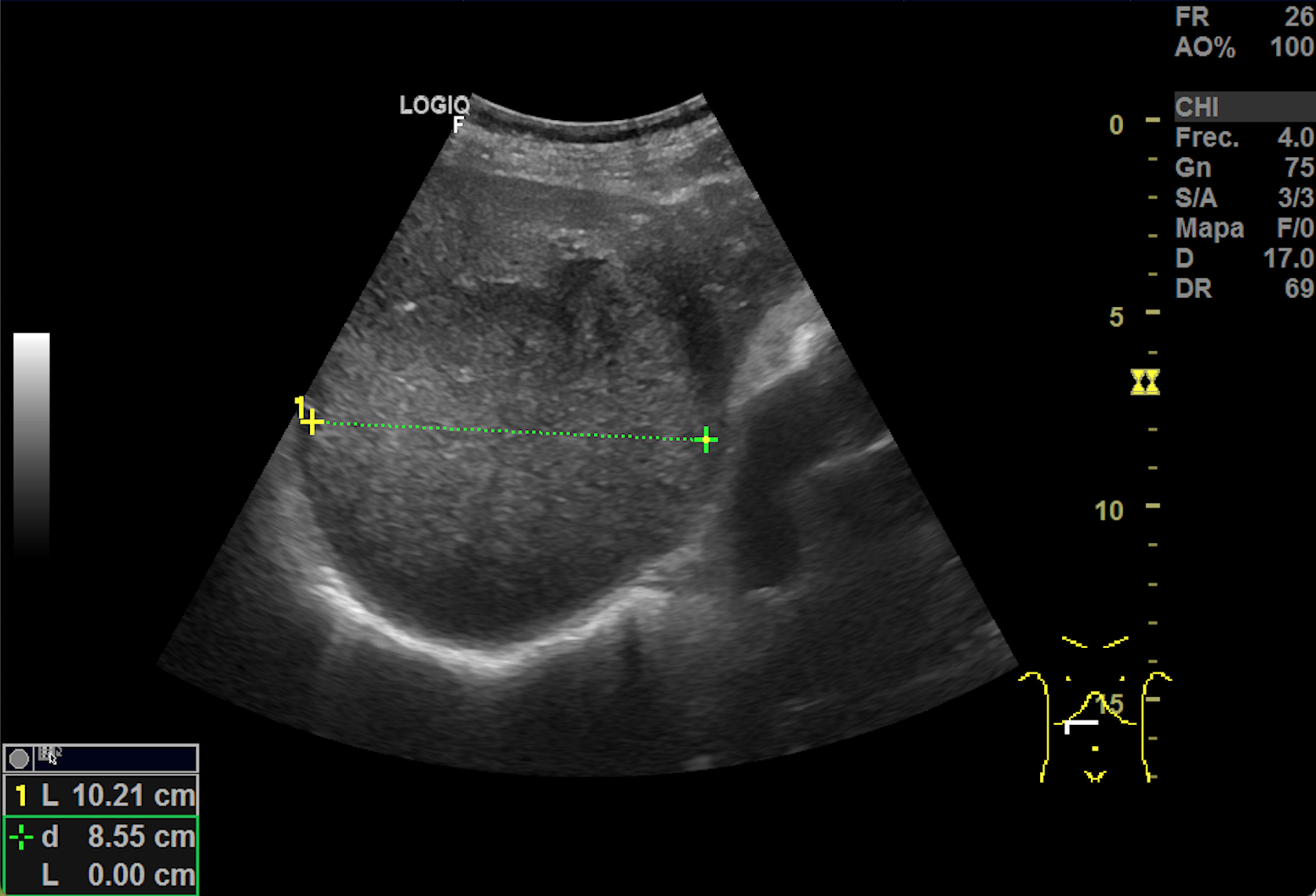
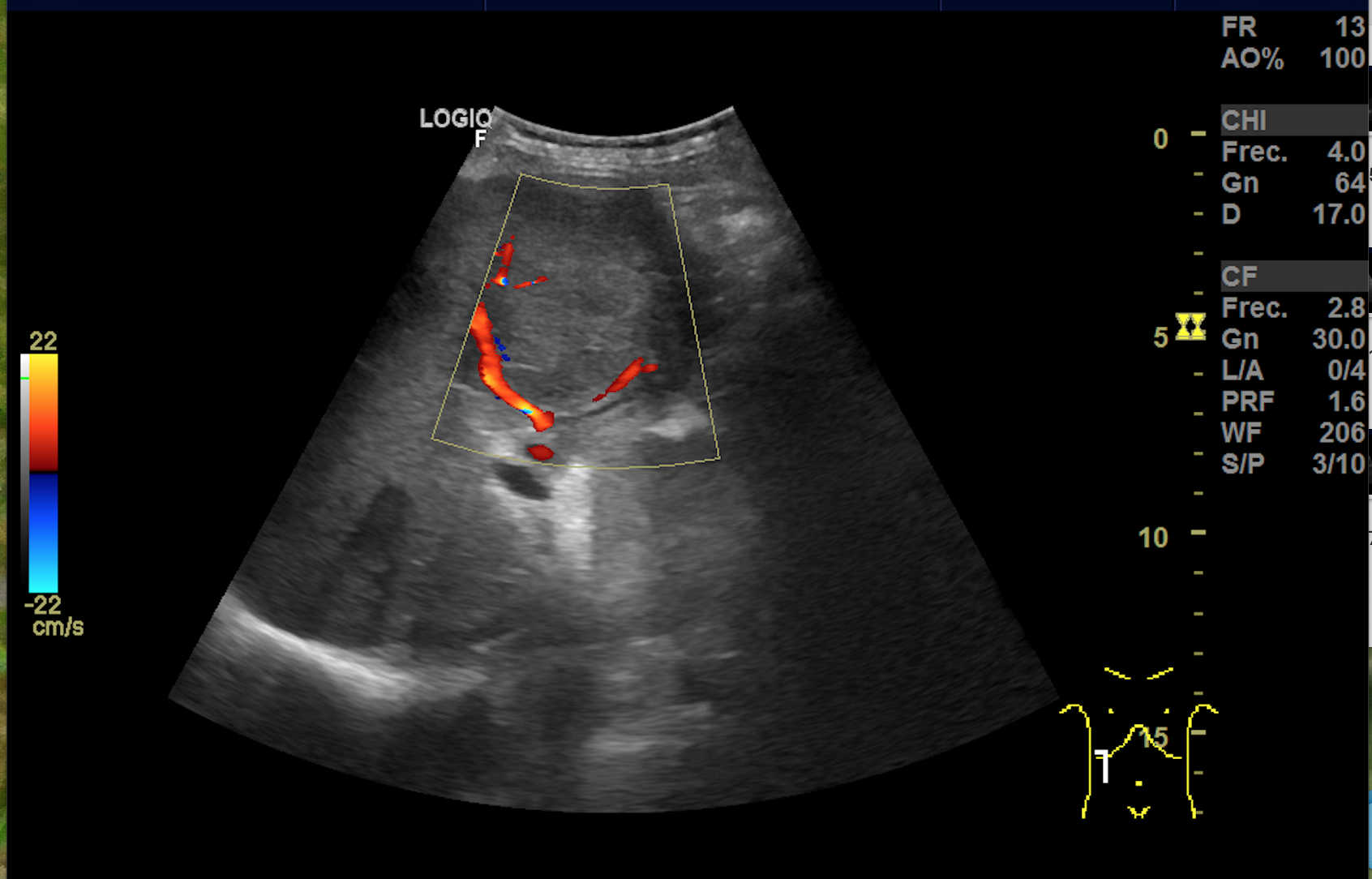
Hígado aumentado de tamaño donde se observan, ocupando gran parte del lóbulo hepático derecho al menos 2 imágenes redondeadas heteroecoicas vascularizadas de hasta 11 cm de diámetro. Vesicula bien replecionada con imagenes heteroecoicas con sombra posterior en su interior. El hemiabdomen izquierdo esta ocupado por lesiones anecoicas que impresionan de quistes renales. No observamos líquido libre.

Pruebas complementarias

TAC body: Masa subcarinal que contacta con esófago. Hepatomegalia con 2 lesiones focales de gran tamaño en cúpula de 10 x 12 cm y segmento V-VI de 10 x 7,8 cm. Numerosas adenopatias retroperitoneales y en hilio hepático. Vesicula biliar con colelitiasis. Riñón izquierdo con 2 quiste corticales de gran tamaño (13 cm cada uno).
Fibrobroncoscopia: cáncer pulmonar lóbulo medio derecho. Atención Primaria: ca. microcítico de pulmón.
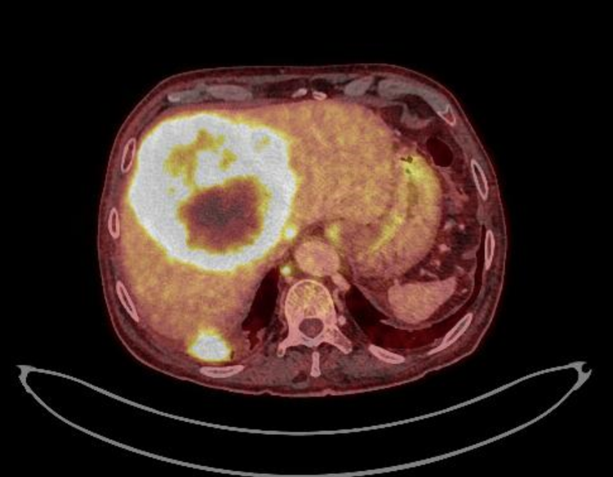
PET TAC: neoplasia pulmonar con gran cantidad de adenopatias supra e infradiafrágmaticas y depositos secundarios hepáticos.

Juicio clínico, diagnóstico diferencial, identificación de problemas

Ante las alteraciones analíticas confirmadas y los hallazgos ecográficos derivamos a Medicina Interna por sospecha de malignidad.

Tratamiento y planes de actuación

Tras la realización del estudio se deriva a neumología que diagnostica de Carcinoma microcítico de pulmón estadio IV.

Evolución

Se ha desestimado tratamiento, por lo que el paciente ha pasado a nuestro cargo para atención paliativa con el apoyo del ESADP.

Conclusiones (y aplicabilidad para la Medicina de Familia)

Ante una alteración sospechosa de transaminasas, disponer de ecografía supone conseguir en tiempo record una orientación diagnóstica de nuestros pacientes.
 
 
 
 

Comunicaciones y ponencias semFYC: 2026; Comunicaciones: Casos clínicos. ISSN: 2339-9333

Autores

Romero Pineda, Elisa
CS Puerta Bonita. Madrid
Rubio Mancha, Irene
CS Puerta Bonita. Madrid
Gonzalez Fernandez, Cristina
CS Puerta Bonita. Madrid