X Jornadas de Actualización en Medicina de Urgencias y VI Jornadas de Ecografía de la semFYC
6-7-8 de febrero de 2025
Servicio de urgencias.
Dilatación de vasos en la muñeca derecha.
Antecedentes personales relevantes, anamnesis, exploración física y lugar que ocupa en ella la ecografía
Paciente de 69 años, exfumador y dislipémico. Antecedentes de IMASEST con enfermedad de coronaria derecha que precisó intervención coronaria percutánea con implante de stent farmacoactivo.
Acude por clínica de 3 semanas de evolución de dilatación de los vasos en la cara palmar de la muñeca derecha y sensación de aumento de temperatura local sin fiebre.
En la exploración se objetivan venas varicosas y tortuosa en cara palmar de la muñeca derecha con palpación de frémito en dicho nivel.
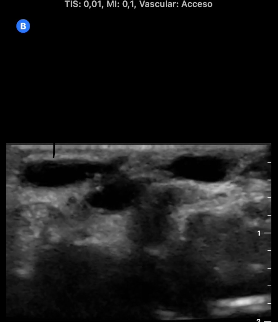
Descripción de los hallazgos ecográficos y las imágenes más relevantes para la resolución del caso
En la cara palmar de la muñeca derecha se aprecia un aumento de tamaño de las venas superficiales con flujo Doppler color en su interior. En arteria radial se observa flujo muy turbulento con comunicación de arteria radial con una vena superficial del antebrazo.
Otras pruebas complementarias realizadas (si existen)
El paciente consultó por segunda vez en nuestro servicio antes de ser valorado en consulta de cirugía vascular. En esta visita se solicitó ecografía al radiólogo que coincidió con el diagnóstico previo.
Juicio clínico, diagnóstico diferencial, concordancia con el hospital (en su caso)
El diagnóstico diferencial incluía además de la fístula arteriovenosa, el pseudoaneurisma y la trombosis.
Decisiones adoptadas: tratamiento, planes de actuación
Se derivó a consulta de cirugía vascular para cierre de la fístula arteriovenosa.
Evolución y seguimiento
El paciente se encuentra pendiente de reparación quirúrgica.
La ecografía nos permitió hacer un diagnóstico rápido, activando el recurso más adecuado para su tratamiento definitivo.



