5, 6 y 7 de febrero de 2026
Atención Primaria.
Ingesta de cuerpo extraño.
Enfoque individual
Hombre 63 años, no antecedentes médicos o quirúrgicos de interés. Acude por ingesta de prótesis dental hace 48 horas. Acudió al servicio de urgencias tras la ingesta siendo valorado con radiografías abdominales objetivando cuerpo extraño en hipocondrio izquierdo. Se realizó gastroscopia con sedación sin llegar a objetivar cuerpo extraño en estómago ni en porción proximal del duodeno, por lo que se realizó nueva radiografía abdominal de control al día siguiente objetivando cuerpo extraño en marco cólico derecho. Por lo que fue dado de alta con vigilancia de deposiciones. Refiere ausencia de visualización de la prótesis dental en las últimas deposiciones en el domicilio. Niega dolor abdominal, náuseas o vómito, no fiebre.
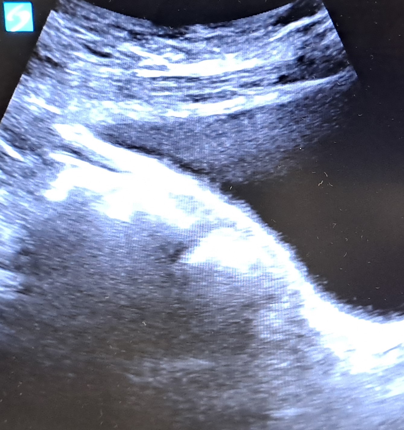
Hallazgos ecográficos
Realizamos ecografía clínica objetivando vejiga replecionada objetivando material isoecogénico en región posterior de la vejiga con 3 líneas hiperecogénicas con sombra acústica posterior.
Pruebas complementarias
Repetimos radiografía sin objetivar cuerpo extraño, aunque no se visualiza ampolla rectal en la radiografía solicitada.
Juicio clínico, diagnóstico diferencial, concordancia con el hospital (en su caso)
Ingesta de cuerpo extraño.
Tratamiento, planes de actuación
Dada la objetivación de cuerpo extraño en ampolla rectal se decidió vigilar deposiciones.
Evolución
En la siguiente deposición realizada aproximadamente a las 24 horas el paciente objetivo el cuerpo extraño en las deposiciones.
En este caso la ecografía clínica ha sido útil para valorar la presencia de un cuerpo extraño en el tubo digestivo, dado que en la radiografía realizada en Atención Primaria no se objetivaba el cuerpo extraño al no visualizarse la ampolla rectal. Así fue posible gracias a la ecografía clínica objetivar el cuerpo extraño y no repetir la radiografía ahorrando radiación y desplazamientos del paciente.



