5, 6 y 7 de febrero de 2026
Enfoque individual
A la palpación presenta edema y tumefacción a nivel de región lateral derecha del cuello hasta zona inferior al lóbulo del oído derecho. Doloroso a la palpación, no eritematoso ni caliente, de consistencia blanda y márgenes bien definidos.
Exploración de orofaringe que descarta obstrucción del conducto de stenon.
Se pautan antinflamatorios no esteroideos y se cita para control en 72 horas para valorar evolución y valorar realizar ecografía clínica.
En la revaloración a las 72 horas presenta disminución de la tumefacción y se palpa claramente una lesión nodular de márgenes mal definidos en el ángulo submandibular, levemente doloroso a la palpación y sin signos flogóticos.
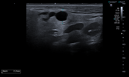
Hallazgos ecográficos
Se realiza ecografía clínica que muestra una imagen redondeada de márgenes regulares hipoecoica de 7,7 mm, sin tabicación y con refuerzo acústico posterior, que parece localizada en la glándula parótida derecha.
Señal doppler dudosa. Junto a esta lesión se visualiza otra de similares características, pero de menor tamaño.
Pruebas complementarias
Juicio clínico, diagnóstico diferencial, concordancia con el hospital (en su caso)
Tratamiento, planes de actuación
Por recomendación de radiología se solicita RMN de cuello y punción.
Ante los hallazgos ecográficos no se cursa la muestra de saliva para descartar parotiditis vírica.
Evolución
Pendiente de completar el estudio.


