X Jornadas de Actualización en Medicina de Urgencias y VI Jornadas de Ecografía de la semFYC
6-7-8 de febrero de 2025
Antecedentes personales relevantes, anamnesis, exploración física y lugar que ocupa en ella la ecografía
Mujer de 72 años, sin hábitos tóxicos. Hipertensión arterial, dislipemia, obesidad. Hernia de Hiato. Poliglobulia. Tromboembolismo pulmonar bilateral anticoagulada hasta 2021. Adenocarcinoma de endometrio con anexo-histerectomía + vaciamiento ganglionar pélvico, realizada radio-braquiterapia. Libre de recidiva 2022. Sin tratamiento farmacologico habitual.
Consulta por bulto parariumbilical derecho de 45 días de evolución, indoloro, variable de tamaño, sin relacion con valsalva ni ingesta. Astenia, anorexia y dolor abdominal intermitente de 6 meses, sin pérdida de peso.
A la exploración abdomen globuloso, dolor en fosa ilíaca y flanco izquierdo y tumoración paraumbilical de 2 cm aproximadamente sin modifición con valsalva.
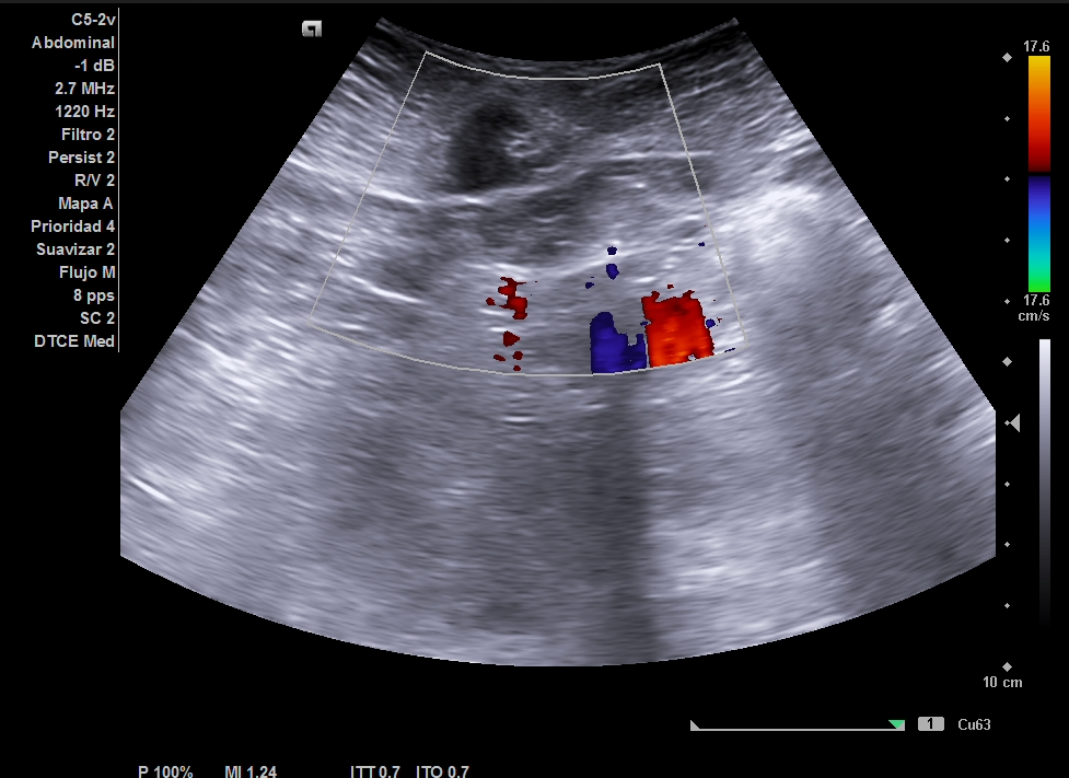
Realizamos ecografia clinica partes blandas para despistaje diagnóstico de bulto subcutáneo.
Descripción de los hallazgos ecográficos y las imágenes más relevantes para la resolución del caso
Ecografía clínica partes blandas y abdominal en Centro de Salud: dos nódulos subcutáneos hipoecogénicos, heterogéneos, lobulados y de bordes irregulares (16 x 18 mm), no vascularizados. Abdomen: sin signos patológicos relevantes ni Ascitis ni líquido en Douglas no adenopatías retroperitoneales. Completamos estudio de nódulos sospechosos de malignidad con tomografía abdominal y ecografía de partes blandas reglada.
Otras pruebas complementarias realizadas (si existen)
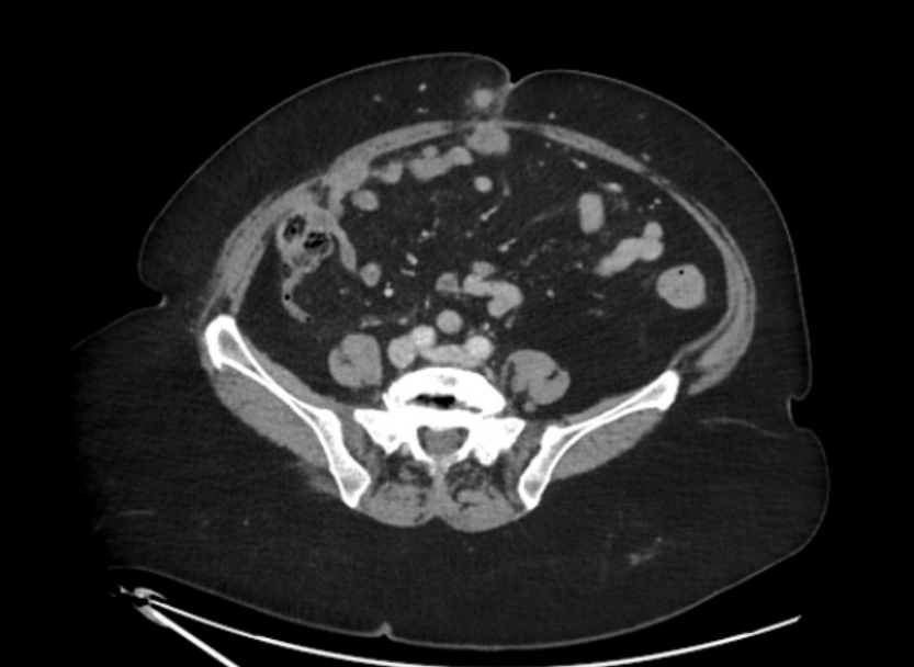
Ecografía reglada de partes blandas: Nódulos subcutáneos e intrabdominales sospechosos de malignidad. La tomografía abdominal describe múltiples implantes sólidos peritoneales y en pared abdominal, compatibles con metástasis.
Juicio clínico, diagnóstico diferencial, concordancia con el hospital (en su caso)
Nódulo de Hermana María José, correspondiente a metástasis umbilicales de carcinoma de endometrio, con carcinomatosis peritoneal. Diagnóstico diferencial con lipoma, quiste sebáceo, fibroma.
Decisiones adoptadas: tratamiento, planes de actuación
El Comité multidisciplinar de tumores decide Biopsia guiada por ecografía + PET/TC que confirma múltiples implantes hipermetabólicos. Biopsia: Carcinoma de endometrio con pérdida de expresión de PMS2 y MLH1, confirmando la naturaleza metastásica del nódulo umbilical. Tratamiento con citoreducción e Inmunoterapia.
Evolución y seguimiento
Actualmente en seguimiento por oncología con buena respuesta al tratamiento.
El nódulo de Hermana María José es un signo clínico importante que sugiere metástasis umbilicales en pacientes con cáncer de origen digestivo o ginecológico. En el 40% de los casos es la única expresión de recidiva de neoplasias ya conocidas La presencia de un nódulo umbilical en un paciente oncológico debe alertar sobre la posibilidad de metástasis. La ecografía clínica es una herramienta útil para el diagnóstico precoz, inicial y diferencial de las lesiones de partes blandas. En nuestro caso dadas las características sospechosas de malignidad y su localización ayudo a llegar al diagnóstico más rápido y preciso.



