X Jornadas de Actualización en Medicina de Urgencias y VI Jornadas de Ecografía de la semFYC
6-7-8 de febrero de 2025
Atención Primaria.
Molestia en mama derecha de un mes de evolución.
Antecedentes personales relevantes, anamnesis, exploración física y lugar que ocupa en ella la ecografía
Como antecedentes personales:
La paciente acude a consulta comentando mastalgia derecha de un mes de evolución como único síntoma. No comenta telorrea acompañante ni otra sintomatología, aunque rehistoriando si que cuenta algún cambio en la mama pero que en primera instancia relacionó con pérdida de peso en relación a una cirugía bariátrica.
A la exploración, notamos una masa de consistencia pétrea, adherida a planos profundos, a nivel de cuadrantes internos de la mama, por lo que decidimos realizar ecografía para caracterizar mejor la lesión.
Descripción de los hallazgos ecográficos y las imágenes más relevantes para la resolución del caso
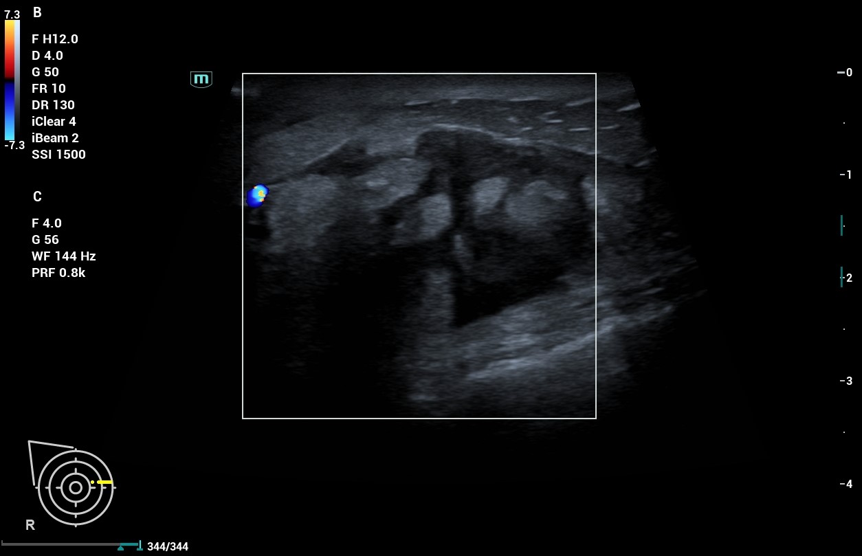
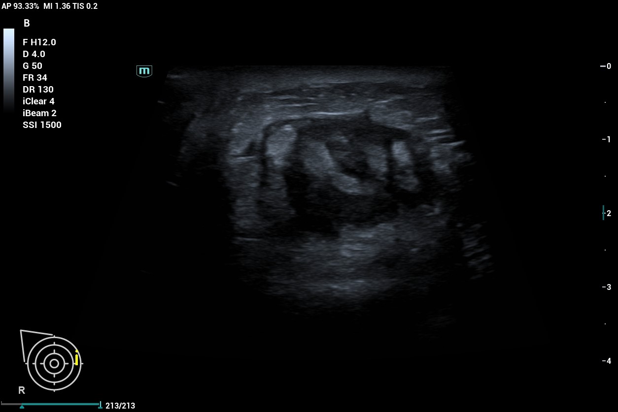
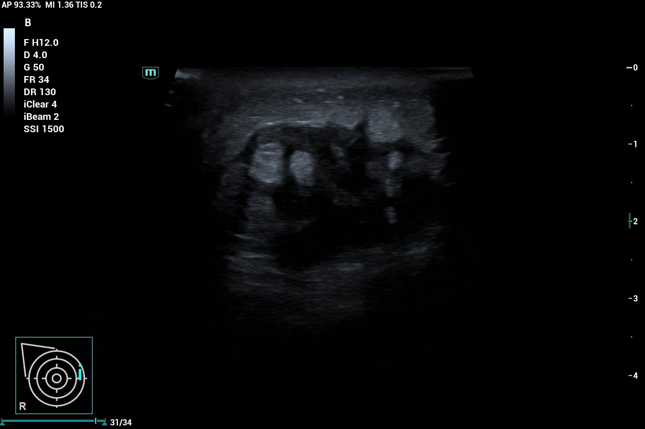
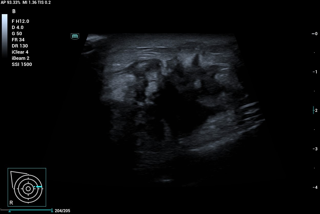
Al realizar ecografía observamos una imagen de 30 mm en cuadrantes internos de mama derecha que presenta bordes espiculados y contenido heteroecoico en su interior con áreas hipoecoicas.
Otras pruebas complementarias realizadas (si existen)
Ya en el hospital: Mamografía en hospital BIRADS 5.
Juicio clínico, diagnóstico diferencial, concordancia con el hospital (en su caso)
Al tratarse de una lesión que presenta características de probable malignidad no solo en la exploración y anamnesis de la paciente sino a la confirmación con la ecografía, decidimos derivar a la paciente a Ginecología mediante circuito rápido, donde se confirma el diagnóstico de carcinoma ductal infiltrante de mama derecha G2, luminal B cT4bN3bM0.
Decisiones adoptadas: tratamiento, planes de actuación
Se debate en comité de Ginecología Oncológica y tras caracterización de lesión y estudio de extensión, se decide mastectomía + linfadenectomía axilar derecha.
Evolución y seguimiento
En el momento actual, la paciente se encuentra bien tras la operación y está pendiente de nueva cita de seguimiento con Ginecología Oncológica.
Este caso nos hace ver la importancia del buen manejo de la ecografía ginecológica en la consulta, dado que el uso de misma, nunca dejando de lado la exploración física, ayuda al abordaje y derivación precoz de una patología común, pudiendo en muchos casos acortar el período diagnóstico y determinando la evolución de la enfermedad.



