X Jornadas de Actualización en Medicina de Urgencias y VI Jornadas de Ecografía de la semFYC
6-7-8 de febrero de 2025
Consulta de Atención Primaria.
Mujer de 55 años que consulta por dolor en fosa renal izquierda de 2 meses de evolución.
Antecedentes personales relevantes, anamnesis, exploración física y lugar que ocupa en ella la ecografía
Antecedentes personales: Fumadora de Vaper. No hay otros antecedentes de interés.
Mujer de 55 años que acude a consulta por continuar con dolor en fosa renal izquierda tras diagnóstico de cólico nefrítico hace dos meses. La paciente comenta dolor punzante de forma intermitente que alivia con toma de ibuprofeno. No disuria, no hematuria, no fiebre, no otra sintomatología.
Exploración física: Abdomen blando depresible, no doloroso a la palpación no se palpan masas ni megalias. Puño percusión renal bilateral negativa.
Dado tiempo de evolución y al continuar con dolor con uso reiterado de ibuprofeno se decide solicitar analítica con urianálisis y ecografía renal por la sospecha de litiasis renal complicada.
Descripción de los hallazgos ecográficos y las imágenes más relevantes para la resolución del caso
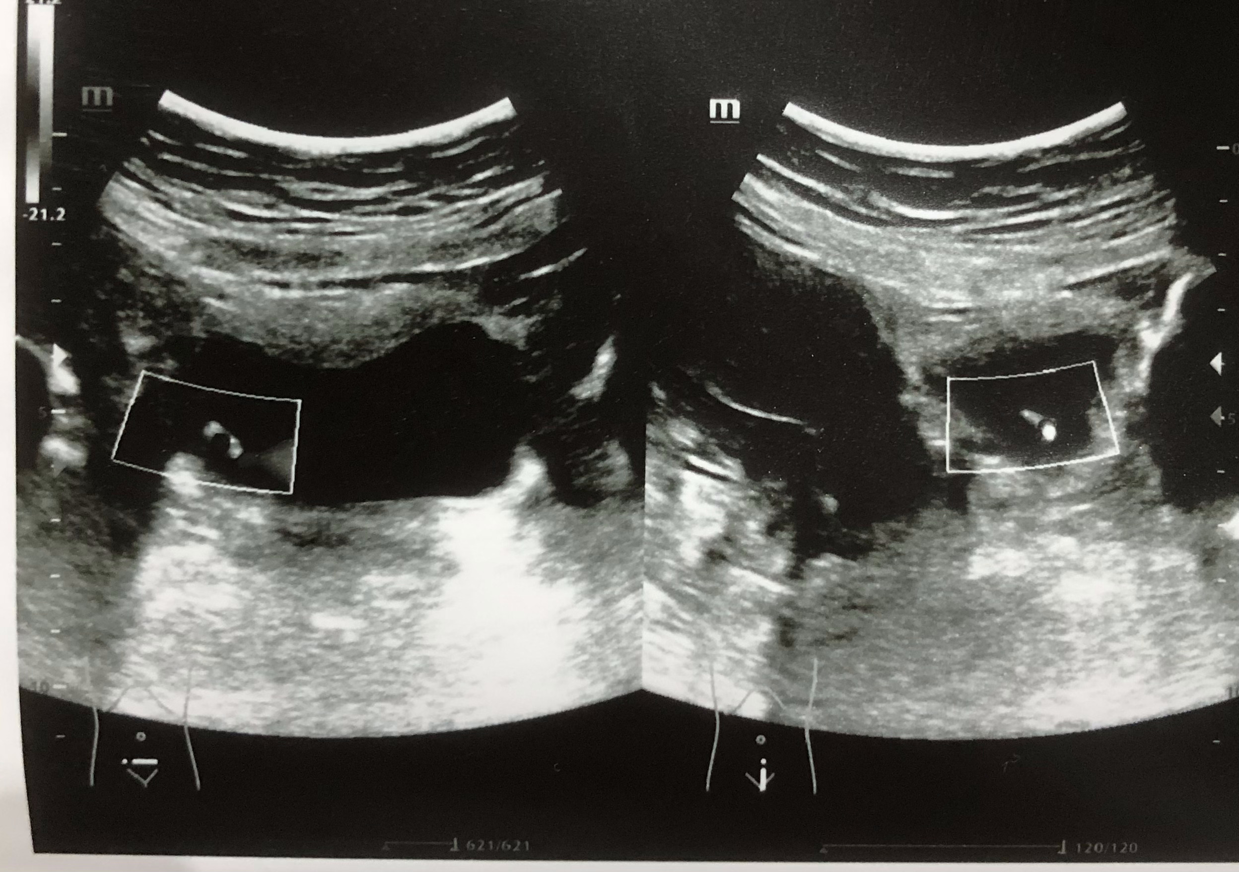
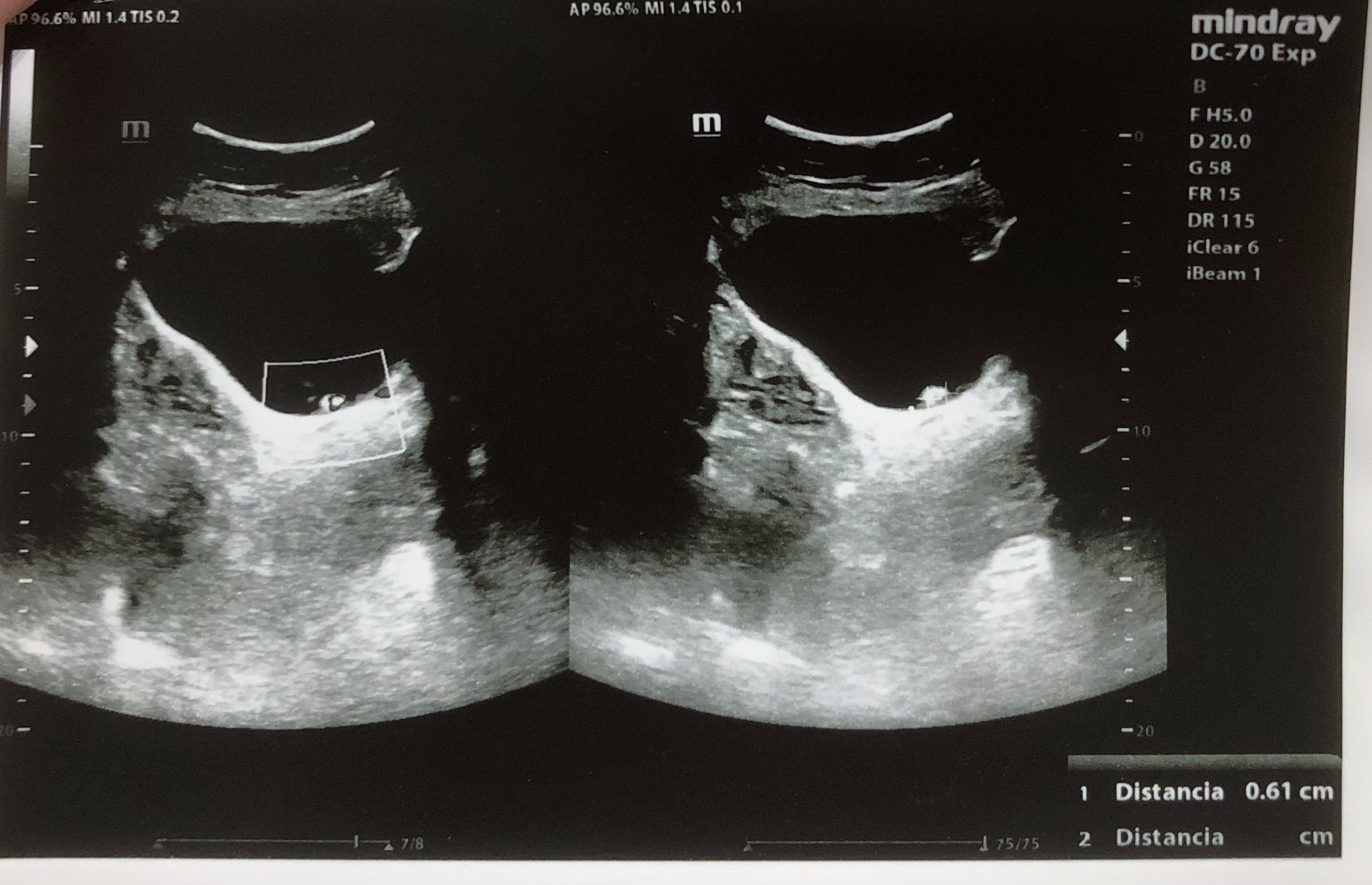
Se realiza ecografía renal donde se aprecia lesión hiperecogénica redondeada en pared inferior derecha de vejiga sin sombra posterior de 0,7 x 0,61 cm, que no se moviliza con cambios posturales de la paciente. Centelleo dudoso.
Otras pruebas complementarias realizadas (si existen)
En urianálisis se aprecian hematíes 25/uL con proteínas negativas. Resto de analítica sin alteraciones.
Juicio clínico, diagnóstico diferencial, concordancia con el hospital (en su caso)
Litiasis vs lesión de características malignas.
Decisiones adoptadas: tratamiento, planes de actuación
Se deriva a Urología para cistoscopia.
Evolución y seguimiento
Se realiza citoscopia y deciden resección transureteral con resultado de anatomía patológica de carcinoma urotelial de vejiga.
En la actualidad la paciente se encuentra a la espera de tratamiento por parte de Urología.
Como vemos la ecografía ayuda a una orientación diagnóstica ante signos de alarma y debemos utilizarla como una herramienta más en consulta. En este caso una paciente con dolor que no cede tras meses de evolución y abuso de antiinflamatorios, si bien realizamos la ecografía para descartar hidronefrosis u otra posible complicación de nefrolitiasis en ocasiones podemos encontrar lesiones potencialmente malignas.



