X Jornadas de Actualización en Medicina de Urgencias y VI Jornadas de Ecografía de la semFYC
6-7-8 de febrero de 2025
Servicios de Urgencias de Atención Primaria.
Fiebre y catarro.
Enfoque individual: antecedentes personales, anamnesis, exploración, pruebas complementarias, etc.
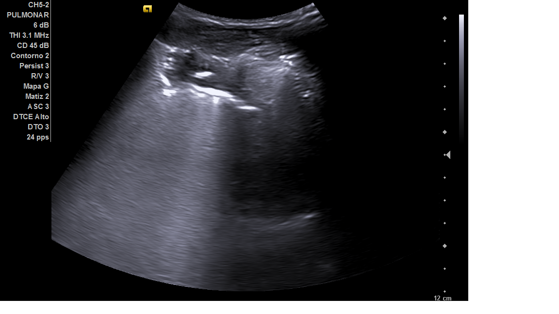
Escolar hombre de 5 años con vacunación reglada sin antecedentes médicos. Consulta por fiebre de tres días de evolución, de hasta 39.5º, que cede con antitérmicos. Asocia tos productiva y ligero decaimiento. En la exploración física, presenta triángulo de evaluación pediátrica estable, auscultación pulmonar con hipoventilación y crepitantes en la base pulmonar derecha, sin distrés respiratorio ni taquipnea ni desaturación. El resto de la exploración física por aparatos fue anodina. Se realiza ecografía pulmonar con sonda convex y lineal, donde se observa hepatización de la base pulmonar derecha, compatible con consolidación de 3 x 2,5 cm y líneas B en la zona circundante, sin derrame pleural.
Enfoque familiar y comunitario: estudio de la familia y la comunidad (si fuese necesario)
Traído por su madre, se encuentra preocupada por el decaimiento de su hijo. Es atendido en un Centro de Salud Rural situado a 45 minutos del hospital pediátrico más cercano.
Juicio clínico, diagnóstico diferencial, identificación de problemas
Neumonía en lóbulo pulmonar inferior derecho adquirida en la comunidad.
Tratamiento y planes de actuación.
Tratamiento ambulatorio con amoxicilina a dosis de 100 mg/kg/día durante 7 días, antitérmicos si precisa, indicaciones para padres sobre neumonía de la Sociedad Española de Urgencias Pediátricas y revisión en dos días para ver evolución.
Evolución
Se realiza seguimiento en el propio Centro de Salud dos días después de iniciar tratamiento antibiótico, con mejoría clínica y auscultatoria del paciente. Ecográficamente, se aprecia lengüeta de líquido en seno costofrénico derecho de menos de 1 cm. En seguimiento tras una semana de antibiótico, resolución completa del cuadro clínico sin complicaciones, con auscultación normal.
La ecografía pulmonar es de especial interés en pediatría para el diagnóstico de neumonía por ser una prueba complementaria muy sensible y exenta de radiación. La puede realizar cualquier facultativo con la debida formación previa, siendo una técnica sencilla de aprender y aplicar. En este paciente no estaba indicada la radiografía de tórax por la ausencia de datos de alarma clínicos y ecográficos, como son la taquipnea, desaturación, distrés respiratorio o derrame pleural en la ecografía. Aunque ya había sido diagnosticado con la anamnesis y la exploración física, la ecografía fue un apoyo al diagnóstico y al pronóstico, reduciendo la incertidumbre sobre las posibles complicaciones asociadas a la neumonía, no precisando derivación a centro de tercer nivel y permitiendo el manejo en su Centro de Salud Rural.
