X Jornadas de Actualización en Medicina de Urgencias y VI Jornadas de Ecografía de la semFYC
6-7-8 de febrero de 2025
Fomentar el uso de la ecografía clínica en la consulta del médico de familia para intentar personalizar y optimizar la prevención y tratamiento de los factores de riesgo cardiovascular (FRCV) de nuestros pacientes.
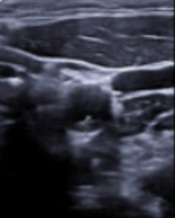
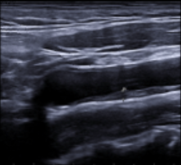
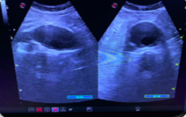
Los estudios de morbimortalidad reflejan que la enfermedad cardiovascular ocurre en más del 50% en varones y un 80% en mujeres catalogados de RCV bajo o moderado. En estudios sobre IAM el 50% de ellos presentaban uno o ningún FRCV. Así, podemos decir que existe un debate abierto sobre si las guías actuales infraestiman la arterioesclerosis ya existente, por lo que nos planteamos esta experiencia con la exploración ecográfica. Para ello realizamos una rotación en una unidad de RCV hospitalaria, con un protocolo específico para luego aplicarlo en el Centro de Salud. La valoración es similar a la utilizada en el Estudio PESA, donde se evalúa la existencia de placas de ateroma a nivel femoral, carotídeo, además de despistaje de aneurisma de aorta abdominal.
La ecografía es útil para valorar la arterioesclerosis mediante la detección de placa de ateroma en arterias carótidas y/o arterias femorales, indicando lesión de órgano diana (LOD) y llevándonos a facilitar la decisión de intensificar el tratamiento y así poder modificar la progresión de la enfermedad.
Implementar la ecografía clínica en la consulta del médico de familia para conseguir una valoración más precisa del RCV, mediante la detección de placa de ateroma y aneurisma de aorta abdominal, mejorando la atención y la valoración del RCV de nuestros pacientes ofertando la ecografía de forma protocolizada. Además de concienciar a la población sobre su patología, la necesidad de una prevención precoz y así poder frenar su progresión.



