X Jornadas de Actualización en Medicina de Urgencias y VI Jornadas de Ecografía de la semFYC
6-7-8 de febrero de 2025
Explicar que el uso de la ecografía portátil mejora el diagnóstico y seguimiento de los pacientes ingresados en hospitalización a domicilio (HAD) y disminuye los traslados al hospital.
Durante el último año he tenido la suerte de formar parte del HAD de mi zona y con ello he podido valorar el uso y la importancia de la ecografía portátil (sonda ligera inalámbrica) en los domicilios de los pacientes.
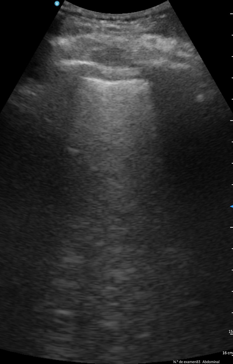
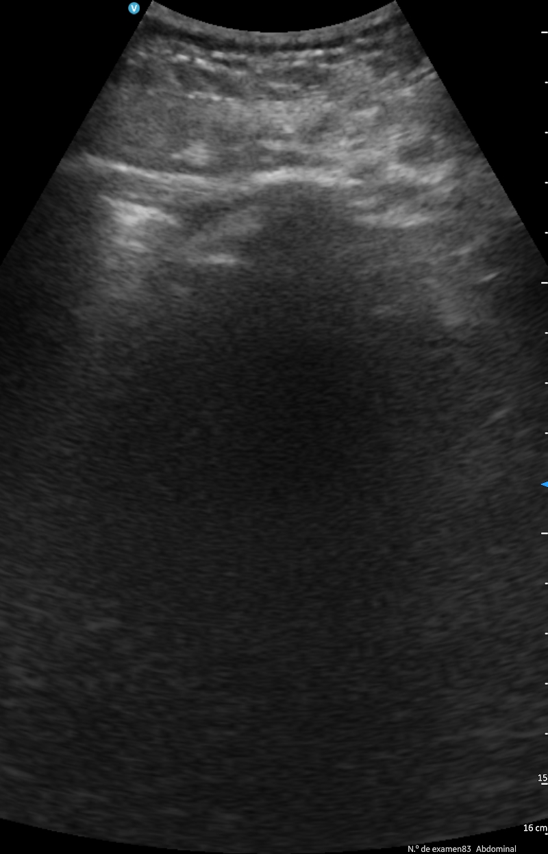
El principal uso ha sido para controlar la evolución de las insuficiencias cardíacas, controlando las líneas B, los derrames pleurales, colapso de la vena cava inferior, etc., en menores casos se ha hecho una ecocardioscopia para estimar la FEVI.
También ha sido útil en las insuficiencias respiratorias por COVID-19 o por neumonías para controlar las consolidaciones y los derrames pleurales.
Otros usos, aunque en menor medida, han sido control de ascitis, valorar retención de orina, valorar hidronefrosis, descartar trombosis venosas profundas y en pocas ocasiones control de abscesos o infecciones de partes blandas.
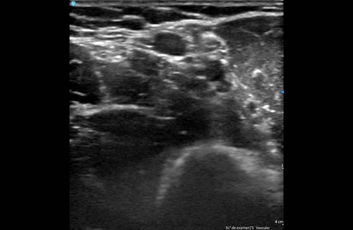
A nivel de Enfermería se ha hecho uso principalmente para la inserción de catéteres venosos en el domicilio, sobre todo para el uso de antibióticos de larga duración y descartar trombosis venosas secundarias al catéter.
La disponibilidad y uso de la ecografía portátil en el servicio de HAD ha conseguido disminuir considerablemente los traslados al hospital para realizar pruebas complementarias como: ecografías de tórax, ecografías regladas en radiología,etc. y inserción de catéteres venosos. Mejora el seguimiento de los pacientes y con ello se ajusta mejor el tratamiento y disminuyen los días de ingreso.
La ecografía sobre todo en su versión portátil/ultraligera es una herramienta muy útil para el HAD ya se trata de una sonda cómoda de llevar, de tamaño reducido, que con ella puedes ayudar en el diagnóstico, mejorar el seguimiento y ajustar el tratamiento con más precisión evitando traslados innecesarios de los pacientes y todo lo anterior disminuye el gasto sanitario.



