5, 6 y 7 de febrero de 2026
Servicio de Urgencias Hospitalarias.
Hombre de 33 años que acude por dificultades para orinar de aproximadamente un mes de evolución.
Enfoque individual
El paciente refiere cuadro progresivo de dificultad para el inicio de la micción, acompañado de sensación de picor y escozor al orinar, de varias semanas de evolución. Niega fiebre, hábito intestinal estreñido de larga data y niega prácticas sexuales de riesgo. Como antecedentes personales destaca consumo activo de ketamina de forma recreativa y otras sustancias no especificadas. No presenta alergias medicamentosas conocidas ni otra clínica por aparatos. En la exploración física se encuentra consciente, colaborador y orientado, con buen estado general, buena hidratación y perfusión distal. Normocoloreado y eupneico en reposo. El abdomen no está distendido, es blando a la palpación sin defensa asociada, no doloroso a la palpación por cuadrantes. Presenta ruidos hidroaéreos. No hay signos de peritonismo, siendo los signos de Blumberg y Rovsing negativos, así como el signo de Murphy negativo. A la puñopercusión renal izquierda se obtiene resultado positivo.
Juicio clínico, diagnóstico diferencial, identificación de problemas
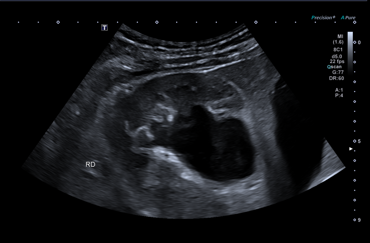
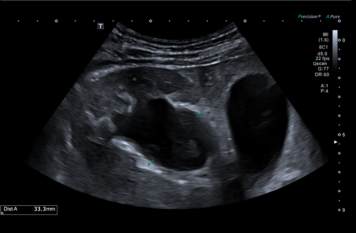
Se establece como hipótesis diagnóstica hidronefrosis. Se plantea como diagnóstico diferencial posible cistitis ulcerativa, así como uropatía obstructiva secundaria a consumo de ketamina. La ecografía clínica resulta determinante para la confirmación diagnóstica, evidenciando datos compatibles con obstrucción de la vía urinaria.
Tratamiento y planes de actuación
Se solicitan pruebas complementarias urgentes que incluyen analítica sanguínea completa, sistemático de orina y ecografía clínica. El análisis de orina muestra leucocituria intensa con proteínas, glucosa y hematíes, siendo negativo para nitritos y bacterias. Los parámetros bioquímicos y hematológicos se encuentran dentro de rangos normales, destacando creatinina de 1,42 mg/dL y proteína C reactiva de 4,46 mg/dL.
Evolución
En vista del deterioro de la función renal del paciente, se decide ingreso hospitalario en medicina interna. Se realiza ecografía renal reglada por radiología la mañana siguiente, encontrando hidronefrosis grado III-IV bilateral.
Este caso ilustra la importancia de la ecografía clínica en Urgencias para el diagnóstico inmediato de patología obstructiva del tracto urinario, especialmente en pacientes con consumo de sustancias nefrotóxicas como la ketamina, permitiendo una orientación diagnóstica y terapéutica precoz que puede prevenir complicaciones graves como el daño renal irreversible.



