V Jornadas de Ecografía de la semFYC

9 y 10 de febrero de 2024

Comunicaciones: Casos clínicos

Una vejiga que lucha (póster)

Ámbito del caso

Atención Primaria.

Motivos de consulta

Síntomas de Tracto Urinario Inferior (STUI).

Historia clínica

Enfoque individual

Varón, 71 años. Diabetes tipo II, HTA, dislipemia, Insuficiencia mitral moderada, Fibrilación auricular, Poliartrosis. A tratamiento con Metformina/Sitagliptina, Edoxaban, Enalapril/HCTZ, Paracetamol. 
Anamnesis: Refiere sintomatología tracto urinario inferior (STUI) de años de evolución, principalmente obstructivos, con disminución de chorro, dificultad para iniciar la micción, micción entrecortada. Nicturia 2-3. Puntuación internacional de los síntomas prostáticos (IPSS): 20. 
Exploración Física: Tacto rectal: próstata aumentada de tamaño. No dolor a la palpación. Consistencia gomosa.
Aplicabilidad: La ecografía clínica en Atención Primaria permitió el diagnóstico de complicaciones obstructivas relacionadas con el STUI.

Hallazgos ecográficos

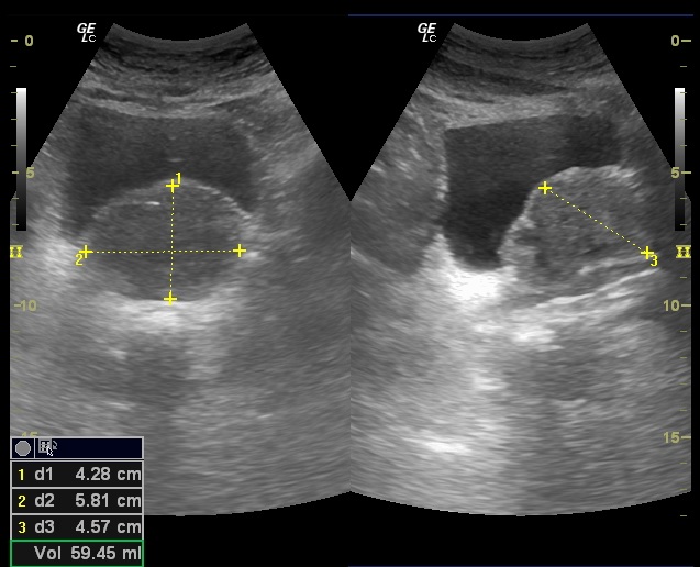
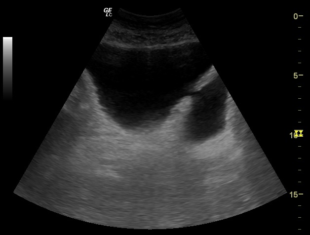
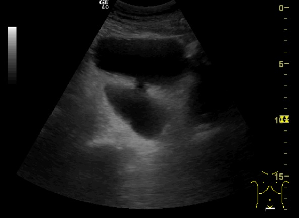
Glándula prostática de 4,28 x 5,81 x 4,57 cm (Figura 1). Volumen prostático: 59,45 ml. Pared de vejiga no engrosada. Se objetiva divertículo vesical (Figura 2) único localizado en pared postero lateral. No se observan lesiones intravesicales ni tampoco en la luz del divertículo (Figura 3). Volumen posmiccional 240 cc.

Pruebas complementarias

Antígeno Prostático Específico (PSA): 4,2 ng/ml. Índice Prostático: 24%. Sedimento urinario con microhematuria, resto sin alteraciones.

Juicio clínico, diagnóstico diferencial, identificación de problemas

Hiperplasia benigna de próstata con complicaciones obstructivas. Divertículo vesical.
Diagnóstico diferencial: Cáncer de Próstata; Cáncer vesical; Prostatitis.

Tratamiento y planes de actuación

Se deriva al Servicio de Urología para valorar cirugía. 

Evolución

Pendiente de consulta.

Conclusiones (y aplicabilidad para la Medicina de Familia)

En varones con STUI la ecografía clínica permite calcular el volumen prostático y el estudio de las posibles complicaciones relacionadas con la obstrucción. En este caso, el hallazgo de complicaciones obstructivas en la ecografía permite un manejo más adecuado del paciente con una derivación mejor orientada.
 
 
 

Comunicaciones y ponencias semFYC: 2026; Comunicaciones: Casos clínicos. ISSN: 2339-9333

Autores

González Llaneza, Aroa
CS Pola de Siero
Huerta Menéndez, Raquel
CS Pola de Siero
Rico Ferrete, Alicia
CS La Corredoria. Oviedo