V Jornadas de Ecografía de la semFYC

9 y 10 de febrero de 2024

Comunicaciones: Casos clínicos

Una urgencia poco sintomática (póster)

Ámbito del caso

Atención Primaria.

Motivos de consulta

Dolor abdominal.

Historia clínica

Enfoque individual

Atención Primaria: HTA. Dislipemia. Estreñimiento. Sobrepeso. Fumadora.

Anamnesis: Mujer de 70 años que acude a consulta por dolor abdominal de 6 dias de evolución. El cuadro se inicia con dolor epigástrico agudo, con irradiación en cinturón, autolimitado, y un vómito alimenticio. Persisten los dias posteriores astenia, anorexia y estreñimiento (última deposión previa al inicio del dolor, 7 dias antes). Niega fiebre. Molestias abdominales ocasionales tipo pinchazo mal localizado. Como antecedente, refiere diarrea con heces claras la semana anterior.

Exploración: Dolor abdominal en palpación profunda en FII, mesogastrio y HD. Murphy dudoso.

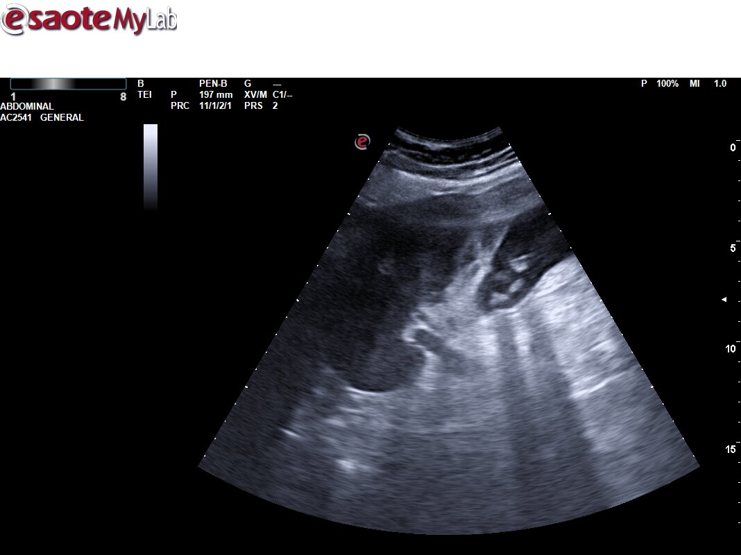
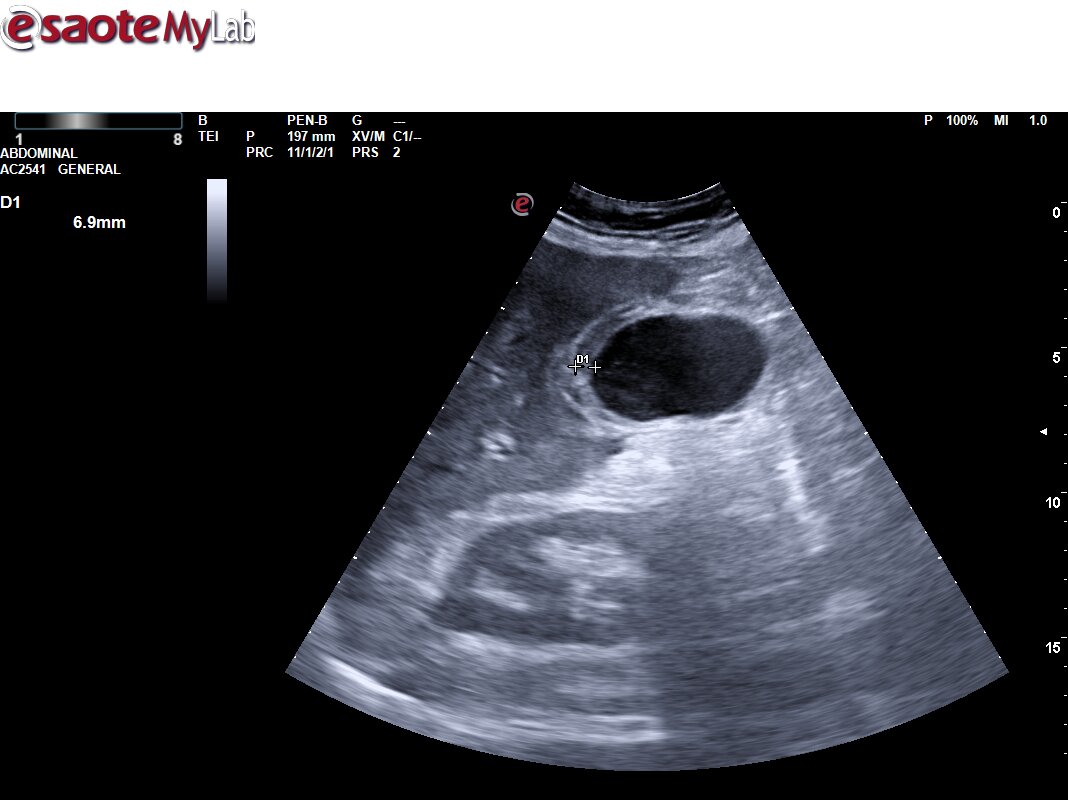
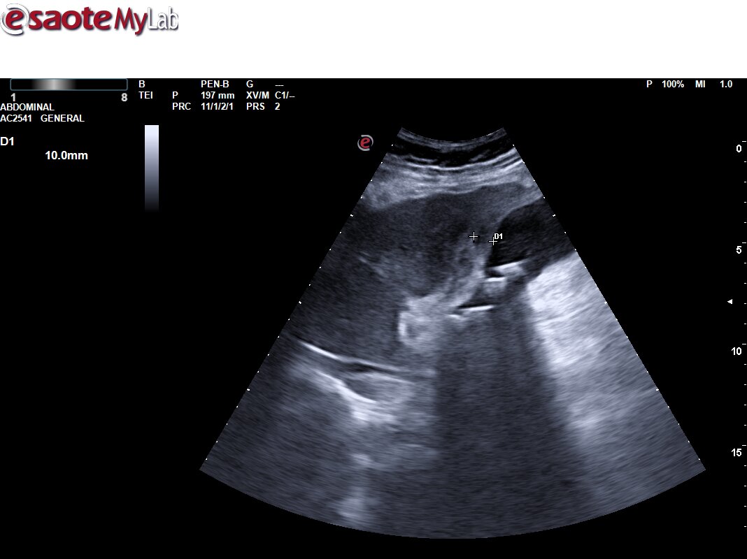
Hallazgos ecográficos

Ecografía primaria. Se aprecia vesícula con aumento de la pared de la vesícula biliar de unos 10 mm, con signos flogóticos (aumento de captación Doppler y líquido libre perivesicular), con contenido hiperecogénico en su interior con sombra posterior, y dilatación de vía intrahepática. Vía extrahepática no valorable por interposición de gases. Colecistitis. Dilatación de vía intrahepática.

Ante sospecha diagnóstica tras la ecografía de colecistitis complicada, se deriva a urgencias hospitalarias.

Pruebas complementarias

No se realizaron otras pruebas.

Juicio clínico, diagnóstico diferencial, identificación de problemas

Juicio clínico: Colelitiasis. Colecistitis aguda. Estreñimiento.

Diagnóstico diferencial: cólico biliar (ausencia de fiebre, escasa afectación), pancreatitis, estreñimiento, suboclusión intestinal.

Tratamiento y planes de actuación

Se comenta la impresión diagnóstica y se deriva a Urgencias.

Evolución      

Ecografía Urgencias: Vesícula biliar de tamaño normal, con engrosamiento de la pared con edema de la mucosa. Pequeña colección perivesicular entre la pared vesicular y el reborde hepático de unos 10 mm de grosor, pérdida de continuidad de la pared vesicular compatible con pequeña perforación. Mínima lámina de líquido libre adyacente a la misma. Asocia también abundante contenido hiperecogénico en su interior en relación con barro biliar y varias litiasis en el infundíbulo vesicular. EcoMurphy +. Hallazgos sugestivos de colecistitis aguda complicada con colección / Abceso perivesicular. No líquido libre en los espacios abdominales explorados. 

La paciente es intervenida al día siguiente del ingreso. Alta 24 horas después de colecistectomía laparoscópica.

Conclusiones (y aplicabilidad para la Medicina de Familia)

Ante un cuadro poco florido de dolor abdominal y la reticencia inicial de la paciente a acudir al hospital por la escasa sintomatología, la realización de la ecografía nos permite un diagnóstico inmediato y de certeza para poder manejar con mayor seguridad un cuadro urgente.


Comunicaciones y ponencias semFYC: 2026; Comunicaciones: Casos clínicos. ISSN: 2339-9333

Autores

Otero Merayo, Maria Del Rocio
CS Las Ciudades. Getafe
Lopez Miguel Miguel, Miguel
CS Las Ciudades. Getafe
Blanco Garcia , Maria Del Pilar
CS Las Ciudades. Getafe