Comunicaciones: Casos clínicos

Una sombra en el parénquima (póster)

Ámbito del caso

Atención Primaria.

Motivos de consulta

Paciente de 81 años.
Acude para valorar el resultado de analítica preoperatoria de una hernia inguinal.

Historia clínica

Enfoque individual

El paciente presenta como antecedentes patológicos: HTA, neoplasia próstata, gastritis erosiva, lumbalgia, estreñimento.
Consumo de alcohol moderado y crónico, no fuma.
Paciente asintomático, no presenta sd.tóxico, no ictericia.
E.F: no masas ni megalias, destaca una eventración abdominal en hipogastrio.
Debido a la alteración analítica se realiza una ecografía abdominal en la consulta.

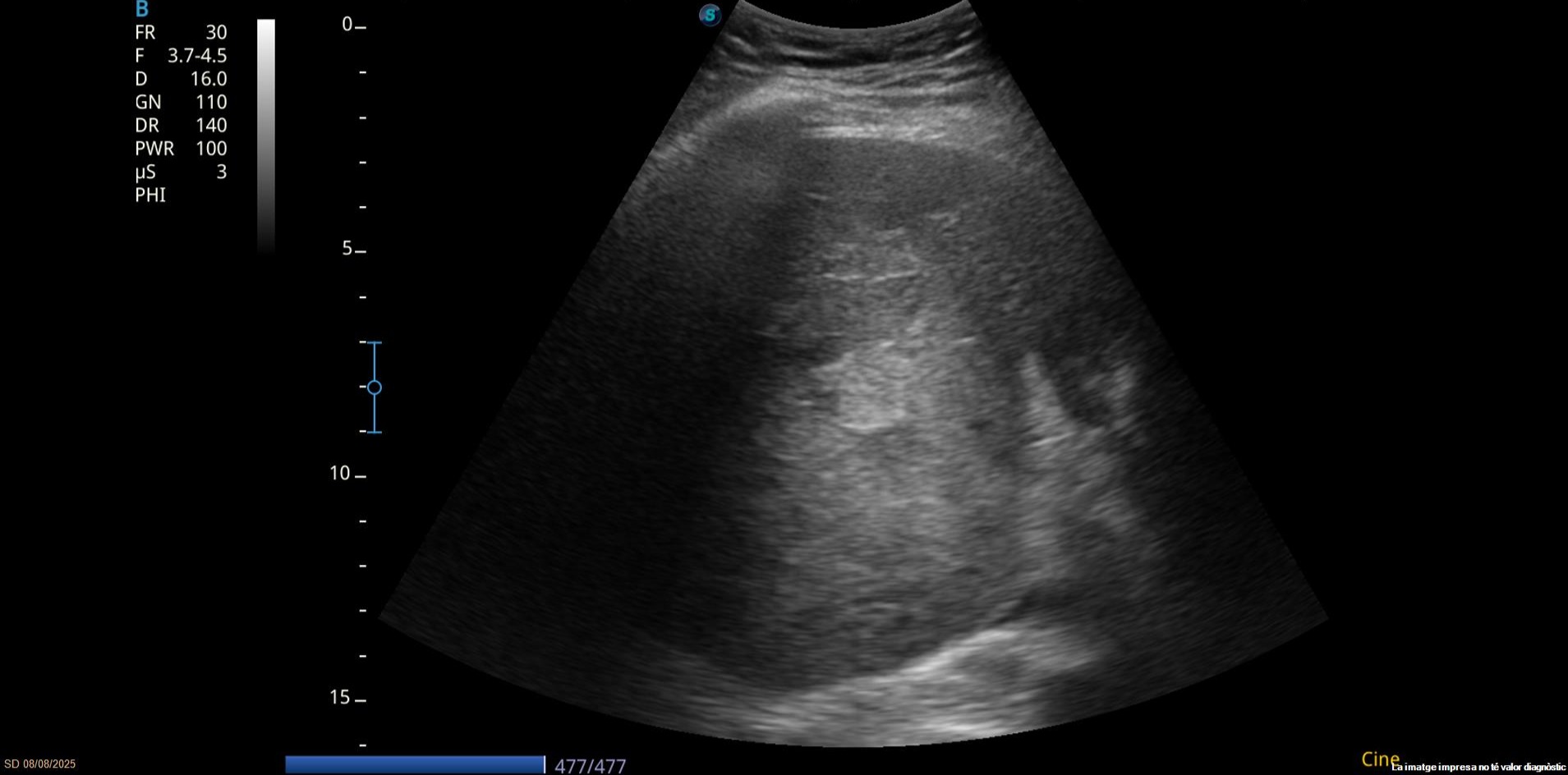
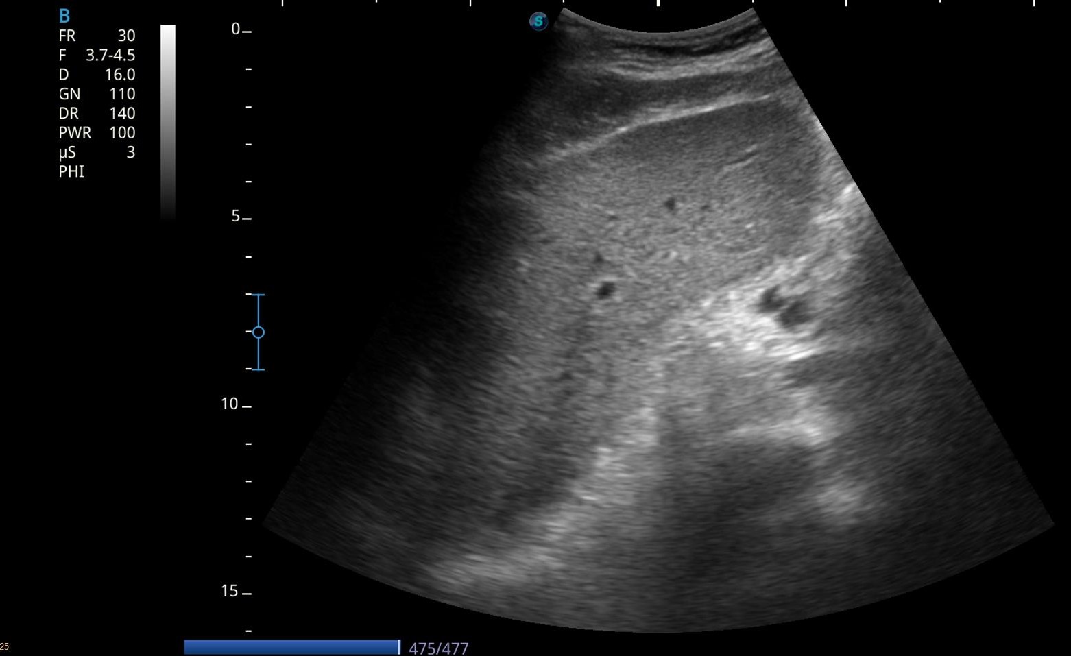
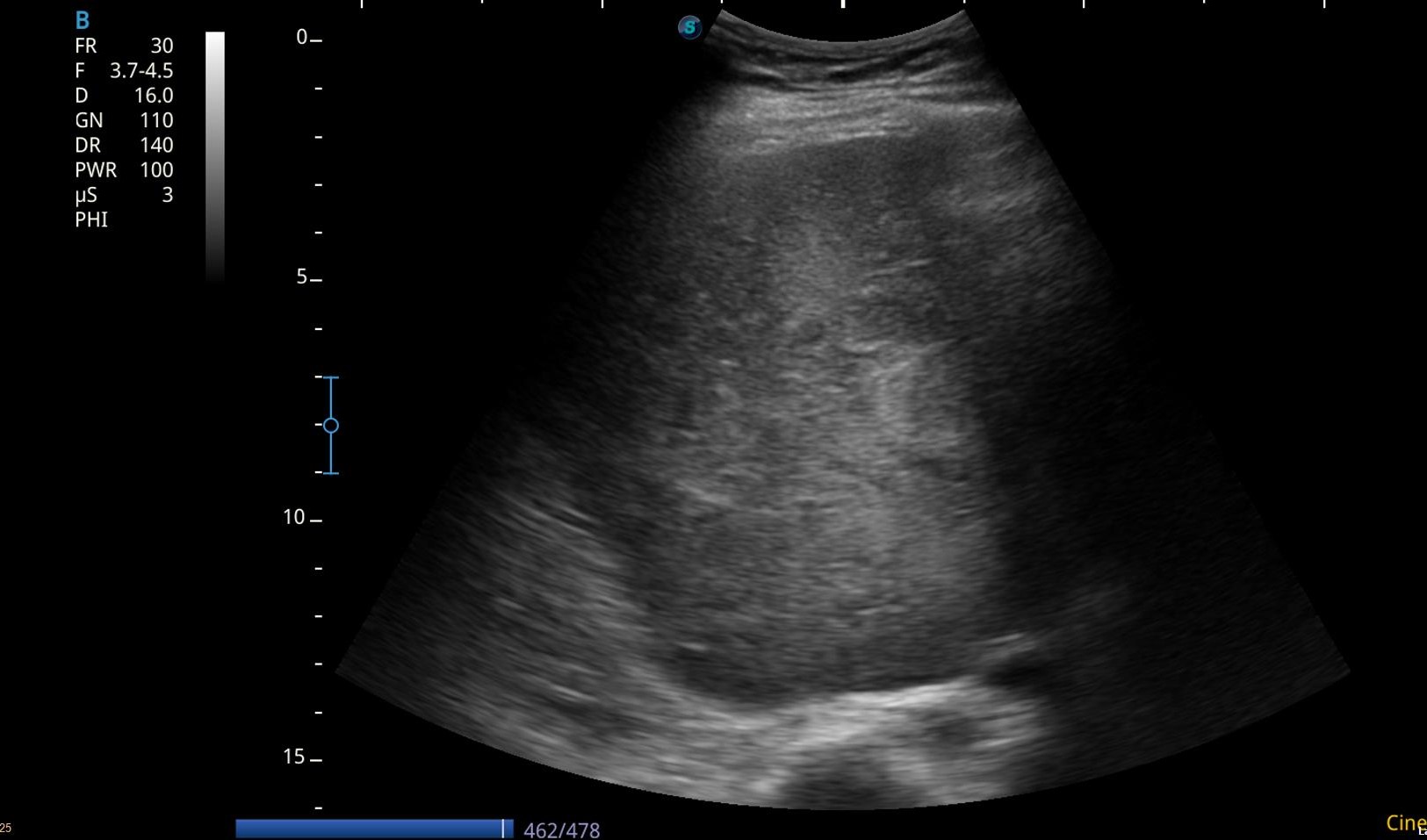
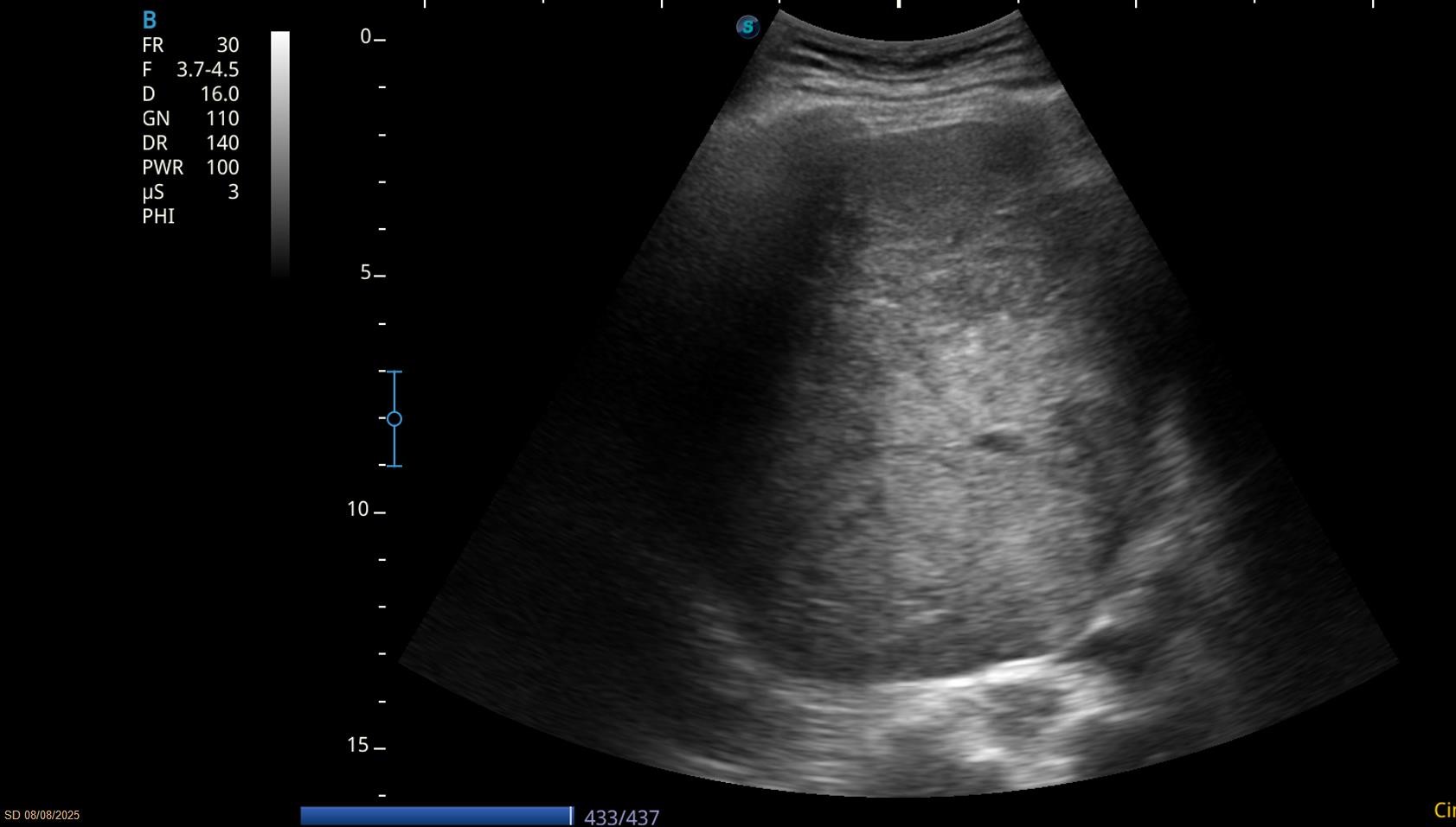
Hallazgos ecográficos

Eco abdomen: Hígado de tamaño normal, nódulo en LHI de 2 cm y una gran masa heterogénea mal definida de unos 10 cm.
Resto dentro de la normalidad.

Pruebas complementarias

TC abdomen: hígado con aumento del LHI y bordes lobulados, en relación con hepatopatía crónica.
Nódulos bilobares, el de mayor tamaño en LHD de 15 cm.
Lesión suprarrenal D de 40 mm sugestivo de metástasis.
Moderado hemoperitoneo.
Resto sin cambios significativos.
BAG confirma hepatocarcinoma bien diferenciado.

Juicio clínico, diagnóstico diferencial, concordancia con el hospital (en su caso)

Ante la poca clínica del paciente, la alteración analítica y las imágenes por ecografía se plantea el diagnóstico diferencial entre metástasis hepáticas y hepatocarcinoma.
Nuestra sospecha clínica e imágenes concuerdan con el diagnóstico de las pruebas realizadas en el hospital.

Tratamiento, planes de actuación

Paciente valorado en el comité de tumores y se decide tratamiento de soporte.

Evolución

A la semana el paciente presenta un episodio clínico compatible con edema agudo de pulmón, valorado en urgencias hospitalarias, se realiza tratamiento intensivo, dada la poca respuesta y la persistencia de síntomas de dolor y disnea, de acuerdo con el paciente se decide ingreso en la unidad de curas paliativas, siendo exitus a las 48 h.

Conclusiones y aplicabilidad para la medicina de familia

Conclusiones: debido a la realización de la ecografía abdominal en la consulta se pudo realizar una actuación rápida y dirigida del paciente, pudiendo llegar a un diagnóstico más rápido y ofreciendo una mayor calidad asistencial.
La ecografía es una herramienta muy útil para orientarnos en el diagnóstico del paciente y poder tomar decisiones adecuada y la atención de los pacientes.
Tiene un coste económico bajo y un beneficio muy alto.
 
 
 

Comunicaciones y ponencias semFYC: 2026; Comunicaciones: Casos clínicos. ISSN: 2339-9333

Autores

Mazariegos Martinez, Silvia
CAP Sant Genis. Rubi
Monjo Garriga, Marta
CAP Sant Genis. Rubi
Lopez Repiso, Esteban
CAP Sant Cugat