Comunicaciones: Experiencias

Una mirada profunda a las patologías pulmonares intersticiales (Póster)

Objetivos de la experiencia

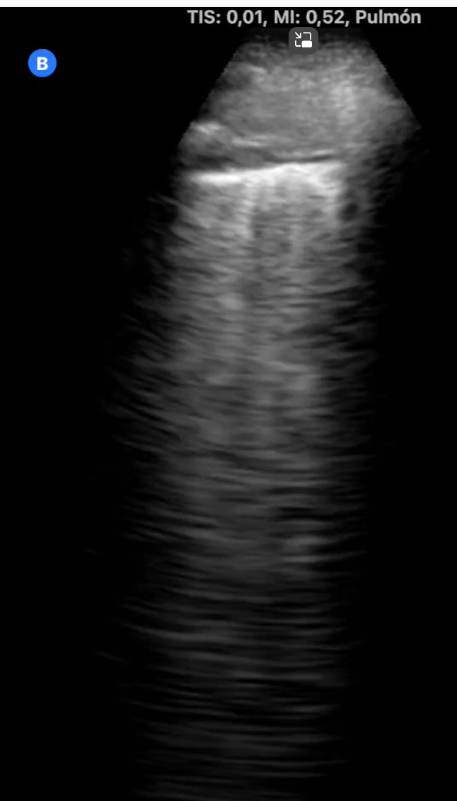
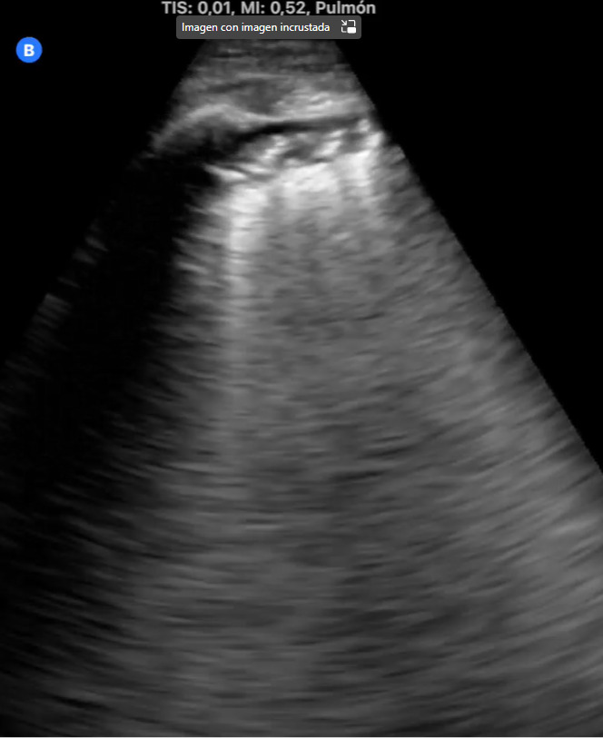
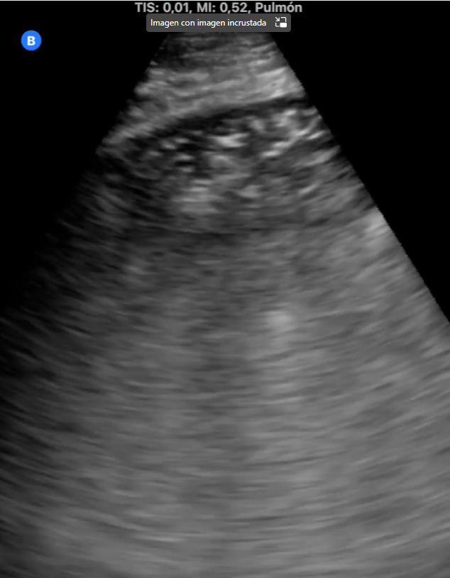
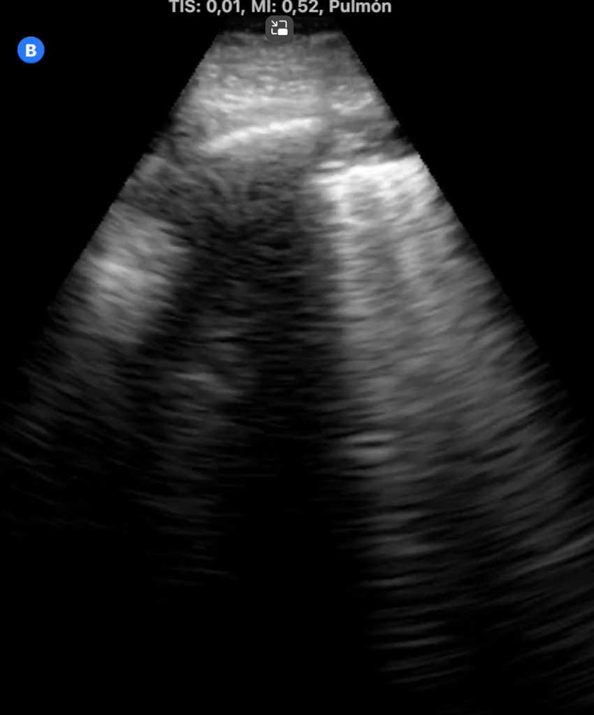
La ecografía pulmonar nos permite aumentar la capacidad diagnóstica y resolutiva, con gran rapidez y gran número de situaciones clínicas, disminuyendo el nivel de incertidumbre. Nos ayuda a tomar decisiones y ofrecer un mejor cuidado a los pacientes. Permite evaluar la extensión y gravedad de la enfermedad, así como monitorizar la progresión y evaluar las complicaciones.

Descripción de la experiencia

A través de una historia clínica exhaustiva, donde interrogamos sobre hábito tabáquico, ambiente laboral y en tiempo libre, antecedentes familiares, etc. Así como los síntomas que presenta debemos de sospechar una EPID. 

Además, ayudándonos de la ecografía pulmonar, hemos podido diagnosticar diferentes patologías pulmonares intersticiales como neumonitis intersticial por metotrexate, neumopatía intersticial tipo NINE y síndrome alveolo intersticial. 

Conclusiones

La ecografía es una herramienta valiosa en la evaluación y manejo de patologías pulmonares intersticiales, proporcionando información clave que puede influir en el tratamiento y pronóstico del paciente.

Aplicabilidad

Nos permite realizar un diagnóstico diferencial, evaluar derrames pleurales, monitorizar enfermedades, guiar procedimientos, diagnosticar neumonías o infecciones, valorar la función pulmonar proporcionando información sobre la estructura pulmonar que puede correlacionarse con la función respiratoria.
 
 
 

Comunicaciones y ponencias semFYC: 2026; Comunicaciones: Experiencias. ISSN: 2339-9333

Autores

Puente Marco, Maria
CS Las Ciudades. Getafe, Madrid
Sacristán Prieto, Elena Violeta
CS Las Ciudades. Getafe. Madrid
Palacio Manchón, María
CS Las Ciudades. Getafe, Madrid
Rodríguez Pascual, Nieves
CS Las Ciudades. Getafe, Madrid