5, 6 y 7 de febrero de 2026
Enfoque individual
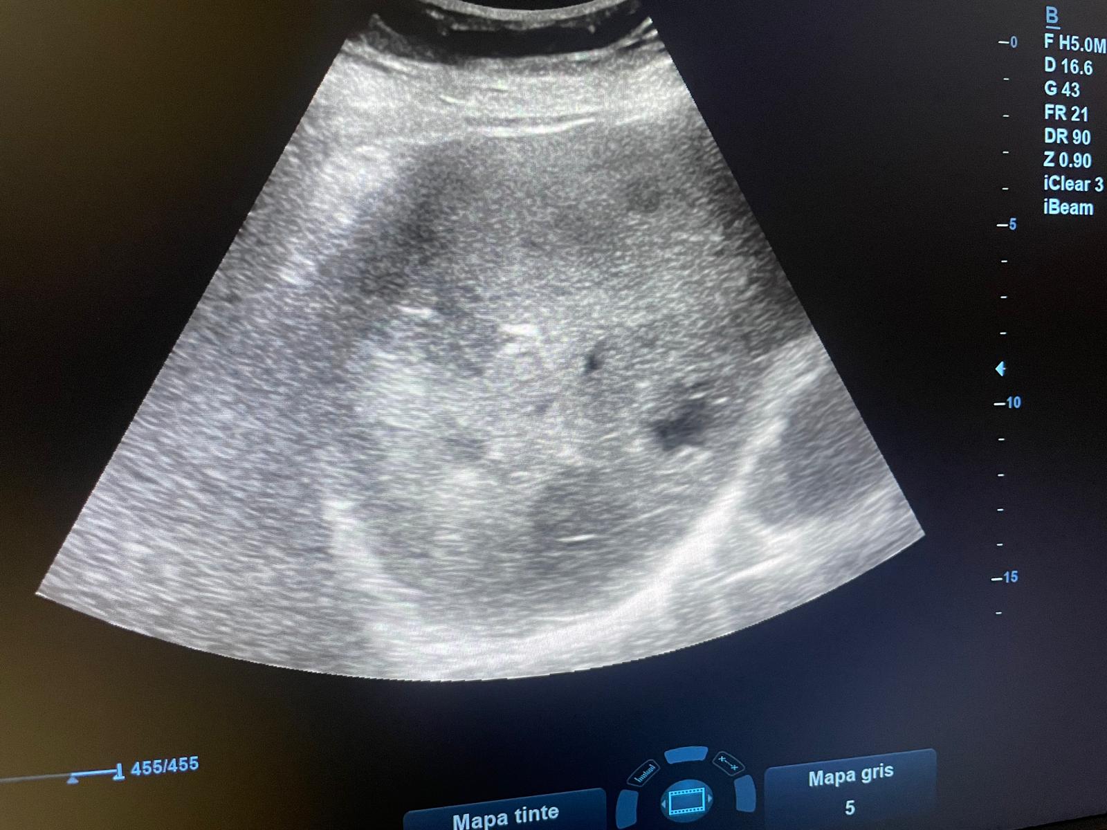
Paciente mujer de 96 años con antecedentes de HTA, DLP, DM tipo 2, cardiopatía isquémica que acude a consulta por cuadro de distensión abdominal, astenia, anorexia y hábito estreñido de dos semanas de evolución.Hallazgos ecográficos
Se realiza ecografía abdominal en la que se objetivan numerosas loes hepáticas heterogéneas algunas en ojo de buey sobre todo en cúpula hepática, sugerentes de metástasis hepáticas.Pruebas complementarias
Analítica sanguínea con datos de colestasis disociada (GGT 92U/L; Fosfatasa alcalina: 253 U/L), PCR 25 y déficit de Vitamina B12 sin anemia.Juicio clínico, diagnóstico diferencial, concordancia con el hospital (en su caso)
Ante datos clínicos, analítico y ecográficos se deriva a M.Interna por sospecha de malignidad. Allí realizan TC abdominal como estudio complementario con diagnóstico de cáncer de páncreas estadio IV con metástasis hepáticas e infiltración vascular.Tratamiento, planes de actuación
Ante estadío avanzado de carcinoma pancreático y dada situación clínica y edad de la paciente se consensua por parte de paciente y familiares la no realización de tratamiento invasivo.Evolución
Por lo tanto, se decide alta con control por Atención Primaria y acompañamiento y control de síntomas junto con el Equipo de Soporte de Atención Paliativa Domiciliaria.
