X Jornadas de Actualización en Medicina de Urgencias y VI Jornadas de Ecografía de la semFYC
6-7-8 de febrero de 2025
Atención Primaria.
Tensión arterial (TA) aislada elevada en farmacia.
Antecedentes personales relevantes, anamnesis, exploración física y lugar que ocupa en ella la ecografía
Mujer con antecedente de hiperlipidemia. Acude a consulta de Atención Primaria (AP) por cifra de TA 217/88 en farmacia. Niega clínica asociada. En consulta, presenta TA 166/88, con auscultación cardiopulmonar y resto de exploración física sin hallazgos. Se inicia tratamiento antihipertensivo con inhibidor de la enzima convertidora de la angiotensina (IECA) y se solicita analítica de control de función renal e iones a las dos semanas tras inicio de tratamiento. Acude un mes después con automedición presión arterial (AMPA), con una media de TA 160/76. Analítica con microalbuminuria y filtrado glomerular (FG) de 110. Se añade diurético al tratamiento. A pesar de ello, la paciente sigue presentando TA elevadas en AMPA de control. Se revisa técnica de medición, adherencia al tratamiento, y se realiza una medición ambulatoria de la presión arterial (MAPA), que confirma mal control. Se intensifica tratamiento añadiendo calcio antagonista, persistiendo mal control en MAPA y con empeoramiento de función renal (FG 54).
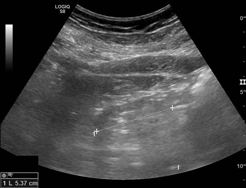
Descripción de los hallazgos ecográficos y las imágenes más relevantes para la resolución del caso
Ante hipertensión arterial (HTA) mal controlada a pesar de tres fármacos, y empeoramiento de la función renal, se realiza diagnóstico de HTA resistente y se realiza ecografía clínica en consulta de AP, donde se objetiva imagen hipoecogénica ovalada paraesplénica 5.3cm, sospechando atrofia renal izquierda; con riñón derecho conservado.
Otras pruebas complementarias realizadas (si existen)
Se solicita ecografía urológica, la cual confirma la atrofia renal.
Juicio clínico, diagnóstico diferencial, concordancia con el hospital (en su caso)
HTA renovascular.
Decisiones adoptadas: tratamiento, planes de actuación
Se deriva a la paciente a Nefrología ante posible HTA renovascular.
Evolución y seguimiento
Confirman atrofia renal izquierda y estenosis arteria renal derecha en ecodoppler. Colocan stent, consiguiendo buen control de la HTA y mejora de función renal.
La HTA resistente se define como HTA que no se controla a pesar de tres fármacos (uno diurético) a dosis óptimas. Es preciso descartar HTA pseudoresistente. Además, debemos considerar la enfermedad renovascular como posible causa. El empeoramiento de la función renal tras inicio de IECA puede ser signo indirecto de ello, al igual que lo son diferentes hallazgos ecográficos como la atrofia renal. La ecografía clínica en AP nos permite realizar la valoración morfológica de los riñones, pudiendo adelantarnos en el progreso a una enfermedad renal crónica irreversible en contexto de HTA renovascular.
