X Jornadas de Actualización en Medicina de Urgencias y VI Jornadas de Ecografía de la semFYC
6-7-8 de febrero de 2025
Atención Primaria.
Dolor abdominal de larga data y sangrado intermenstrual.
Antecedentes personales relevantes, anamnesis, exploración física y lugar que ocupa en ella la ecografía
Mujer de 49 años. Antecedentes de útero polimiomatoso y varios legrados. Tratamiento con ácido tranexámico y estradiol/norestisterona. Residente en España desde hace 2 años.
Refiere empeoramiento del dolor y abundante sangrado intermenstrual acompañado desde hace varias semanas de pérdidas ocasionales de orina. No recuerda fecha de última regla.
Buen estado general. Normocoloreada. Abdomen blando y depresible, doloroso a la palpación en hipogastrio y fosa iliaca izquierda. Se palpan masas compatibles con útero miomatoso. Sin signos de irritación peritoneal.
Decidimos realizar ecografía abdominal con sonda convex.
Descripción de los hallazgos ecográficos y las imágenes más relevantes para la resolución del caso
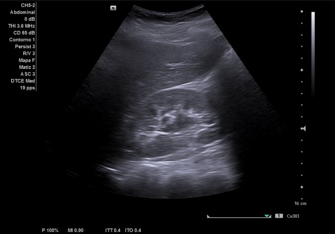
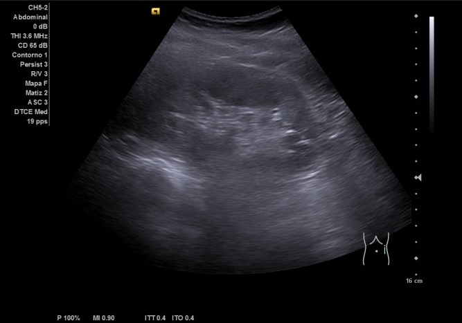
Riñón derecho ligeramente aumentado de tamaño con aparente hidronefrosis grado 1-2.
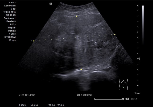
Riñón izquierdo tamaño y ecoestructura normal. Se visualiza vejiga con paredes homogéneas y ambos jets. Útero en anteversión, con mioma de 15,14 x 9,98 cm. Anejos normales.
Otras pruebas complementarias realizadas (si existen)
Hemograma y bioquímica, perfil hepático y renal normal, Ferritina 15, Factor reumatoide < 10.0, VSG 12.0. Orina con indicios de leucocitos, sangre positiva, 240 hematies/campo y células escamosas.
Bioquímica de orina: creatinina 110,0 mg/dl, albumina 376,40 mg/dl, cociente alb/cr 341,9 g/g.
Serología negativa.
Citología vaginal negativa.
Biopsia de mucosa endometrial proliferativa con ausencia de malignidad.
Juicio clínico, diagnóstico diferencial, concordancia con el hospital (en su caso)
Útero polimiomatoso. Cérvix con metaplasia escamosa y quistes mucosos.
Endometrio inactivo con signos de descamación. Adenomiosis. Leiomiomas intramurales convencionales.
Decisiones adoptadas: tratamiento, planes de actuación
Se derivó a Ginecología para valoración donde propusieron intervención quirúrgica.
Evolución y seguimiento
Realizaron histerectomía con salpinguectomía con resultados de anatomía patológica con metaplasia escamosa y quistes mucosos.
Destacar la importancia de la utilización del ecógrafo en consulta de atención primaria para poder realizar una correcta valoración de la situación del paciente y poder actuar de forma precoz ante los hallazgos obtenidos. Acortando tiempos de espera y facilitando el trabajo multidisciplinar entre el médico de atención primaria y el servicio de ginecología, en este caso.


