V Jornadas de Ecografía de la semFYC

9 y 10 de febrero de 2024

Comunicaciones: Casos clínicos

Un peligro silencioso: no tener tiempo (oral)

Ámbito del caso

Atención Primaria.

Motivos de consulta

Revisión de una analítica.

Historia clínica

Enfoque individual

Hombre de 70 años, fumador, con antecedentes de dislipemia, encefalopatía vascular con infartos isquémicos frontal y de ganglios basalese implante de stent carotídeo que consulta, con mucha prisa, por analítica de control y dado que cumple criterios para cribado de aneurisma de aorta abdominal (AAA) (Varón, fumador, entre 65 y 75 años con factores de riesgo cardiovascular) decidimos realizar el cribado en consulta. En la exploración abdominal se palpa una masa pulsátil en mesogastrio con pulsos inguinales presentes y simétricos. Sin otros hallazgos en el resto de la exploración.

Hallazgos ecográficos

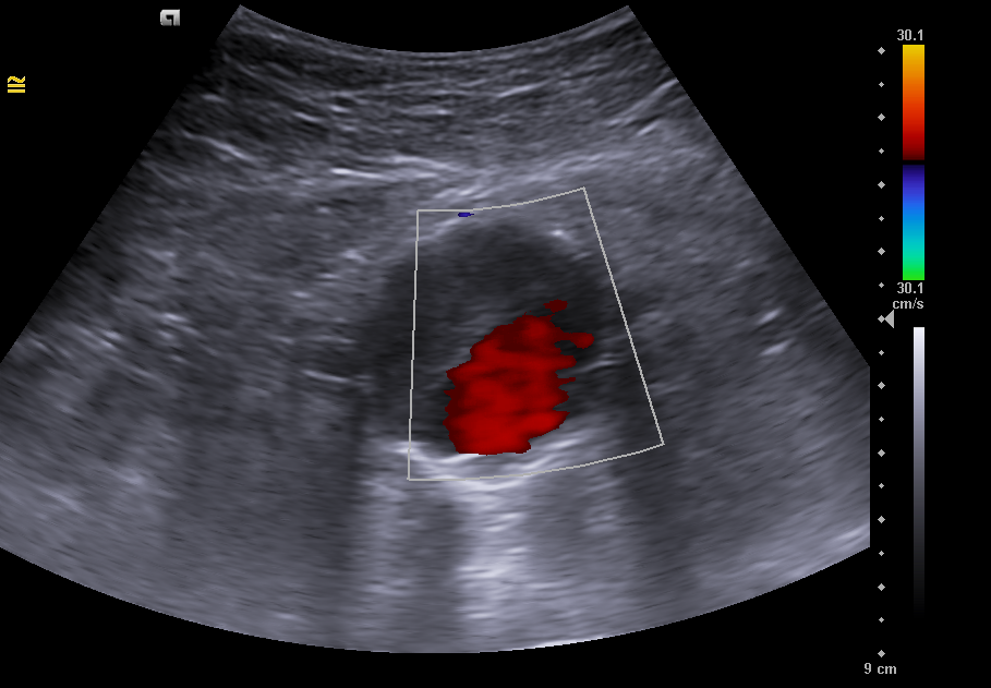
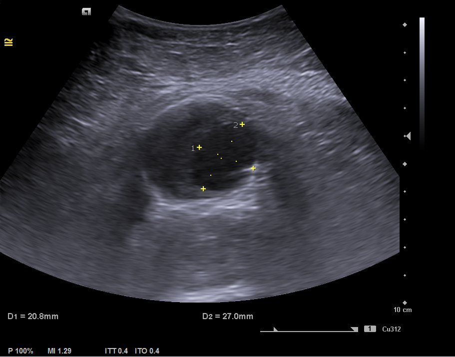
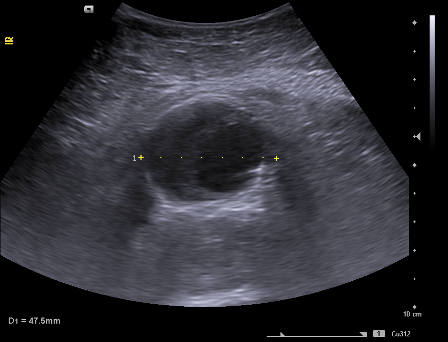
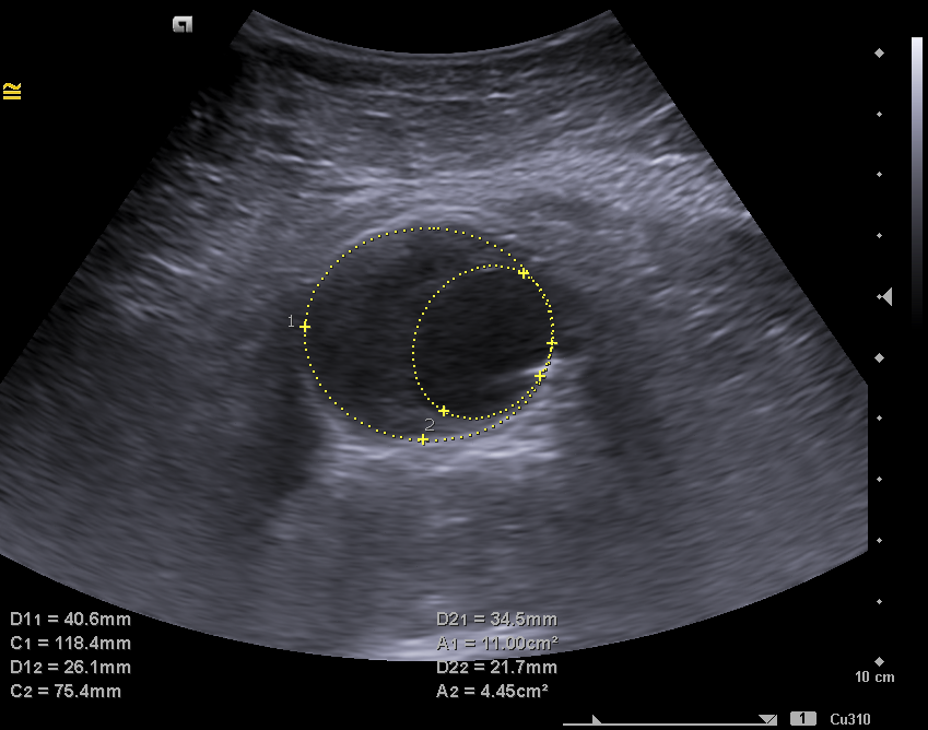
En la ecografía clínica se observa la aorta abdominal con calibre aumentado de tamaño (46 x 41 mm de diámetro), trombo mural interior y luz del vaso de 20 x 27 mm compatible con aneurisma de aorta abdominal fusiforme que se extiende hasta bifurcación aortoilíaca. Arterias ilíacas comunes sin datos de afectación.

Pruebas complementarias

Se deriva al Servicio de cirugía vascular quienes realizaron TAC abdominal.

Juicio clínico, diagnóstico diferencial, identificación de problemas

El TAC abdominal confirmó el diagnóstico de aneurisma de aorta abdominal.

Tratamiento y planes de actuación

Debido al tamaño del aneurisma se decide observación, medidas higienicodietéticas y doble antiagregación.

Evolución

Revisión anual mediante ecografía.

Conclusiones (y aplicabilidad para la Medicina de Familia)

La realización del cribado de AAA en Atención Primaria mediante ecografía no solo resulta altamente beneficiosa, sino que está respaldada por la USPSTF y la ESC, dado que la ecografía presenta una sensibilidad y especificidad muy alta para diagnosticar esta patología. A pesar de que la logística ha impedido la implantación de cribado a nivel poblacional, en poblaciones de mayor riesgo, la prevalencia de AAA puede alcanzar al 5,5% con la capacidad de reducir la mortalidad en un 45% a 10 años. Entre las consultas «rutinarias» y «sin tiempo» de la Atención Primaria, se esconden motivos aparentemente triviales que tienen el potencial de ser verdaderos salvavidas. Podemos diagnosticar, llevar un seguimiento y prevenir complicaciones en el futuro.
 
 
 
 

Comunicaciones y ponencias semFYC: 2026; Comunicaciones: Casos clínicos. ISSN: 2339-9333

Autores

Mateos Panalés, Maria
CS Las Torres de Cotillas. Murcia
Buendia Peñalver, Maria Esperanza
CS Las Torres de Cotillas. Murcia