X Jornadas de Actualización en Medicina de Urgencias y VI Jornadas de Ecografía de la semFYC
6-7-8 de febrero de 2025
Atención Primaria.
Disnea.
Antecedentes personales relevantes, anamnesis, exploración física y lugar que ocupa en ella la ecografía
Hombre de 55 años con antecedente de alcoholismo y cuadro de ansiedad generalizada con ideas autolíticas desde 2011, con frecuentes visitas a urgencias. Trastorno neurocognitivo residual de predominio disejecutivo, visoespacial y mnésico. Vive de pensión no contributiva, dependiente de hermanos. Realiza seguimiento por Psiquiatría, en tratamiento con aripiprazol, venlafaxina y diazepam.
En diciembre de 2022 tuvo un episodio de TEP tras inmovilización por suboclusión intestinal, tratado con HBPM y rivaroxabán hasta marzo de 2023. Intento autolítico en julio de 2023 por precipitación, con fractura de ambos calcáneos y vértebras L1 y L2, que condicionó inmovilización durante meses; tomó rivaroxabán durante el mes de agosto de 2023. Ingreso en Psiquiatría hasta enero de 2024, con seguimiento ambulatorio estrecho por riesgo de recaída.
Acude dos meses después a urgencias del Centro de Salud acompañado de su hermano por sensación de falta de aire desde el alta, solicita medicación ansiolítica como otras veces. La auscultación es normal y la saturación del 95%, leve taquipnea. Se hace ecografía pulmonar.
Descripción de los hallazgos ecográficos y las imágenes más relevantes para la resolución del caso
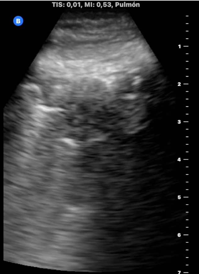
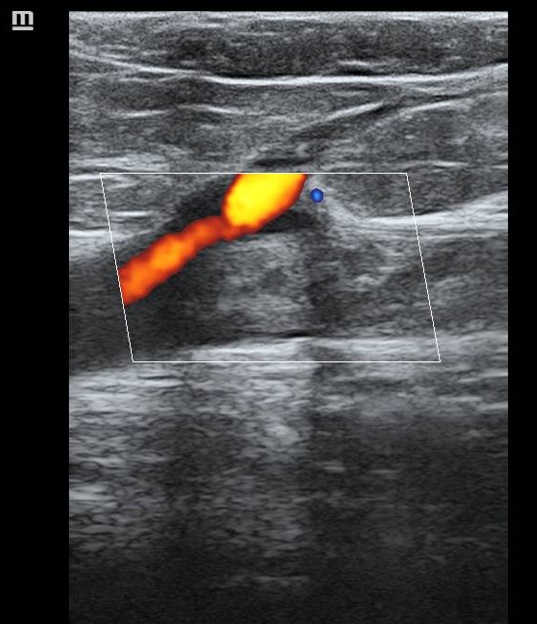
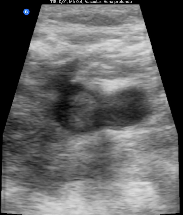
La ecografía pulmonar muestra microconsolidación y líneas B en campo posteroinferior derecho (imagen 1). Ante el antecedente de inmovilización y TEP previo, preguntamos por edemas y refiere inflamación en miembro inferior izquierdo, constatándose cierto aumento de perímetro. La ecografía de MII muestra trombo hiperecogénico femoropoplíteo con captación de Doppler periférico (imagen 2, 3 y 4).
Juicio clínico, diagnóstico diferencial, concordancia con el hospital (en su caso)
TEP y TVP secundarios a inmovilización.
Decisiones adoptadas: tratamiento, planes de actuación
Derivación a Urgencias.
Evolución y seguimiento
El angioTAC confirma TEP de arteria pulmonar principal derecha. Ingreso en Neumología para vigilancia. Estudio de trombofilia negativo. Anticoagulación indefinida por dos episodios de TVP/TEP.
La ecografía pulmonar permitió valorar de forma integral lo que en cualquier otra circunstancia habría sido diagnosticado como «un ataque de ansiedad más en un paciente psiquiátrico», especialmente en una consulta rápida donde no se ve a paciente propios. Gracias al ecógrafo portátil se pudo encontrar un hallazgo que derivó en profundizar en la exploración, permitiendo un diagnóstico que de haberse retrasado podría haber puesto en peligro la vida del paciente. No hay que olvidar que algunas disneas crónicas pueden ser manifestación de TVP/TEP de evolución lenta, especialmente en pacientes con factores de riesgo.



