5, 6 y 7 de febrero de 2026
Atención Primaria.
Control tensional.
Enfoque individual
Hombre de 40 años con antecedentes personales de hipertensión arterial (HTA) en tratamiento con enalapril 20 mg, con controles tensionales subóptimos en los últimos meses. Como antecedente familiar relevante, destaca que su padre fue diagnosticado de cáncer renal. El paciente acude a la consulta de Atención Primaria para control anual, encontrándose asintomático y sin otros hallazgos clínicos de interés durante la exploración física
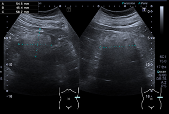
Hallazgos ecográficos
Dado el antecedente familiar de neoplasia renal, se decide realizar una ecografía abdominal en la consulta, en la cual se identifica de forma incidental una lesión cortical hiperecogénica en el riñón izquierdo, de aproximadamente 13 × 10 mm, con flujo Doppler positivo.
Pruebas complementarias
Ante este hallazgo, se solicita ecografía complementaria por el Servicio de Radiología, donde se confirma una lesión cortical compatible con angiomiolipoma renal izquierdo, además de observarse pequeños angiomas hepáticos sin otras alteraciones relevantes.
Juicio clínico, diagnóstico diferencial, concordancia con el hospital (en su caso)
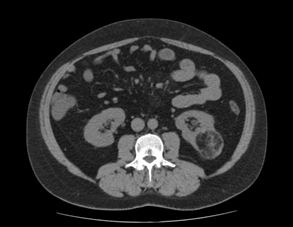
El paciente es derivado al Servicio de Urología para valoración y manejo. Se amplía el estudio con un TAC abdominal, que describe un angiomiolipoma en el polo inferior del riñón izquierdo, más precisamente en su aspecto posterior, con un tamaño aproximado de 6 cm en su eje mayor. El resto del estudio de imagen no presenta alteraciones significativas.
Tratamiento, planes de actuación
Tras discutir opciones terapéuticas y riesgos, se decide realizar embolización selectiva de la lesión, procedimiento que transcurre sin incidencias. En el control ecográfico realizado dos meses después, se objetiva una reducción del tamaño tumoral a 56 mm. Paralelamente, desde Urología se deriva a Nefrología para reevaluación de la HTA y ajuste terapéutico, ante la posibilidad de que el angiomiolipoma estuviera contribuyendo a la inestabilidad tensional.
Evolución
Actualmente, el paciente permanece asintomático, en seguimiento por Urología, con un tamaño residual de la lesión de 37 mm. A nivel tensional, se observa una mejoría significativa tras la intervención, sin necesidad de modificar el tratamiento antihipertensivo previo.
Este caso pone de manifiesto la importancia de la Atención Primaria en la detección precoz de hallazgos incidentales con potencial impacto clínico. La realización de ecografía en consulta permitió iniciar un abordaje temprano y coordinado del angiomiolipoma, optimizando el pronóstico y mejorando el control tensional del paciente.



