V Jornadas de Ecografía de la semFYC

9 y 10 de febrero de 2024

Comunicaciones: Casos clínicos

Un hallazgo a tiempo (póster)

Ámbito del caso

Atención Primaria

Motivos de consulta

Hace una semana comenzó con molestias en hipogastrio, polaquiuria sin disuria, sin objetivar hematuria. Sin fiebre ni sensación distérmica. Sin signos de alteración intestinal. Ni pérdida de peso. Menopausia quirúrgica a los 49 años. G0A0V0

Historia clínica

Enfoque individual

No RAMc, no fumadora, ni otros hábitos tóxicos conocidos. No FRCV. Sobrepeso. AP: Infecciones del tracto urinario de repetición, endometriosis. IQx: Miomectomía uterina múltiple, histerectomía total y salpinguectomía bilateral. Apendicectomía. No sigue ningún tipo de tratamiento. EF: TA: 132/84, FC: 89lpm, Sat O2: 98%. BEG, normohidratada, normoperfundida. AC: rítmica, sin soplos. AP: MVC, sin ruidos sobreañadidos. Abd: RHA+, blando, depresible, se palpa masa en hipogastrio dolorosa. Eco para descartar globo vesical vs endometriosis.

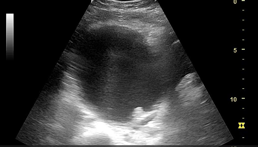
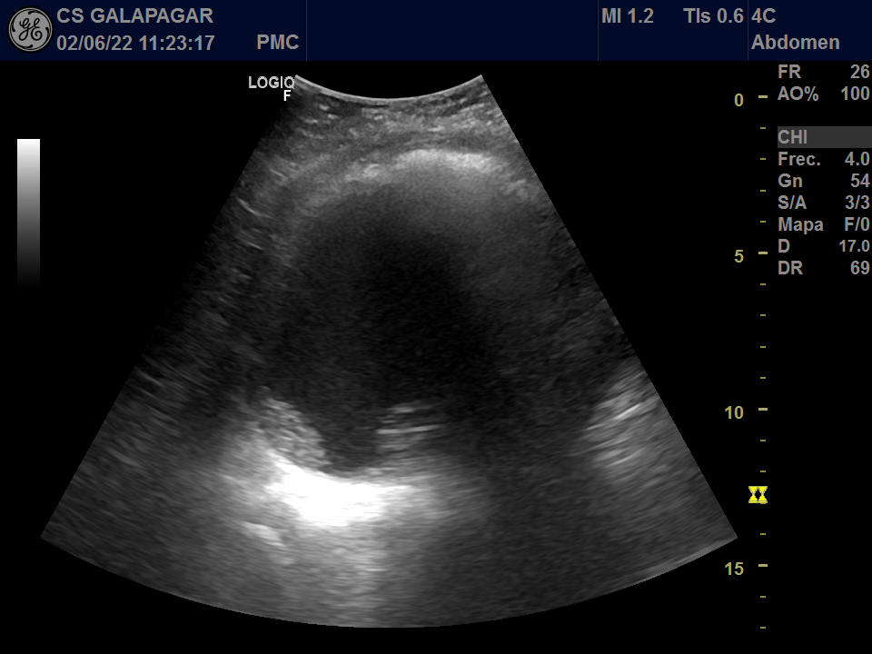
Hallazgos ecográficos

Se objetiva masa vs pólipo intravesical de bordes irregulares, de aspecto heterogéneo de unos 12 x 12 cm.

Pruebas complementarias

Eco de aparato urinario urgente donde se objetivaron múltiples lesiones excrecentes y plantearon tumor vs origen inflamatorio por la ausencia de vascularización. Eco TV: quiste sin Doppler. En la exploración vaginal: se palpó masa que llega 10 cm por encima de pubis y abomba cara anterior de la vagina. TAC abdomino-pélvico: lesión quística pélvica con aislados polos sólidos excéntricos. La lesión produce efecto masa sobre estructuras adyacentes. Se realizó laparatomía exploratoria con toma de biopsias.

Juicio clínico, diagnóstico diferencial, identificación de problemas

JC en centro de salud: pólipo intravesical vs quiste intravesical vs tumoración vesical. En el hospital el diagnóstico diferencial inicial fue tumor vs origen inflamatorio. Diagnóstico final anatomopatologico carcinoma de células claras de ovario izquierdo.

Tratamiento y planes de actuación

Se decidio derivar a urgencias para valoración por especialista. Tras diagnóstico final se realizó ooforectomía bilateral, linfadenectomía pélvica y aortocava, omentectomía y QT adyuvante.

Evolución

Continúa en seguimiento por oncología y ginecología.

Conclusiones (y aplicabilidad para la Medicina de Familia)

El uso de la ecografía ha permitido que ante una imagen sospechosa se haya derivado a la paciente de forma rápida para continuar el estudio por otro especialista, evitando el retraso en el tratamiento. La elevada mortalidad del cáncer de ovario se explica por dos razones: La ausencia de síntomas específicos al inicio, lo que motiva que la mayoría de pacientes se presenten con enfermedad diseminada al diagnóstico y la ausencia de métodos de detección precoz (screening) que sean eficaces y estén validados.

 


Comunicaciones y ponencias semFYC: 2026; Comunicaciones: Casos clínicos. ISSN: 2339-9333

Autores

García De Prado Cwierz, Marta
CS Galapagar. Madrid
Jorge Contreras, María Victoria
CS Galapagar. Madrid
Martín-Carrillo Domínguez, Pilar
CS Galapagar. Madrid