5, 6 y 7 de febrero de 2026
Servicio de Urgencias.
Pérdida transitoria del conocimiento (PTC)
Enfoque individual
Antecedentes:
Anamnesis:
Exploración física:
Pruebas complementarias:
Enfoque familiar y comunitario
Sin interés.
Juicio clínico, diagnóstico diferencial, identificación de problemas
Síncope de origen cardiogénico versus neuromediado por hipotensión.
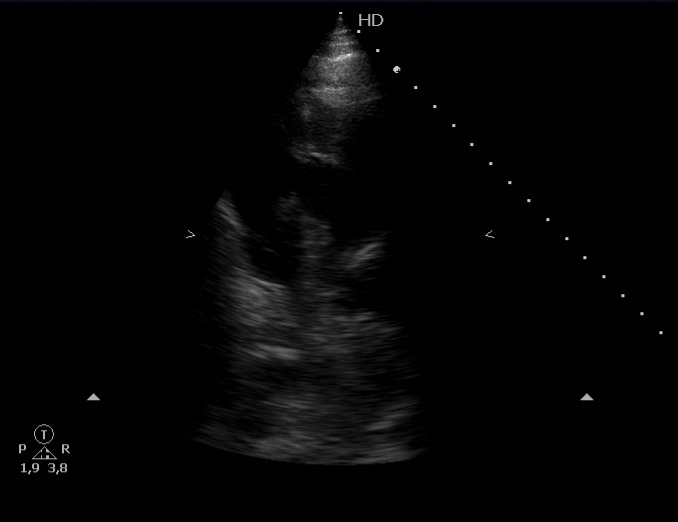
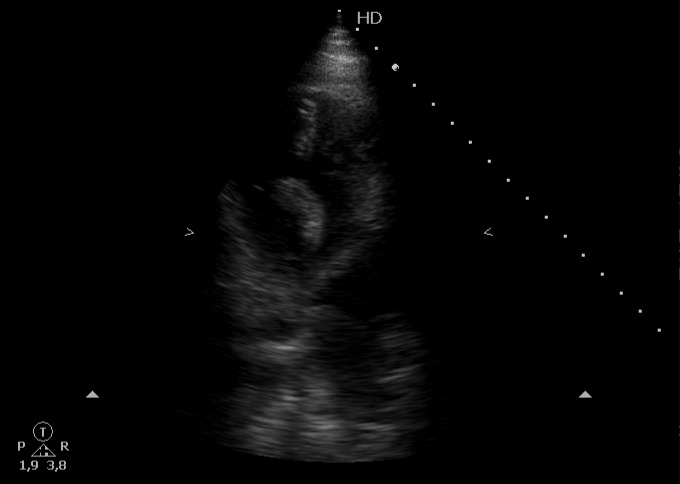
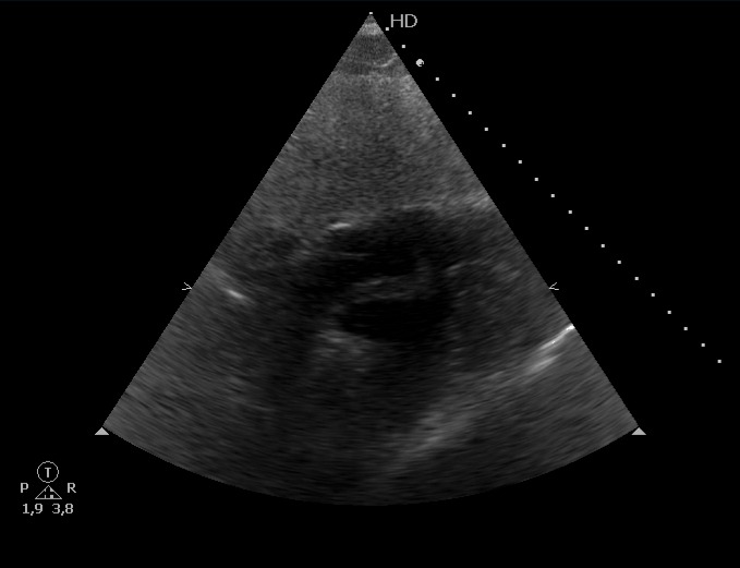
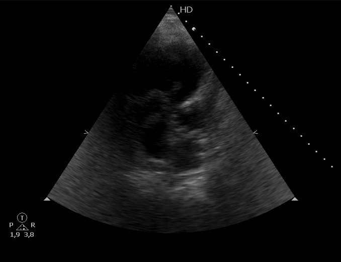
Escalas de riesgo probable para tromboembolismo pulmonar, cursando prueba de imagen que confirma patología y ampliando estudio con ecografía cardíaca que muestra presencia de émbolo intracardíaco.
Tratamiento y planes de actuación
Enoxaparina 1 mg/kg/12 horas.
Evolución
Ingreso en UCI con descompensación secundaria a infarto de VD, pauta de alteplasa con aparición de depresión del sensorio, bloqueo auriculoventricular completo y falla cardiorrespiratoria, requiriendo ventilación mecánica e inotrópicos.
Finalmente entra en asistolia e inician reanimación que resulta estéril.
Relación entre síncope, taquicardia y el TEP.
Signos de disfunción del VD en el momento inicial, y mayor riesgo de muerte prematura.
Clasificación de trombo intracardíaco en Tipo A, B o C; el A tiene forma de gusano o serpiente, es móvil y suele asociarse a TVP.



