5, 6 y 7 de febrero de 2026
Atención Primaria.
Hombre de 37 años consulta por dolor lumbar irradiado a extremidad inferior derecha de un año de evolución, que aumenta con la deambulación, sin déficit motor.
Enfoque individual
Natural de Marruecos, residente en España desde 2023. Refiere antecedente de cirugía por litiasis renal izquierda en Marruecos en 2007, sin poder precisar si se trató de litotricia o la colocación de un catéter doble J. Sin otros antecedentes relevantes.
Ante el dolor lumbar persistente, se realiza radiografía de columna lumbosacra, sin alteraciones óseas, pero donde se describe una posible litiasis coraliforme en riñón izquierdo. Se cita al paciente para una ecografía clínica (EcoAP) de vías urinarias para completar el estudio.
Hallazgos ecográficos
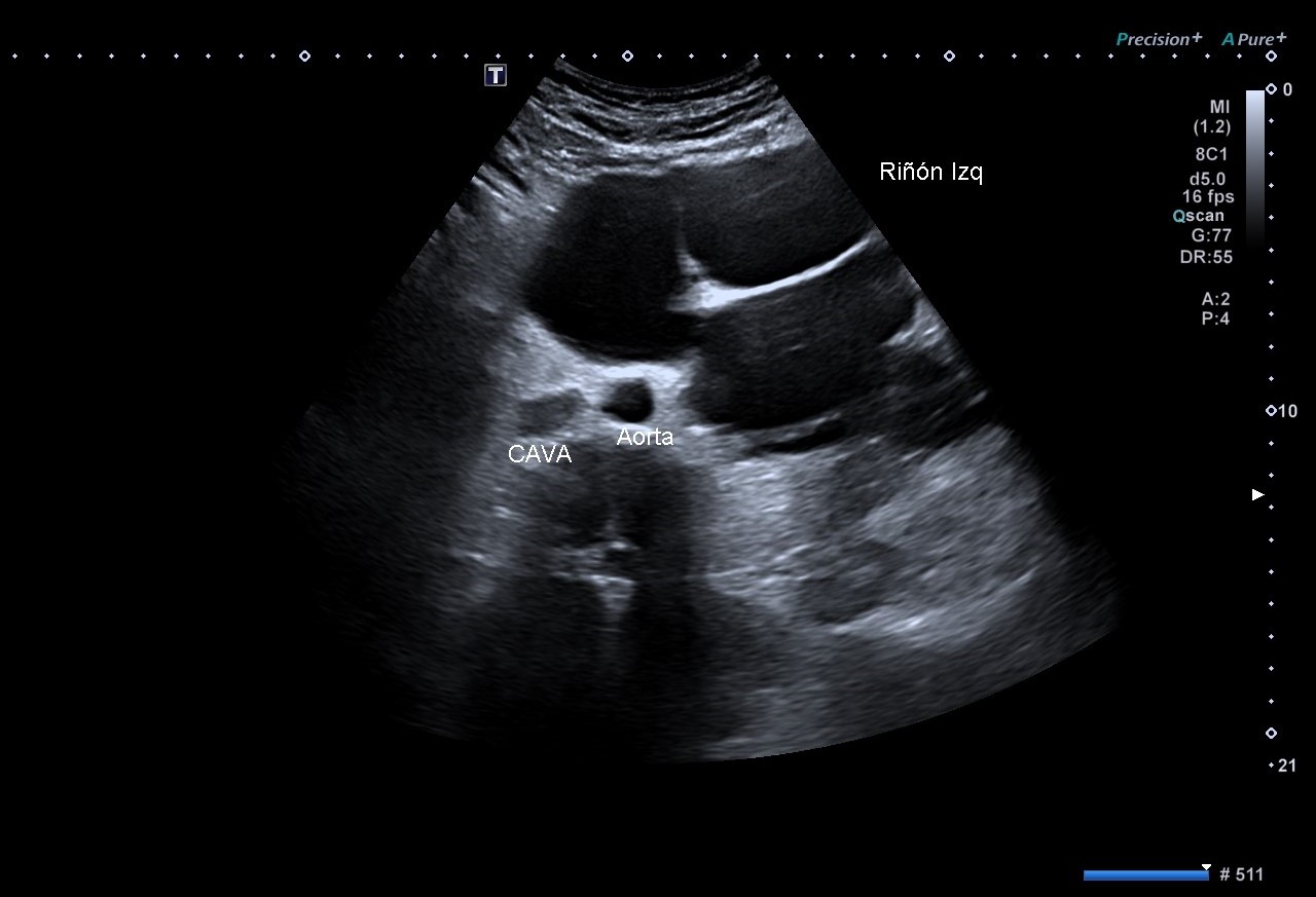
En la EcoAP se objetiva vejiga urinaria de paredes lisas, con volumen pre-miccional de 731.1cc, jet urinario derecho presente pero izquierdo no visualizado, y volumen post-miccional de 15.2cc.
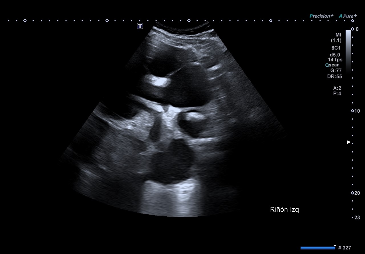
Se evidencia riñón izquierdo con hidronefrosis grado 4+, completamente desestructurado que impiden reconocer arquitectura renal normal, con múltiples imágenes anecoicas, aumentado de tamaño llegando a sobrepasar línea media. Destaca una imagen hiperecogénica con múltiples sombras acústicas posteriores, compatible con litiasis coraliforme, en concordancia con la radiografía.
El riñón derecho presenta morfología y localización normales (13,2 cm).
Pruebas complementarias
Se solicita TAC abdominal urgente y analítica sanguínea para completar el estudio y valorar el grado de afectación funcional del riñón izquierdo y su repercusión clínica.
Las litiasis coraliformes representan entre el 2–20% de las litiasis renales y suelen formarse a partir de estruvita, asociadas a infecciones urinarias por bacterias productoras de ureasa (Proteus, Klebsiella, Pseudomonas) que alcalinizan la orina y favorecen un crecimiento rápido capaz de ocupar la pelvis y los cálices renales, lo que conlleva riesgo de uropatía obstructiva crónica y deterioro progresivo de la función renal.
En este caso, la EcoAP permitió identificar una hidronefrosis grado 4+, una litiasis coraliforme extensa y ausencia de jet ureteral izquierdo, hallazgos que orientan hacia obstrucción severa y probable riñón no funcionante. La EcoAP fue clave para priorizar un TAC urgente, acelerar la derivación y evitar retrasos diagnósticos, demostrando su utilidad como herramienta accesible en Atención Primaria para detectar litiasis complejas y valorar su repercusión funcional.



