5, 6 y 7 de febrero de 2026
Atención Primaria.
Bultoma en región dorsal derecha.
Enfoque individual
Hallazgos ecográficos
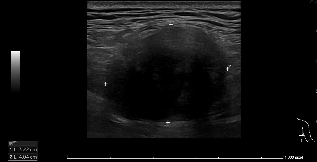
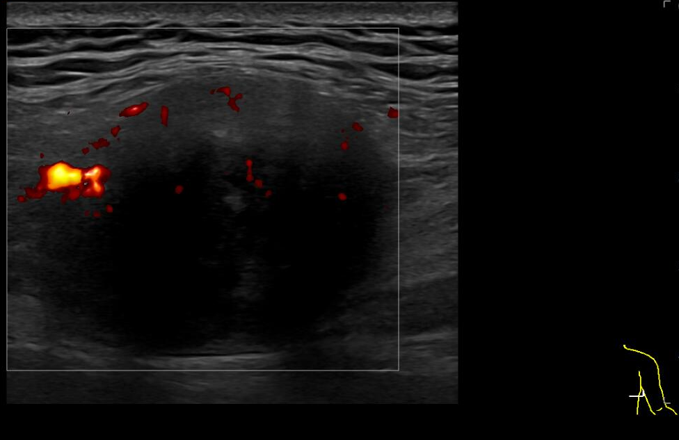
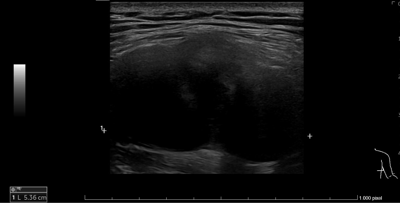
Ecografía: en el tercio medio y posterolateral de la pared torácica derecha, se observa una tumoración sólida, con densidad de partes blandas a nivel más craneal y un componente graso heterogéneo en el polo inferior, de aproximadamente 40 x 32 x 53 mm (transversal-AP-craneocaudal) que presenta pequeños vasos en su interior. Se sitúa en la en el plano muscular superficial, aproximadamente a 7 mm de profundidad respecto a la piel.
Pruebas complementarias
RMN: masa sólida localizada en la región subescapular derecha, con componente graso y signos de infiltración muscular, sugestiva de liposarcoma como primera opción diagnóstica a considerar. Este caso debe ser valorado por un comité de tumores de partes blandas para decidir manejo terapéutico.
Juicio clínico, diagnóstico diferencial, concordancia con el hospital (en su caso)
Posible liposarcoma.
Tratamiento, planes de actuación
Se contacta con traumatólogo de guardia del hospital de referencia para comentar el caso y nos indica realizar derivación urgente a hospital de tercer nivel.
Evolución
Este caso subraya la importancia de la ecografía en Atención Primaria como herramienta inicial para evaluar masas o tumores en tejidos blandos, facilitando una orientación diagnóstica temprana. La ecografía identificó características clave de la masa (componente sólido y graso), lo que llevó a sospechar un liposarcoma y a derivar al paciente a un centro especializado. Finalmente, cabe destacar que este manejo conlleva una mejor relación médico-paciente.


