5, 6 y 7 de febrero de 2026
Politraumatizado por accidente de moto.
Enfoque individual
Paciente hombre de 16 años de edad sin antecedentes personales de interés.
Se valora en vía pública tras accidente de moto con colisión frontal contra vehículo. Al parecer el paciente se ha incorporado a la vía desde el acerado y ha salido delante de un camión aparcado, no comprobando que no viniera otro vehículo en la calzada. En consecuencia, choca contra el mismo frontalmente, siendo despedido junto con la moto un metro hacia el mismo acerado del que provenía.
Siguiendo el esquema de evaluación de un paciente politraumatizado:
X: No presenta heridas exanguinantes.
A: Vía aérea conservada.
B: Respiración normal, sin ruidos patológicos, sin lesiones en tórax, con movimientos torácicos efectivos y simétricos.
C: Neurovascular distal conservado con relleno capilar < 2 segundos y cifras tensionales conservadas.
D: Sin problemas neurológicos.
E: Se procede a retirada de casco con control cervical y se aprecia intenso dolor a nivel inguinal izquierdo y testicular ipsilateral.
El paciente es trasladado al hospital de referencia con administración de analgesia. A su llegada, siguiendo el protocolo, se le realiza Body-TAC, que se informa normal para cráneo, tórax y abdomen, localizando sospecha de punto sangrante en testículo izquierdo.
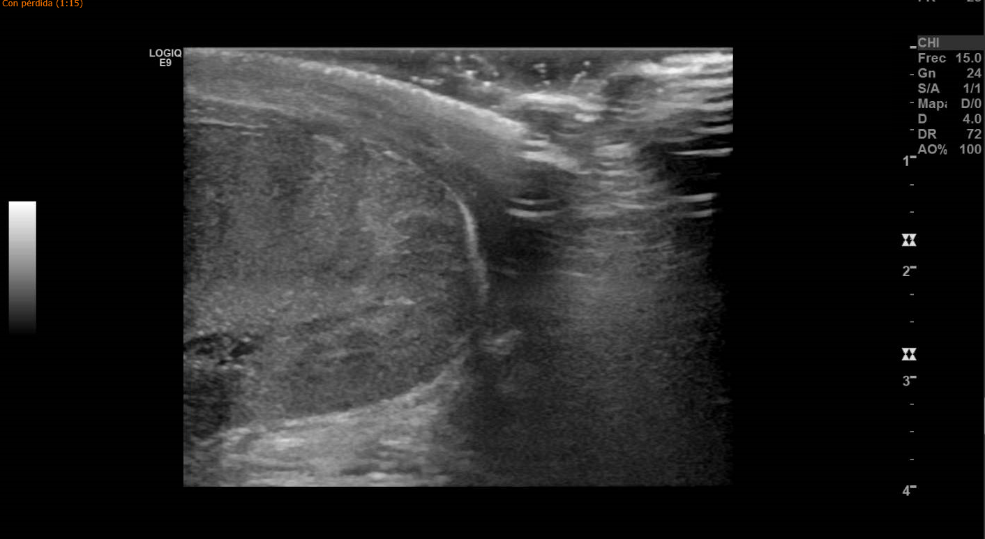
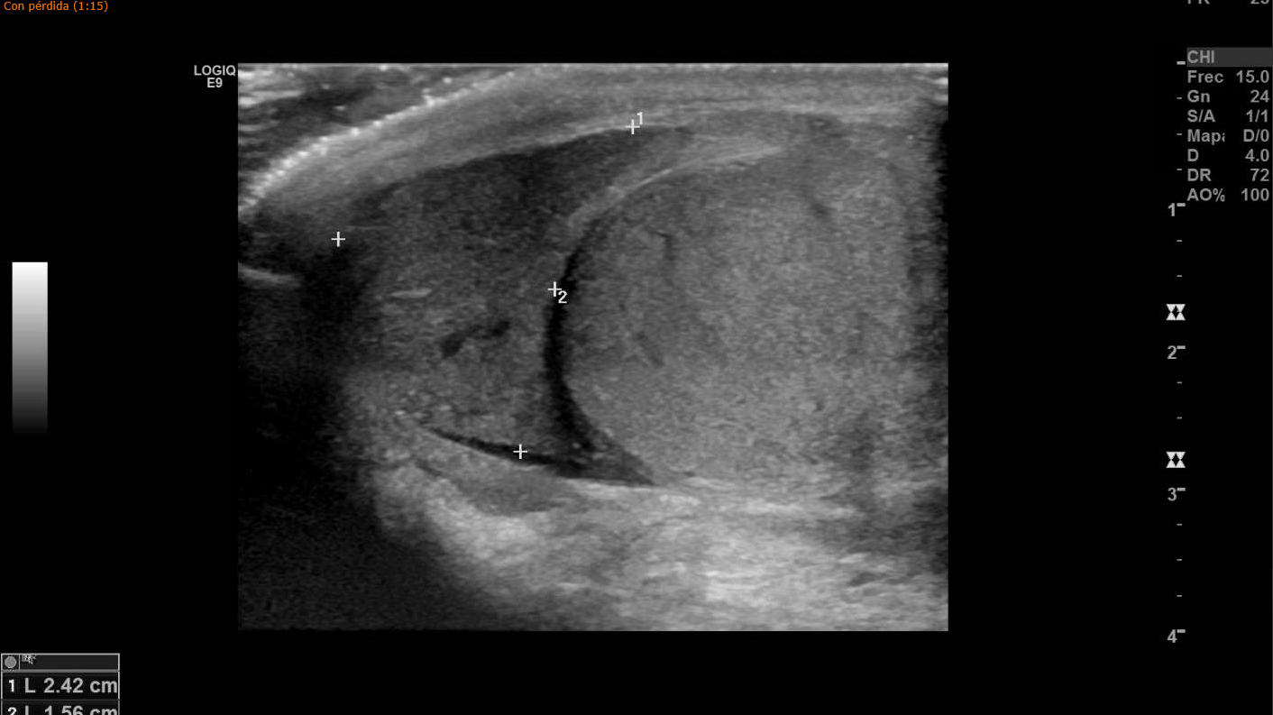
Para confirmar la sospecha se le realiza ecografía testicular, apreciando colección hemática en borde superior de bolsa escrotal izquierda, conservando flujo arterial y venoso. Impresiona de línea hipoecogénica que atraviesa el parénquima testicular, correspondiendo con rotura traumática de testículo izquierdo.
Juicio clínico, diagnóstico diferencial, identificación de problemas
Rotura traumática de testículo izquierdo.
Diagnóstico diferencial con Rotura testicular / fractura femoral izquierda / policontusionado.
Tratamiento y planes de actuación
Se interconsulta con servicio de Urología ingresando para reparando quirúrgica.
Evolución
El paciente presenta buena evolución postquirúrgica, permaneciendo ingresado dos días en planta.
Siempre seguir la sistemática de exploración en cualquier paciente politraumatizado a pesar de las quejas de dolor u otros distractores que el entorno pueda presentar, como en este caso, la contusión a nivel testicular que le resultaba muy dolorosa.



