X Jornadas de Actualización en Medicina de Urgencias y VI Jornadas de Ecografía de la semFYC
6-7-8 de febrero de 2025
Atención Primaria.
Paciente mujer de 58 años de edad que acude a consulta por presentar tumoración de reciente aparición en ingle derecha.
Antecedentes personales relevantes, anamnesis, exploración física y lugar que ocupa en ella la ecografía
Paciente mujer con antecedentes personales de neurofibromatosis tipo 1, que hace unos días se nota bultoma en cara interna de pierna derecha a nivel inguinal
A la exploración se palpa masa dura, móvil, no dolorosa a la palpación de aproximadamente 5 cm de diámetro.
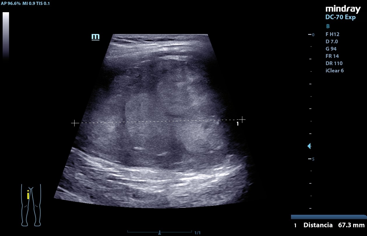
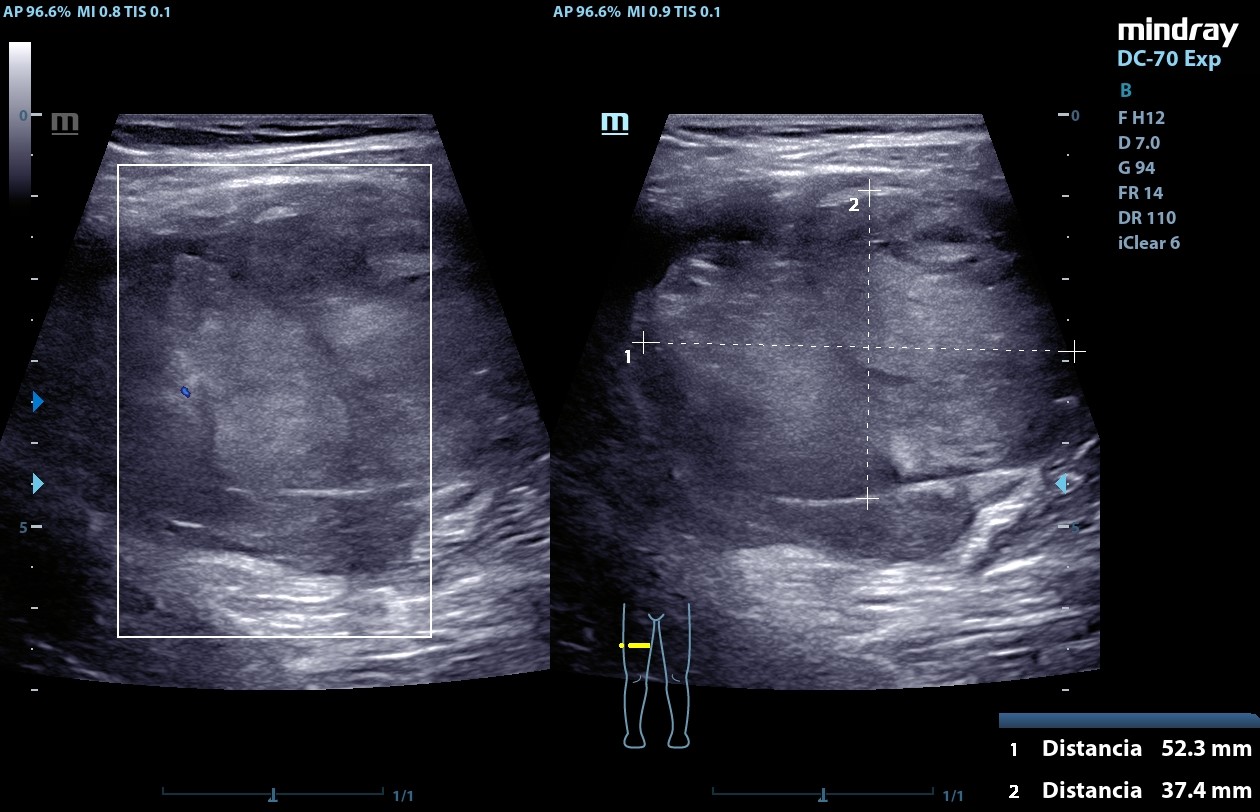
Se decide realizar ecografía POCUS.
Descripción de los hallazgos ecográficos y las imágenes más relevantes para la resolución del caso
Ecografía POCUS (20/09/24): masa heterogénea de centro hiperecogénico, de bordes bien definidos, Doppler negativa de aproximadamente 52,3 mm x 37,4 mm x 67,3 mm compatible con neurofibroma plexiforme.
Otras pruebas complementarias realizadas (si existen)
RMN (16/10/24): Tumoraciones en ambas piernas y cutáneas sugestivas de neurofibromas plexiforme bilateral y cutáneos. En la pierna derecha la masa no pierde planos con nervio safeno principal pero contacta focalmente con vena femoral profunda. En la pierna izquierda contacta lateralmente con el nervio safeno izquierdo y el paquete vasculonervioso femoral en región inguinal.
Juicio clínico, diagnóstico diferencial, concordancia con el hospital (en su caso)
Juicio clínico: Neurofibroma plexiforme.
Diagnóstico diferencial: meningiomas ectópicos, neurinomas, neurilemomas, hemangiomas, sarcomas, linfomas.
Decisiones adoptadas: tratamiento, planes de actuación
Se decide derivar a dermatología y traumatología para valorar excéresis de la lesión.
Evolución y seguimiento
Pendiente de valoración por traumatología.
La neurofibromatosis tipo 1 enfermedad de von Recklinghausen es una enfermedad neurocutánea, multisistémica, de origen hereditario autosómico dominante.
Su lesión distintiva son los neurofibromas predominantemente del sistema músculo-esquelético, que se pueden desarrollar en cualquier parte del cuerpo y presentarse a cualquier edad, siendo los más comunes los neurofibromas localizados, sin embargo una forma de presentación rara pero patognomónica, es el neurofibroma plexiforme.
La prevalencia de malignización de estos tumores oscila entre el 2 al 5%, siendo más frecuente en el caso de los neurofibromas plexiformes.
La ecografía es la técnica de elección para el diagnósitico de la mayoría de los tumores de partes blandas, y aunque es poco específica para el diagnóstico del neurofibroma plexiforme (habitualmente se presenta como una lesión hipoecogénica de límites bien definidos, que parecen un "tiro al blanco", como una masa fusiforme de centro hiperecogénico rodeada por tejido hipoecogénico) es importante conocerlo y saber identificarlo debido a su potencial de malignización.

