V Jornadas de Ecografía de la semFYC
9 y 10 de febrero de 2024
Enfoque individual
Varón de 47 años sin antecedentes personales de interés que consulta por tumoración desde hace 1 mes en hueco poplíteo que desaparece a la flexión, no doloroso, que no ha sido precedido por ningún antecedente traumático.
A la exploración física encontramos una masa pulsátil de consistencia media, de 2 cm de diámetro, en la parte posterior de la rodilla derecha, no adherida a planos profundos y no dolorosa a la palpación.
Exploración neuro-vascular: pulsos presentes y simétricos.
Se realiza ecografía clínica en la misma consulta.
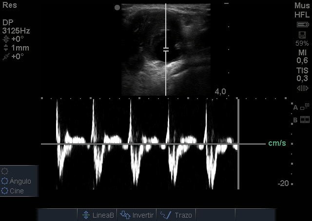
Hallazgos ecográficos
Se visualiza aneurisma de 2 centímetros con imagen compatible con trombo intramural. En modo Doppler flujo turbulento. Realizamos ecografía de rodilla contralateral y aórtica sin hallazgos reseñables.
Pruebas complementarias
En la consulta de Atención Primaria se deriva al servicio de Cirugía Vascular, quien confirma el diagnóstico mediante Angiotac.
Juicio clínico, diagnóstico diferencial, identificación de problemas
Juicio Clínico: Aneurisma poplíteo con trombo intramural.
Diagnóstico Diferencial: Aneurisma poplíteo/ Quiste de Baker/ linfadenopatía periférica.
Tratamiento y planes de actuación
Se deriva desde Atención Primaria a Cirugía Vascular quien tras la confirmación de Angiotac decide intervenir quirúrgicamente: Resección de aneurisma poplíteo y bypass con Vena safena externa o interna en MID.
Evolución
Tras la interconsulta realizada desde Atención Primaria el paciente fue visitado por el servicio de Cirugia Vascular, quien confirma diagnóstico.
Durante pandemia se perdió el seguimiento con el paciente.
En julio de 2022 retoma consulta con Cirugía Vascular. Se le realiza Angiotac, con resultado: Aneurisma de arteria poplítea P1-P2 de 18 x 16 mm con trombosis mural parcial, que ha aumentado significativamente respecto a estudio previo, y actualmente ocluye casi la totalidad de la arteria poplítea.
La ecografía clínica en consulta médica se concluye como una prueba complementaria rápida, de bajo coste y alta efectividad, con la que se logra concluir un juicio clínico y que ayuda al diagnóstico diferencial. Esta prueba es inocua para el paciente y se puede realizar en un mismo acto médico. Del caso clínico mencionado, pone de manifiesto la instantaneidad de la ecografía y su inestimable valor predictivo negativo, no solo para concluir, como en este caso, un juicio diagnóstico certero, sino también, para descartar afecciones potencialmente vitales.
