5, 6 y 7 de febrero de 2026
Servicios de Urgencias.
Disuria, poliaquiuria y urgencia miccional persistentes pese a tratamiento antibiótico.
Enfoque individual
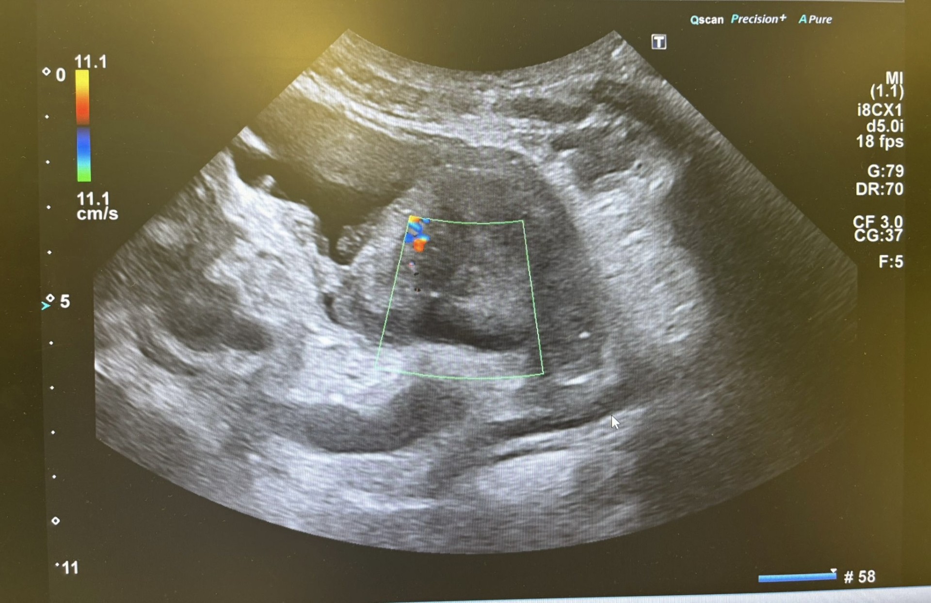
Presentamos el caso de un varón de 62 años fumador crónico (40 paquetes/año) que consulta por síndrome miccional sin fiebre de 20 días de evolución, caracterizado por tenesmo vesical, polaquiuria y hematuria. Había sido tratado previamente con cefixima sin mejoría clínica. En atención primaria se aisló Staphylococcus haemolyticus resistente a meticilina en urocultivo, por lo que fue derivado a urgencias. A su llegada se encontraba afebril y normotenso, con leve dolor abdominal a la palpación y retención urinaria. La analítica mostró leucocitosis (10.720/mm³), neutrofilia y elevación de PCR. El sedimento urinario reveló leucocituria, hematuria y bacteriuria. Ante la persistencia de síntomas y la presencia de retención urinaria se realiza ecografía vesicoprostática en Urgencias objetivándose masa sólida intravesical, irregular con base ancha y vascularización aumentada en Doppler, sugestiva de neoplasia vesical.
Enfoque familiar y comunitario
Sin antecedentes familiares de cáncer urológico.
Juicio clínico, diagnóstico diferencial, identificación de problemas
Principal sospecha: Neoplasia vesical infiltrante. Diagnósticos diferenciales: cistitis crónica, hiperplasia prostática con crecimiento intravesical, pólipo vesical.
Tratamiento y planes de actuación
Derivación preferente a Urología con informe y registro de imágenes ecográficas.
Evolución
Se realizó una resección transuretral. El informe operatorio describe una masa vesical que ocupa todo el trígono y parte de la cara lateral derecha, claramente infiltrante. Se solicitó TAC toracoabdominal y pélvico para estudio de extensión.
Este caso pone de manifiesto el valor de la ecografía realizada en Urgencias para identificar tumores vesicales en pacientes con síntomas urinarios persistentes y factores de riesgo como el tabaquismo. La detección precoz en un contexto agudo permitió una derivación rápida y mejoró las opciones terapéuticas. Se subraya la importancia de no atribuir de forma exclusiva los síntomas miccionales infecciones recurrentes y de considerar causas neoplásicas incluso en ausencia de hematuria macroscópica.

