X Jornadas de Actualización en Medicina de Urgencias y VI Jornadas de Ecografía de la semFYC
6-7-8 de febrero de 2025
Dolor y tumefacción en miembro inferior derecho.
Antecedentes personales relevantes, anamnesis, exploración física y lugar que ocupa en ella la ecografía
Hombre de 77 años, fumador, con índice de masa corporal de 35, intervenido hace 7 días de hallux valgus izquierdo. Refiere dolor y tumefacción de miembro inferior derecho de dos días de evolución. En la anamnesis dirigida el paciente refiere disminución de su actividad diaria habitual por dolor con la deambulación. En la exploración física destaca aumento del perímetro del miembro inferior derecho respecto al contralateral, acompañado de rubor y aumento de temperatura. No se palpa cordón varicoso y el signo de homans es positivo.
Ante la sospecha clínica de trombosis venosa profunda de miembro inferior realizamos ecografía Doppler en el centro de salud para confirmar el diagnóstico y optimizar el tratamiento
Descripción de los hallazgos ecográficos y las imágenes más relevantes para la resolución del caso
En la ecografía se aprecia vena femoral común, vena femoral superficial, vena safena mayor y vena safena menor con diámetro y flujo normal, llenado total de la luz venosa con el Doppler color y compresibilidad adecuada.
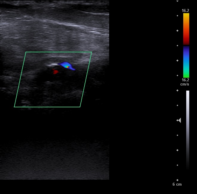
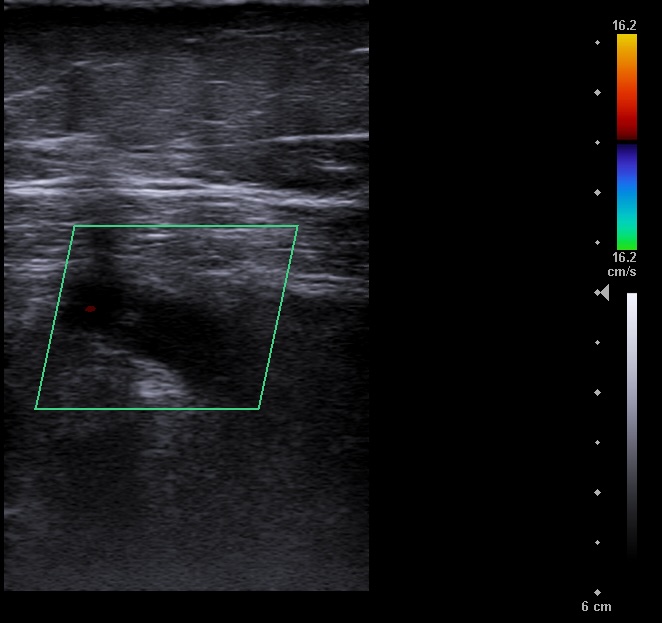
Vena poplitea no compresible, con material ecogénico en su interior y ausencia de flujo con Doppler color.
Otras pruebas complementarias realizadas (si existen)
Analítica con estudio de coagulación y coagulopatías y electrocardiograma
Juicio clínico, diagnóstico diferencial, concordancia con el hospital (en su caso)
Trombosis venosa profunda de vena poplítea derecha.
Diagnóstico diferencial: celulitis, tromboflebitis, insuficiencia venosa crónica.
Decisiones adoptadas: tratamiento, planes de actuación
Ante los hallazgos de trombosis venosa profunda en territorio poplíteo y una vez descartada la presencia de trombosis venosa profunda extensa o síntomas sugestivos de tromboembolismo pulmonar, se decidió iniciar tratamiento anticoagulante a dosis terapéuticas con enoxaparina 1 mg/kg cada 12 horas durante 3 meses.
Evolución y seguimiento
El paciente evolucionó de forma favorable. Se realizó ecografía de control a los 3 meses que confirmó la resolución del cuadro. Se solicitó estudio de coagulopatías confirmándose la presencia de mutación para el factor V de Leiden.
La sensibilidad de la ecografía en el diagnóstico de la trombosis venosa profunda proximal es elevada. Su utilización en Atención Primaria en casos con síntomas de sospecha, permite establecer un diagnóstico y tratamiento rápido, evitando posibles complicaciones derivadas de la demora diagnóstica. Además, su accesibilidad y relación coste-eficacia, así como la ausencia de radiación ionizante, hacen de ella una herramienta muy útil en Atención Primaria.



