5, 6 y 7 de febrero de 2026
Demostrar cómo la ecografía clínica en Atención Primaria transforma la valoración de tumoraciones de partes blandas, pasando de la sospecha clínica a un diagnóstico precoz, seguro y resolutivo, optimizando la derivación y la coordinación con unidades especializadas.
Hemos atendido tres pacientes con bultomas en codo y antebrazo, cada uno con una historia distinta, pero con un denominador común: la ecografía clínica fue decisiva para orientar el manejo.
Un varón de 57 años presentaba una masa dura y creciente en codo izquierdo. La ecografía mostró lesión heterogénea y vascularizada. La RMN confirmó lipoma intermuscular gigante, extirpado con éxito.
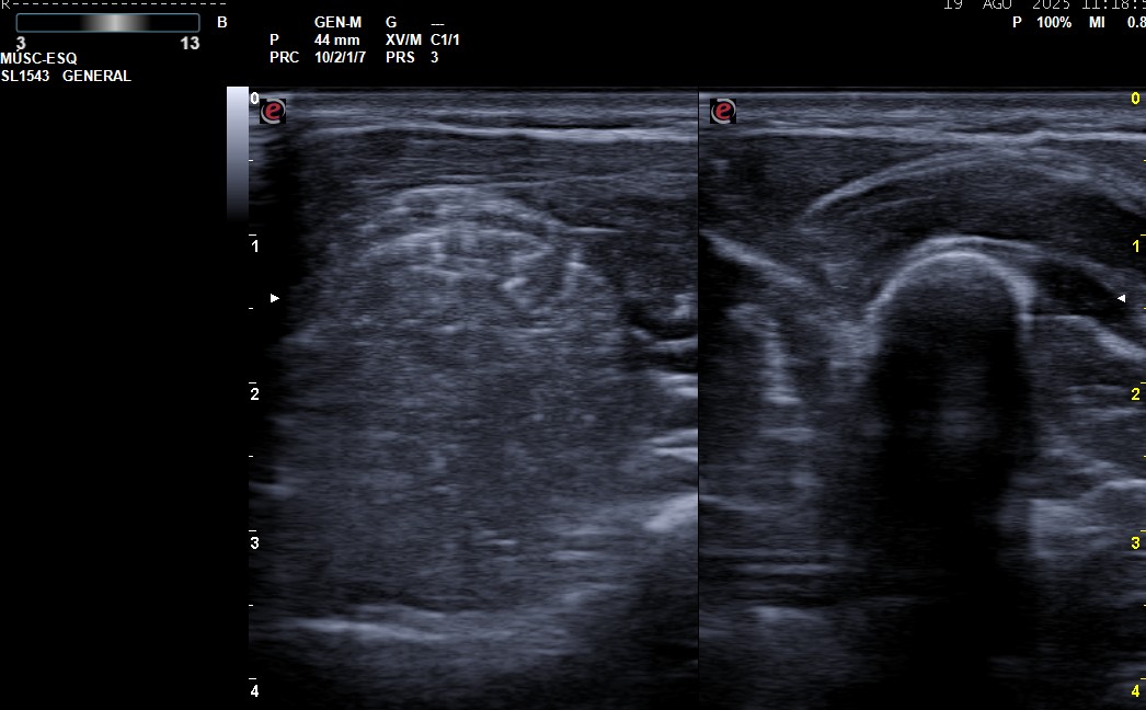
Una mujer de 19 años tenía tumoración blanda en húmero distal derecho. Realizamos una ecografía que mostró una lesión ubicada entre cortical humeral y braquial, hipoecoica, de contornos bien definidos, sin refuerzo posterior con captación Doppler. La RMN evidenció tumor mesenquimal con remodelación ósea, derivándose urgentemente al circuito de tumores músculo-esqueléticos.
Una mujer de 67 años presentó nódulo en brazo derecho, parestesias distales y Tinel positivo. Ecografía clínica: tumor dependiente del nervio mediano. ENG y RMN confirmaron afectación nerviosa. Cirugía: schwannoma confirmado por anatomía patológica.
En todos los casos, la ecografía permitió pasar de la sospecha inicial a una valoración precisa, descartando diagnósticos benignos como hematomas, gangliones o lipomas simples, y facilitando derivaciones rápidas y seguras.
La ecografía clínica en Atención Primaria no solo aporta precisión diagnóstica, sino que transforma la práctica, mejora la seguridad del paciente y da al médico de familia un papel central en la detección precoz de tumoraciones de partes blandas.
Replicable en cualquier centro con ecógrafo, aumenta la resolutividad de Atención Primaria, evita retrasos diagnósticos y refuerza la confianza del paciente en su médico como referente clínico.



