5, 6 y 7 de febrero de 2026
Atención Primaria.
Agravamiento de síntomas urinarios.
Enfoque individual
Hombre de 77 años diagnosticado de adenocarcinoma de colón hace 12 años. Actualmente en estudio por parte de Cirugía General y Digestivo por lesión en colédoco distal sospechosa de malignidad, con manejo conservador por petición del paciente.
Estuvo en seguimiento por Urología con motivo de litiasis renales izquierdas no obstructivas que se trataron con litotricia extracorpórea e hidronefrosis derecha grado 2-3 secundaria a litiasis ureteral derecha y litiasis vesicales. Además, en esa última visita hace un año se diagnosticó de Hiperplasia benigna de próstata (con volumen prostático de 78 cc) pautando Urología Dutasterida, Tamsulosina y Serenoa repens, descartando otras patologías nefrourológicas.
Acude a consulta de primaria por presentar aumento de urgencia miccional y nicturia habitual desde hace unos meses pese a tratamiento indicado por parte de Urología. Presentando asimismo microhematuria en anormales y sedimentos de orina.
Por este motivo se solicita ecografía clínica para valorar la vía urinaria.
Hallazgos ecográficos
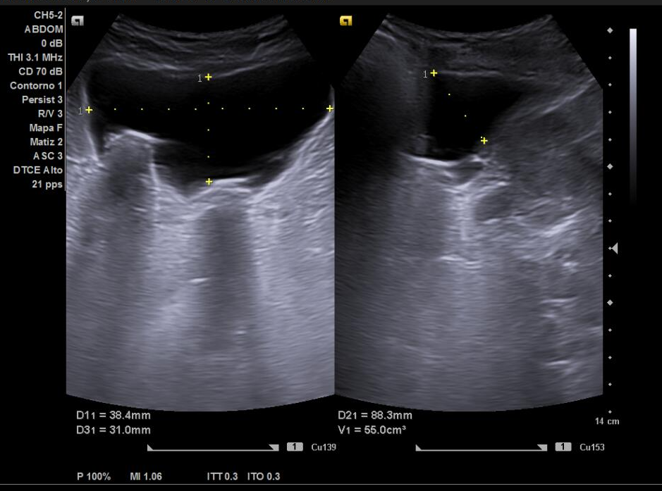
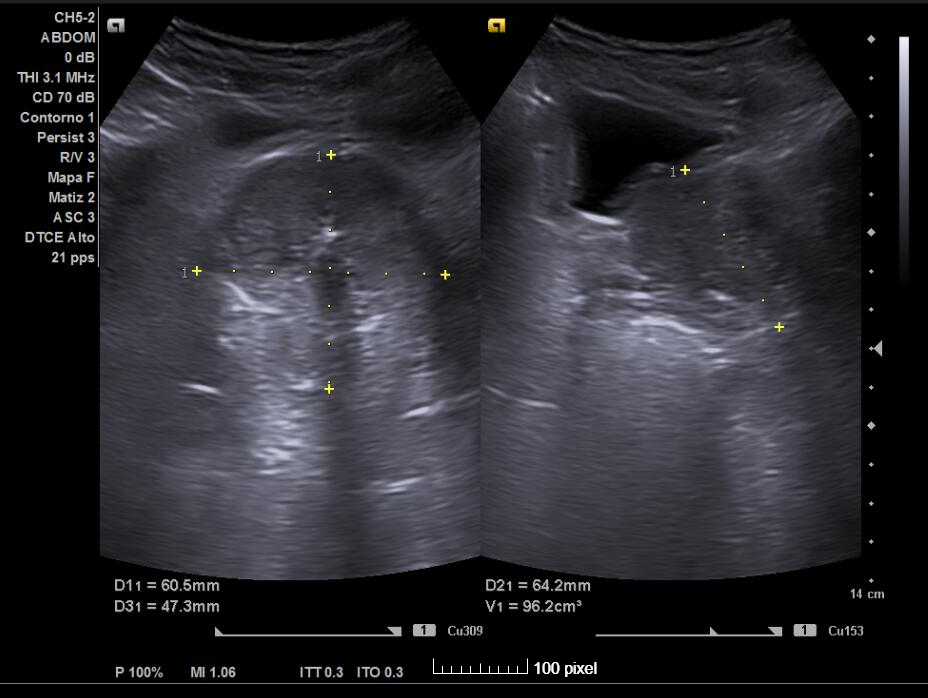
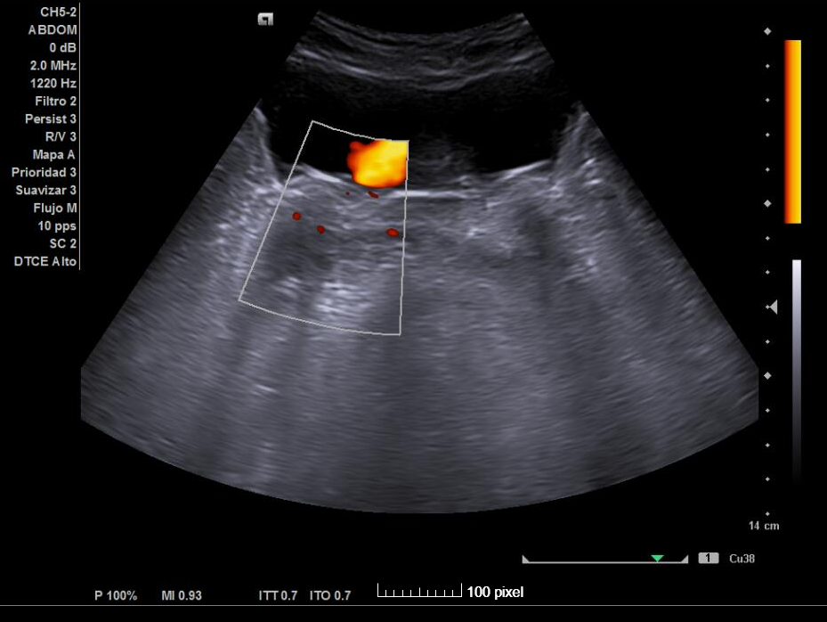
Ecografía clínica urinaria:
Pruebas complementarias
Citología urinaria siendo negativa para células neoplásicas, pero con presencia de cristales de oxalato cálcico.
Juicio clínico, diagnóstico diferencial, concordancia con el hospital (en su caso)
Diagnóstico: ureterectasia con ureteroceles bilaterales.
Como diagnóstico diferencial, se debe pensar en: obstrucción por litiasis, estenosis, compresión extrínseca, reflujo vesicoureteral, megauréter no obstructivo y ureteroceles.
Tratamiento, planes de actuación
Se decidió derivación de forma preferente al servicio de Urología.
Evolución
Actualmente se encuentra pendiente de segunda valoración por parte del servicio de Urología, tras solicitud de analítica con antígeno prostático, flujometría y nueva ecografía urinaria.
La ecografía clínica y la continuidad asistencial, que ofrece la Atención Primaria, permiten orientar diagnósticos y seguir patologías mediante una exploración rápida, fiable e inocua, mejorando así la toma de decisiones en nuestros pacientes.



