5, 6 y 7 de febrero de 2026
Molestias epigástricas, pérdida de apetito y pérdida de peso progresiva durante los dos últimos meses.
Enfoque individual
Mujer de 70 años con antecedentes familiares de cáncer gástrico (padre y hermano), sin otros antecedentes médicos relevantes, ni hábitos tóxicos. Consulta por molestias epigástricas inespecíficas y pérdida ponderal, sin otra sintomatología. La exploración física resulta anodina. Se realiza ecografía clínica abdominal en consulta.
Hallazgos ecográficos
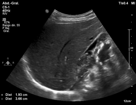
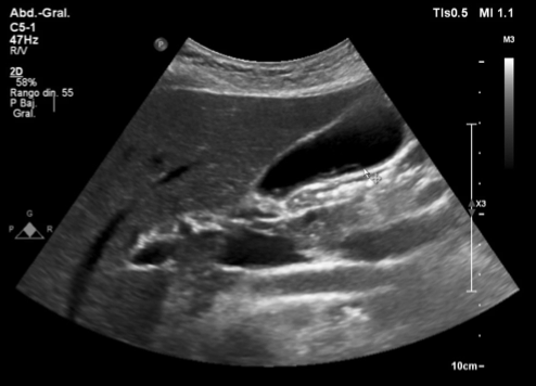
Hígado de tamaño, morfología y ecoestructura conservadas, con un quiste simple y sin alteraciones significativas en la vesícula, la vía biliar y el área pancreática. Tanto el bazo como los riñones sin hallazgos significativos. Sin embargo, se observan múltiples adenopatías en hilio hepático. Hallazgo inesperado que motiva la ampliación del estudio con gastroscopia y ecografía abdominal reglada preferentes.
Pruebas complementarias
La gastroscopia muestra gastritis crónica y una úlcera en la incisura gástrica de aspecto dudoso, por lo que el servicio de Digestivo decide de forma inmediata completar el estudio con un TAC abdominopélvico, que evidencia engrosamiento hipodenso de la pared gástrica y conglomerado adenopático perigástrico. Posteriormente, se realiza ecoendoscopia con punción-aspiración, cuyo resultado es compatible con síndrome linfoproliferativo B de bajo grado, sugestivo de linfoma del manto.
Juicio clínico, diagnóstico diferencial, concordancia con el hospital (en su caso)
Juicio clínico: Múltiples adenopatías en hilio hepático.
Diagnóstico definitivo: Linfoma de células del manto.
Tratamiento, planes de actuación
Se deriva a hematología, donde la paciente es incluida en un ensayo clínico con R-CHOP y acalabrutinib. Se inicia seguimiento multidisciplinar.
Evolución
La paciente mantiene buena tolerancia al tratamiento y evolución favorable, sin síntomas B, con ECOG 0 en los controles y seguimiento mediante control analítico y PET-TAC.
Este caso resalta la importancia de la ecografía en manos del médico de familia como herramienta esencial que permite acelerar el proceso diagnóstico, optimizar recursos y reforzar la capacidad resolutiva de la Atención Primaria.


