5, 6 y 7 de febrero de 2026
Servicio de Urgencias de Atención Primaria.
Paciente hombre de 14 años que acude por dolor intenso e inflamación en el testículo derecho desde hace aproximadamente una hora.
Enfoque individual
Sin alergias medicamentosas conocidas ni antecedentes médico-quirúrgicos de interés. No refiere traumatismo previo, fiebre, ni síntomas urinarios asociados.
El paciente refiere dolor escrotal súbito, intenso, localizado en el hemiescroto derecho, acompañado de náuseas sin vómitos y malestar general. A la exploración física: tensión arterial: 110/70 mmHg, frecuencia cardíaca: 96 lpm, temperatura: 36,7 ºC. Exploración escrotal: aumento de tamaño y eritema del testículo derecho, muy doloroso a la palpación, con ascenso y posición horizontal de dicho testículo. Reflejo cremastérico ausente en el testículo derecho. El testículo izquierdo es normal.
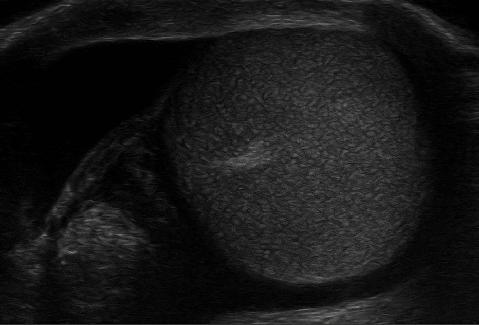
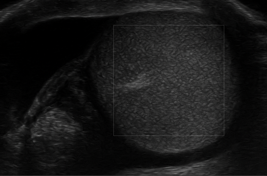
Ante la sospecha de torsión testicular, se realiza una ecografía escrotal con sonda lineal de alta frecuencia por el médico de familia en el centro de salud observándose un testículo derecho aumentado de tamaño, con ecogenicidad heterogénea y ausencia total de flujo en el estudio Doppler. Se observó también aspecto arremolinado del cordón espermático (signo del remolino), hallazgo compatible con torsión testicular aguda. La ecografía del testículo izquierdo fue normal, con flujo conservado.
Enfoque familiar y comunitario
Vive con sus padres y una hermana mayor. Buen entorno familiar. Estudiante de Educación Secundaria. No antecedentes familiares de patología testicular.
Juicio clínico, diagnóstico diferencial, identificación de problemas
Torsión testicular derecha confirmada por ecografía clínica.
Tratamiento y planes de actuación
Se administra analgesia por vía intramuscular. Se deriva al paciente al hospital de referencia para ser valorado por el Servicio de Urología y realizar tratamiento quirúrgico definitivo urgente.
Evolución
El paciente es intervenido de urgencia, confirmándose la torsión del cordón espermático derecho con isquemia testicular parcial. Se realiza detorsión y orquidopexia bilateral. La evolución postoperatoria fue favorable, conservando la viabilidad del testículo afectado. En revisiones posteriores no presentó secuelas funcionales.
Este caso clínico pone de manifiesto la gran importancia de la ecografía clínica en Atención Primaria como una herramienta diagnóstica rápida y accesible ante un paciente con escroto agudo, permitiendo identificar la torsión testicular y activar precozmente la derivación hospitalaria, lo que resulta crucial para preservar la función testicular. El reconocimiento temprano y la coordinación eficaz con los especialistas hospitalarios son determinantes para el pronóstico.

