X Jornadas de Actualización en Medicina de Urgencias y VI Jornadas de Ecografía de la semFYC
6-7-8 de febrero de 2025
Atención Primaria.
Dolor y tumefacción en brazo izquierdo de 5 meses de evolución.
Antecedentes personales relevantes, anamnesis, exploración física y lugar que ocupa en ella la ecografía
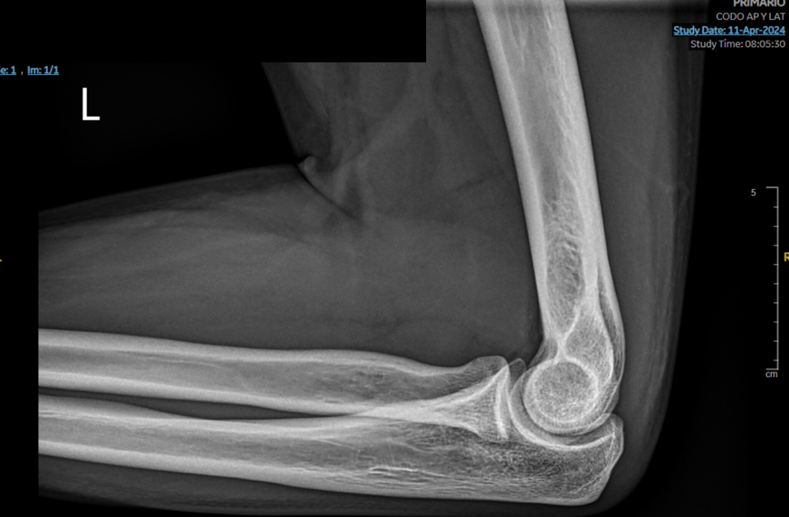
Hombre de 17 años que acude a consulta en agosto de 2024 por dolor y tumefacción a nivel de epicóndilo de codo izquierdo. En abril sufrió una caída contra una palmera y desde ese momento ha consultado hasta en tres ocasiones en Urgencias por dolor. En el informe de urgencias se diagnostica un absceso cutáneo de 1 cm de diámetro y se solicita una radiografía de codo (sin alteraciones). Se alta con antibioterapia. En consulta persiste la sintomatología. Se revisa la radiografía y se repite la exploracion física: tumefacción de 1,5 cm de diámetro en epicóndilo izquierdo. Se decide realizar una ecografía músculoesquelética con identificación de un cuerpo extraño tras lo que se procede a su extracción que resulta ser una púa de 2,6 cm.
Descripción de los hallazgos ecográficos y las imágenes más relevantes para la resolución del caso
Otras pruebas complementarias realizadas (si existen)
No existen.
Juicio clínico, diagnóstico diferencial, concordancia con el hospital (en su caso)
Al inicio se sospechaba una reacción cutánea a cuerpo extraño no evidenciado en radiografía que se confirmó mediante ecografía.
Diagnóstico final: reacción cutánea a cuerpo extraño (púa de palmera).
Decisiones adoptadas: tratamiento, planes de actuación
Tras la ecografía se procede a la extracción de dicho cuerpo extraño que resulta ser una púa de palmera de 2,6 cm de longitud.
Evolución y seguimiento
Curación de la lesión cutánea con cese del dolor y recuperación de la funcionalidad del antebrazo.
La ecografía es una prueba complementaria accesible desde Atención Primaria, inocua y rápida que permite la identificación de estructuras que, como la descrita en el caso clínico, resultan invisibles a la radiografía convencional, lo cual favorece el logro de diagnósticos más certeros que evitan medidas terapéuticas futiles y la cronificación del dolor musculoesquelético.



