X Jornadas de Actualización en Medicina de Urgencias y VI Jornadas de Ecografía de la semFYC
6-7-8 de febrero de 2025
Hombre de 93 años, independiente, que ingresa por covid y bacteriemia por E. coli en el Hospital a cargo de Infecciosas.
Acude a consulta de AP tras el alta por edema unilateral de pie izquierdo. Molestia pero no dolor claro. No fiebre ni oliguria ni otros edemas.
Antecedentes personales relevantes, anamnesis, exploración física y lugar que ocupa en ella la ecografía
Antecedentes personales:
Exploración física: leve edema y ligero enrojecimiento de zona tibial anterior, dorso del pie, molesto a la palpación, pero sin dolor claro, no signos claros de TVP. Pulsos presentes. Pierna contralateral normal.
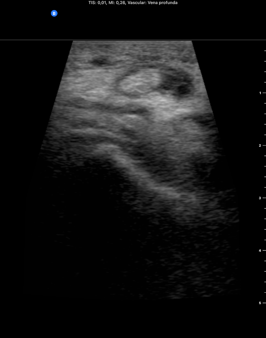
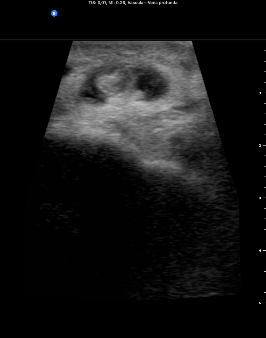
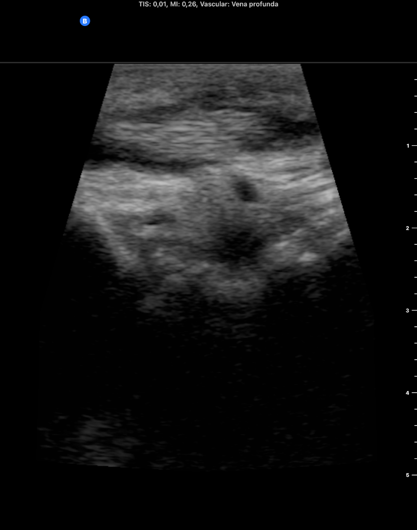
Descripción de los hallazgos ecográficos y las imágenes más relevantes para la resolución del caso
EcoscopiAP: líquido peritendinoso alrededor del tendón del m tibial anterior. Mínimo edema del tj cel sc. No TVP.
Otras pruebas complementarias realizadas (si existen)
El paciente estaba tomando ciprofloxacino desde el ingreso por la bacteriemia por e. coli que además, debía tomar 10 días más. Durante el ingreso tuvo una excelente tolerancia.
Juicio clínico, diagnóstico diferencial, concordancia con el hospital (en su caso)
Impresión diagnóstica: tenidnopatia por ciprofloxacino.
Decisiones adoptadas: tratamiento, planes de actuación
Dados los hallazgos ecoscópicos, cambié el tto por septrim forte segun antibiograma del hemocultivo extraído durante el ingreso y el paciente mejoró sustancialmente sin ningún otro tipo de tratamiento en 1 semana.
Evolución y seguimiento
Mejoró hasta hacerse asintomático.
Sin la ecoscopia a pie de cama, posiblemente hubiéramos derivado al paciente para descartar TVP distal a urgencias, por lo que en este caso, la ecoscopia ha evitado una derivación al segundo nivel además de haber demostrado una RAM para la quinolonas en este paciente.



