X Jornadas de Actualización en Medicina de Urgencias y VI Jornadas de Ecografía de la semFYC
6-7-8 de febrero de 2025
Atención Primaria.
Antecedentes personales relevantes, anamnesis, exploración física y lugar que ocupa en ella la ecografía
Antecedentes personales: No alergias medicamentosas conocidas. No enfermedades conocidas ni intervenciones quirúrgicas previas. Vacunación realizada según calendario. No tratamiento habitual. Ciclo familiar: etapa IIb (extensión).
Anamnesis: escolar de 11 años, que acude a consulta derivado desde su fisioterapeuta de ámbito privado, ante hallazgos en ecografía clínica relacionados con tumefacción en miembro inferior izquierdo, tras traumatismo deportivo hace una semana. El paciente se encuentra paucisintomático, con leve dolor a la movilización y tumefacción que limita el balance articular completo.
Exploración y lugar que ocupa la ecografía en ella: TA: 110/ 67 mmHg, FC: 106 lpm. Peso: 41 kg. Afebril (35,8 ºC). SatO2: 99% basal. Buen estado general, fenotipo normal, no exantemas ni petequias. Triángulo de evaluación pediátrica estable. Normohidratado, normocoloreado, normoperfundido. En miembro inferior izquierdo: tumefacción fusiforme indurada en todo el recorrido de muslo, con aumento de temperatura, sin crepitación. Balance articular limitado por tumefacción. No signos de sangrado activo externo. En ese contexto, se realiza ecografía clínica por nuestra parte.
Descripción de los hallazgos ecográficos y las imágenes más relevantes para la resolución del caso
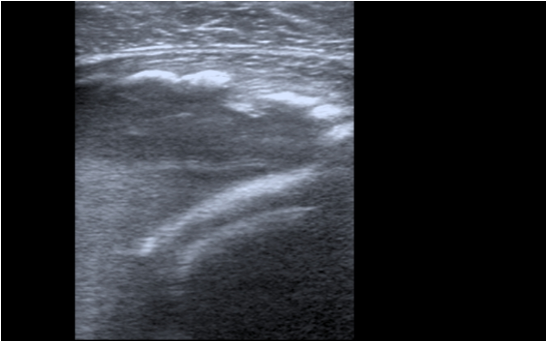
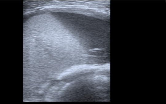
Hematoma no encapsulado de 5 x 9 cm en vasto intermedio, sin captación de doppler color y con aparición en bordes externos de calcificaciones con sombra acústica posterior.
Juicio clínico, diagnóstico diferencial, concordancia con el hospital (en su caso)
Juicio clínico: miositis osificante.
Diagnóstico diferencial: quiste simple, tumefacción en parte blanda, sarcoma de partes blandas.
Identificación de problemas: ante hallazgos compatibles con inicio de posible miositis osificante, se solicita consentimiento informado oral, tanto al paciente como a su madre, para drenaje del hematoma.
Decisiones adoptadas: tratamiento, planes de actuación
Bajo correctas medidas de asepsia con clorhexidina al 2%, y mediante aguja espinal de 20G, se realiza drenaje completo del hematoma, vendaje compresivo y nueva derivación a fisioterapia para continuar con tratamiento.
Evolución y seguimiento
Damos cita de control a la semana, sin reproducción del hematoma. Paciente asintomático, salvo leve molestia a la flexoextensión, con buena evolución. Hematología pediátrica solicitó posteriormente una RMN para el estudio del hematoma, la cual confirmó el diagnóstico de miositis osificante.
La ecografía clínica permite realizar un diagnóstico y abordaje precoz que facilita la intervención en la fase aguda del proceso, limitando posibles complicaciones a largo plazo. El aprendizaje del intervencionismo ecoguiado nos ofrece una mayor seguridad a la hora de realizar punciones, evacuaciones o infiltraciones, evitando la punción accidental de otras estructuras.



