5, 6 y 7 de febrero de 2026
Alteraciones visuales.
Enfoque individual
Antecedentes personales: NAMC. No FRCV. Migraña episódica de baja frecuencia (en ocasiones con aura visual). Intervenciones quirúrgicas: septoplastia (2008), septoplastia secundaria + turbinoplastia (2023). Tratamiento: No refiere.
Acude a consulta de Atención Primaria por miodesopsias, fotopsias y pérdida de visión en ojo derecho de dos días de evolución. Se realiza oftalmoscopia sin dilatación donde se aprecia en ojo derecho se visualiza una mancha gris que no permite ver el fondo.
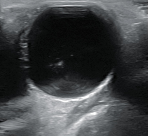
Hallazgos ecográficos
Se realiza ecografía donde se aprecia DVP en ojo derecho sin descartar hemovitreo y en campo superior y nasal una membrana más gruesa.
Pruebas complementarias
No se realizaron otras pruebas.Juicio clínico, diagnóstico diferencial, concordancia con el hospital (en su caso)
Se decide derivar al paciente al Servicio de Urgencias Hospitalarias para ser valorado por oftalmólogo y descartar posible desprendimiento de retina en ojo derecho. En el Servicio de Urgencias el paciente es valorado por oftálmologo de guardia y se confirma desgarro retiniano en herradura con hemovítreo.
Tratamiento, planes de actuación
Tratamiento al alta: reposo con postura semisentada, abundante hidratación, ciclopléjico colirio cada 8 horas y acudir al día siguiente a consulta de OFT para nueva evaluación y terapia láser del desgarro.
Evolución
Acude a consulta de oftalmología para revisión. Se explica el proceso al paciente y se programa cirugía preferente. Guardará reposo absoluto en decubito lateral izquierdo con oclusión bilateral. Atropina cada 8 horas.



