X Jornadas de Actualización en Medicina de Urgencias y VI Jornadas de Ecografía de la semFYC
6-7-8 de febrero de 2025
Servicio de Urgencias en varias ocasiones, finalmente necesitando ingreso hospitalario en planta de Cirugía General.
Dolor abdominal y fiebre sin pruebas de imagen concluyentes.
Enfoque individual: antecedentes personales, anamnesis, exploración, pruebas complementarias, etc.
Paciente mujer de 23 años sin antecedentes de interés, acude en una primera ocasión por dolor abdominal sugerente de apendicitis: cambio de localización del dolor de inicio, astenia, anorexia, dolor en fosa ilíaca derecha, fiebre y en la exploración Blumberg dudoso.
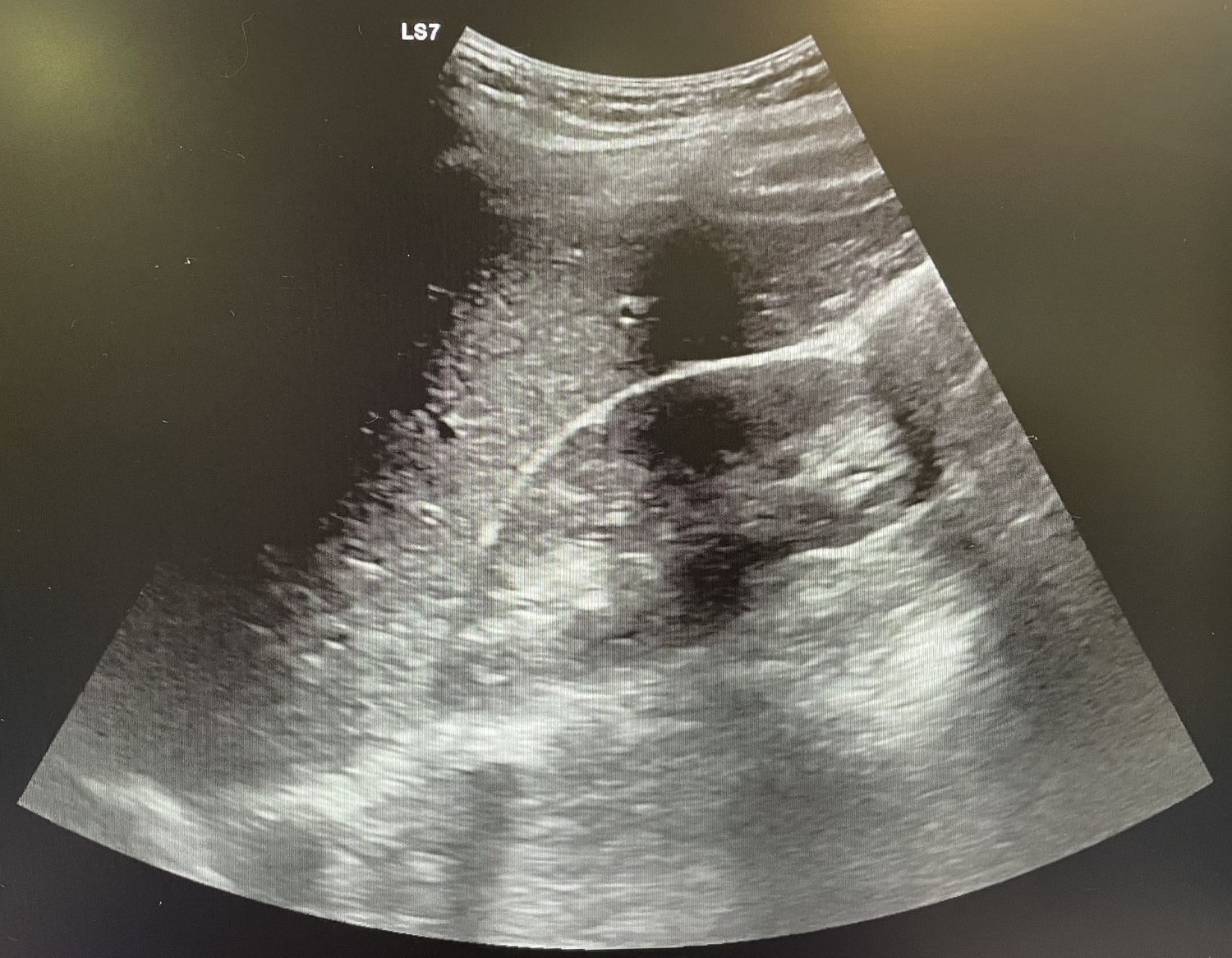
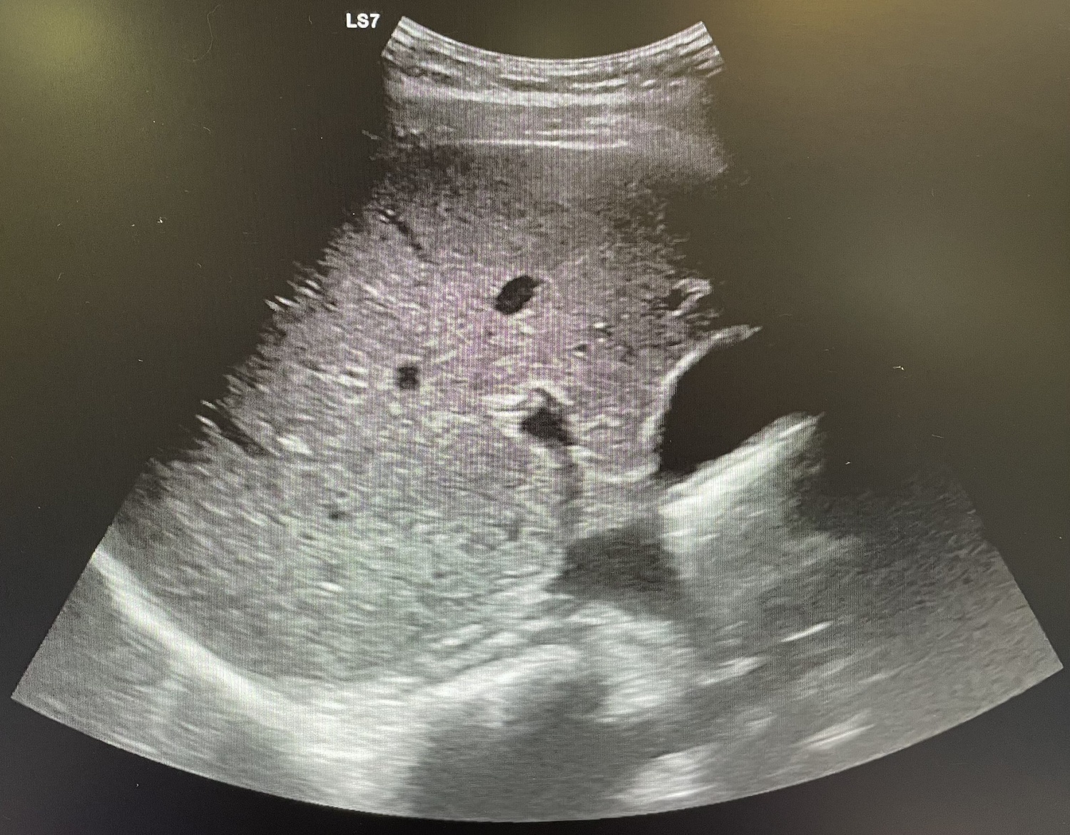
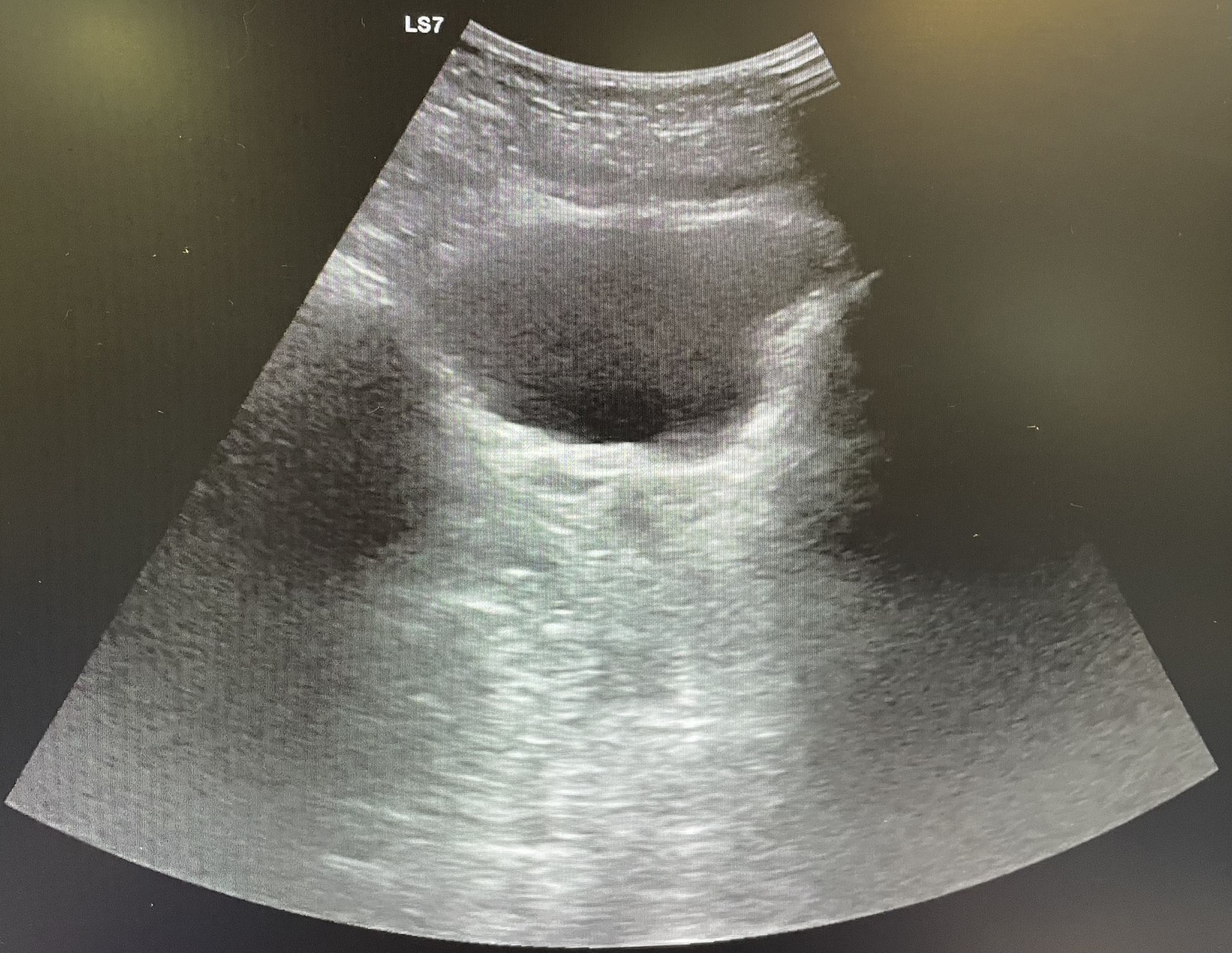
Se realiza analítica con aumento de reactantes de fase aguda (leucocitos 18.00 y PCR 108) y se indica ecografía abdominal que resulta no concluyente, por lo que se procede a alta.
Al día siguiente vuelve con la misma sintomatología, el dolor no cede con analgesia habitual. En la exploración Blumberg claramente positivo, se solicita analítica (leucocitos 13.000 y PCR 127) y se repite ecografía de abdomen que se sigue informando como no concluyente para apendicitis aguda.
Se realiza interconsulta con cirugía de guardia que decide ingreso en observación sin antibioterapia y ginecología de guardia descarta embarazo (BHCG < 2,3 y ECO-STV sin hallazgos), se desestima realizar TAC y ante mejoría de reactantes de fase aguda en analítica posteriores se da el alta al paciente.
La paciente vuelve a acudir a urgencias con la misma sintomatología por lo que decide realizar TAC donde se observa apendicitis evolucionada, se contacta con cirugía que ingresa al paciente por plastrón apendicular.
Enfoque familiar y comunitario: estudio de la familia y la comunidad (si fuese necesario)
No es necesario.
Juicio clínico, diagnóstico diferencial, identificación de problemas
Plastrón apendicular, con leves signos de peritonismo.
El principal problema es priorizar las pruebas de imagen a la clínica claramente sugestiva de la paciente, lo que causa el retraso del diagnóstico y tratamiento. Evitando al paciente posibles complicaciones graves como la perforación o peritonitis.
Tratamiento y planes de actuación.
Ingreso en planta para antibioterapia intravenosa y posible intervención quirúrgica posterior, según evolución de la paciente.
Evolución
Durante el ingreso la paciente presenta mejoría de la clínica, además de disminución de reactantes de fase aguda en analítica y ecográficamente sin peor evolución. Después de 3 días de ingreso se procede al alta a domicilio con antibioterapia oral y consulta de revisión ambulatoria.
Aunque la ecografía es una prueba de imagen muy útil, siempre la clínica del paciente debe prevalecer para realizar un buen acto médico.



