V Jornadas de Ecografía de la semFYC

9 y 10 de febrero de 2024

Comunicaciones: Casos clínicos

Sorpresa en la eco de rodilla (oral)

Ámbito del caso

Atención Primaria.

Motivos de consulta

Dolor en rodilla izquierda de larga evolución.

Historia clínica

Enfoque individual

Varón de 60 años con antecedentes registrados de HTA, DM2, hipertrigliceridemia y apnea del sueño. En tratamiento con Enalapril, Pravastatina/Fenofibrato y Dapagliflozina/Metformina. Consulta por dolor en rodilla izquierda, diagnosticado hace un año de artrosis y tratado con infiltración sin mejoría. La exploración física muestra peloteo rotuliano sugestivo de derrame articular, por lo que se decide realizar drenaje e infiltración ecoguiadas.

Hallazgos ecográficos

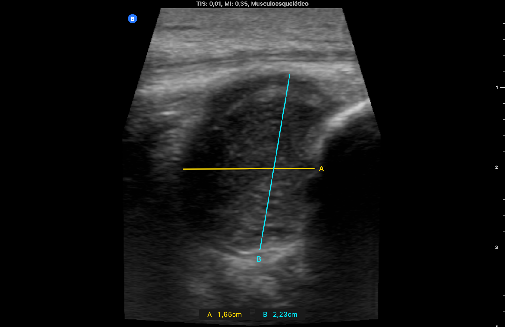
Abundante líquido intraarticular en espacio suprarrotuliano. Se extraen 50 cc de líquido seroso y se infiltra Scandinibsa y Celestone. En espacio infrarrotuliano en grasa de Hoffa se observa una masa bien delimitada de 2,23 x 1,73 x 1,65 cm, encapsulada y homogénea, con alguna línea hiperecoica horizontal (imagen 1).

Pruebas complementarias

Se solicita una RMN a través de econsulta a Reumatología.

Juicio clínico, diagnóstico diferencial, identificación de problemas

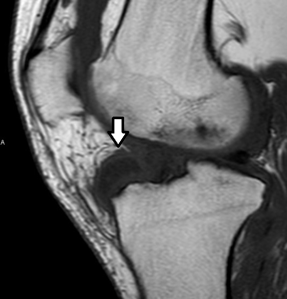
En RMN plantean tumor de células gigantes versus artropatía gotosa tofácea (imagen 2).

Tratamiento y planes de actuación

Radiología solicita RMN multiparamétrica y TAC espectral.

Evolución

Se revisa la historia clínica y se solicita analítica. En un episodio cerrado consta que hace 12 años el paciente presentó un primer cuadro de hiperuricemia sintomática (ácido úrico 10,6) y en una ecografía de rodilla se visualizó derrame articular con ligero engrosamiento sinovial compatible con artropatía gotosa; se inició Alopurinol y el ácido úrico disminuyó a 6. Cuatro años después el paciente cesó el tratamiento por su cuenta. En la analítica actual presenta ácido úrico de 11,6 y se reintroduce Alopurinol. El TAC espectral muestra aumento de partes blandas compatible con tofo gotoso y el análisis espectral de descompresión de materiales muestra depósitos de ácido úrico. La RMN multiparamétrica describe hallazgos compatibles con artropatía tofácea crónica.

Conclusiones (y aplicabilidad para la Medicina de Familia)

Ante un dolor de rodilla, la ecografía puede aportar mucha información para la toma de decisiones en Atención Primaria. En este caso, además del derrame articular, presenta una masa en el compartimento anteroinferior de la articulación. Sin embargo, también es importante una revisión exhaustiva de la historia clínica, incluyendo los episodios cerrados, que pueden orientarnos en el diagnóstico diferencial y dirigir mejor las ulteriores pruebas diagnósticas.
 
 
 
 

Comunicaciones y ponencias semFYC: 2026; Comunicaciones: Casos clínicos. ISSN: 2339-9333

Autores

Regueiro Toribio, Paula
CS Mar Báltico. Madrid
Ruiz Asensio, Pedro
CS Mar Báltico. Madrid
Alonso Roca, Rafael
CS Mar Báltico. Madrid