X Jornadas de Actualización en Medicina de Urgencias y VI Jornadas de Ecografía de la semFYC
6-7-8 de febrero de 2025
Antecedentes personales relevantes, anamnesis, exploración física y lugar que ocupa en ella la ecografía
Niega antecedentes médicos de interés ni tratamiento crónico. Refiere que el dolor comenzó 2-3 días antes junto con fiebre, sin disfagia ni disnea asociadas. Comenta que previamente presentó una infección de vías respiratorias altas.
En la exploración física se encuentra hemodinámicamente estable, sin alteraciones en la auscultación cardiopulmonar. En la palpación cervical se detecta un nódulo de 3-4 cm de diámetro, doloroso, no adherido a planos profundos. No se palpan adenopatías cervicales ni supraclaviculares.
Descripción de los hallazgos ecográficos y las imágenes más relevantes para la resolución del caso
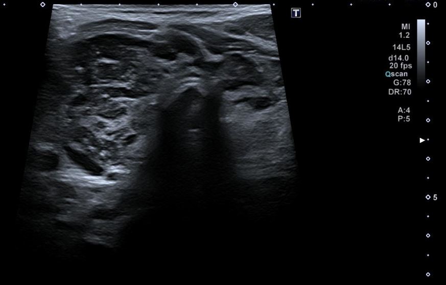
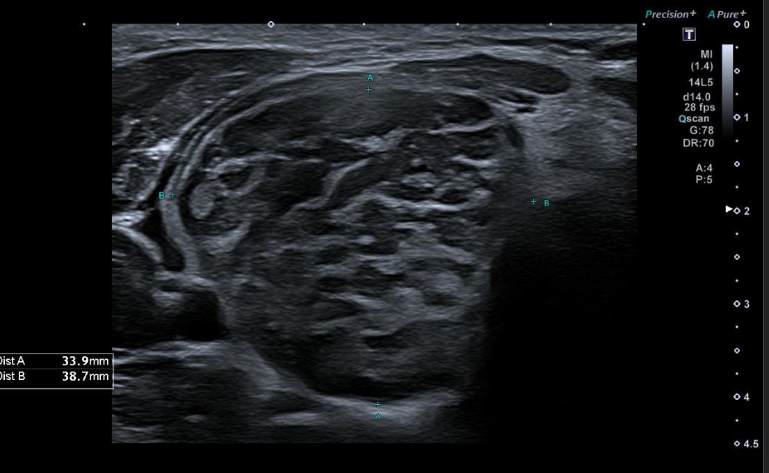
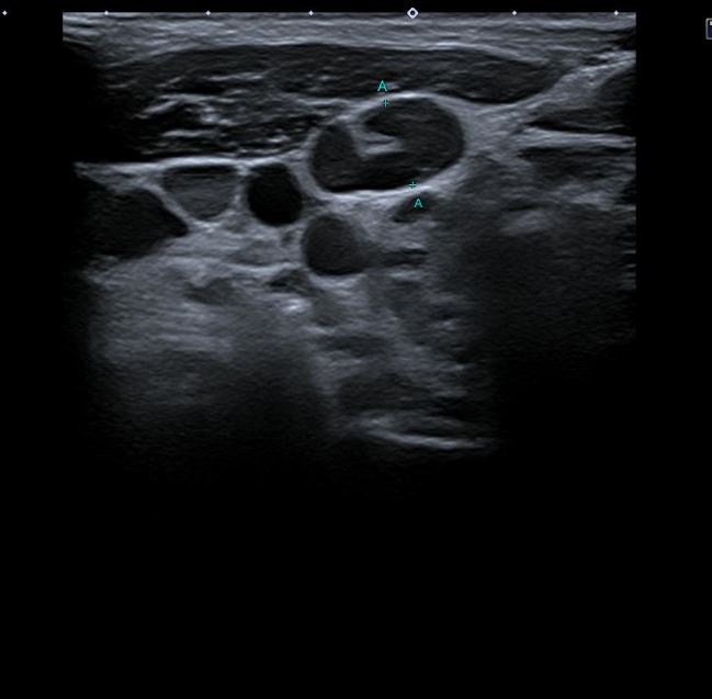
Una vez realizada la anamnesis y la exploración física, se decide realizar una ecografía clínica en la consulta, donde se objetiva un aumento difuso de tamaño del lóbulo tiroideo derecho (33,9 x 38,7 mm), levemente hipoecogénico, con áreas anecoicas en su interior y adenopatías asociadas. Se aplica Doppler color resultando positivo.
Otras pruebas complementarias realizadas (si existen)
No se realizan otras pruebas complementarias.
Juicio clínico, diagnóstico diferencial, concordancia con el hospital (en su caso)
El juicio clínico es de una tiroiditis aguda, por lo que se deriva al paciente a urgencias hospitalarias. En urgencias se solicita una analítica sanguínea en la que destaca Leucocitos 7,34 x 103 y PCR 68 mg/L; y una ecografía reglada donde se informa de «tiroides aumentado de tamaño a expensas de lóbulo tiroideo derecho con alteración de la ecogenicidad del parénquima que sugiere proceso infiltrativo afectado al lóbulo derecho, istmo y región anterior del lóbulo izquierdo, no pudiendo apreciar etiología infiltrativa o tumoral».
Decisiones adoptadas: tratamiento, planes de actuación
Una vez obtenidos estos resultados se inicia cobertura antibiótica con Amoxicilina/ácido clavulánico y se decide ingreso en Endocrinología.
Evolución y seguimiento
Durante la hospitalización el paciente presenta buena evolución, sin alteraciones en la función tiroidea y con descenso progresivo de los reactantes de fase aguda, por lo que es dado de alta con el diagnóstico de Tiroiditis aguda/subaguda.
En la consulta de Atención Primaria la aproximación diagnóstica inicial está basada en los hallazgos obtenidos en la anamnesis y la exploración física, ya que el acceso a pruebas complementarias es limitado. Por este motivo, disponer de un ecógrafo en la consulta es tan importante, ya que aporta información en tiempo real que puede llegar a ser fundamental en la toma de decisiones.



