V Jornadas de Ecografía de la semFYC

9 y 10 de febrero de 2024

Comunicaciones: Casos clínicos

Signos ecográficos en la insuficiencia cardíaca congestiva, a propósito de un caso especialmente sintomático (oral)

Ámbito del caso

Atención Primaria

Motivos de consulta

Paciente con valvulopatía mitral con incremento de la disnea y edemas

Historia clínica

Enfoque individual

Paciente de 72 años, con antecedentes de recambio valvular mitral en el 2.000 con prótesis mecánica Carbomedics nª 29, por estenosis severa reumática. Fibrilación auricular permanente, anticoagulada con dicumarínicos. En los últimos controles se objetivaba fracción de eyección de ambos ventrículos conservada, estenosis aótica modera estable, coronarias normales, aurículas severamente dilatadas e hipertensión pulmonar moderada (55 - 60 mmHg). Habitualmente en clase funcional I (NYHA), con disnea de esfuerzos moderados.
Desde hace 2 semanas ha experimentado un empeoramiento de la disnea, que ha pasado a ser de mínimos esfuerzos (NYHA III), sin ortopnea ni disnea paroxística nocturna. Ha ganado 8 kg en 2 meses sin causa aparente ni abandono del tratamiento y en la exploración hay ingurgitación yugular a 45º, hepatomegalia y edemas bimaleolares.

Hallazgos ecográficos

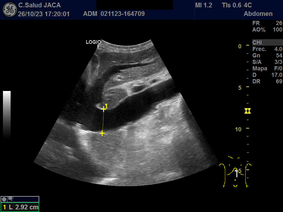
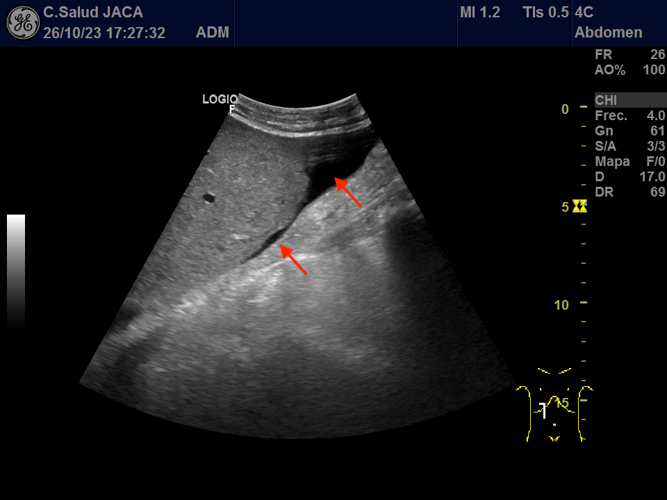
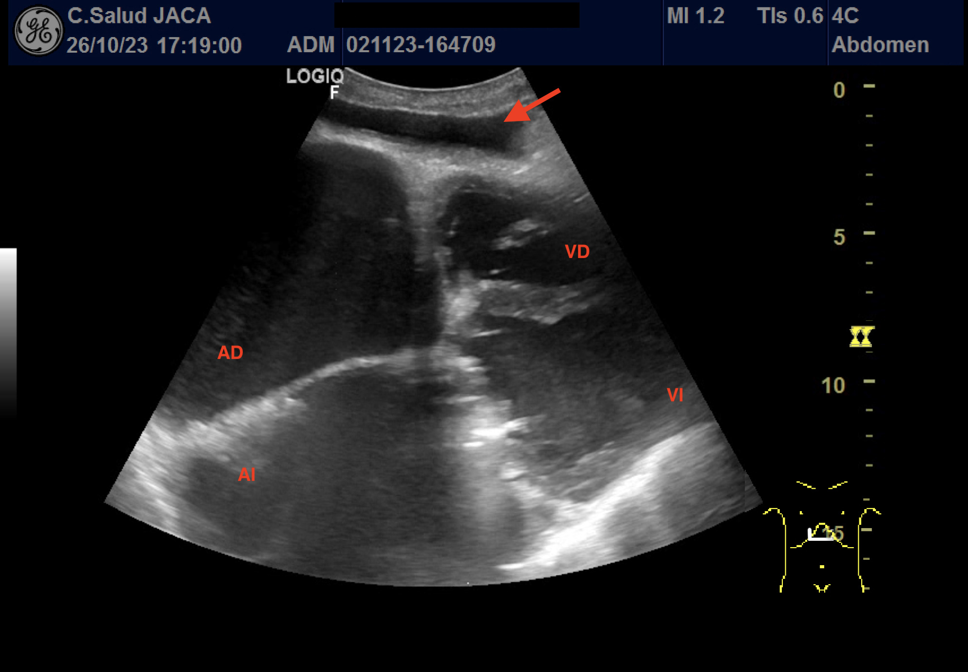
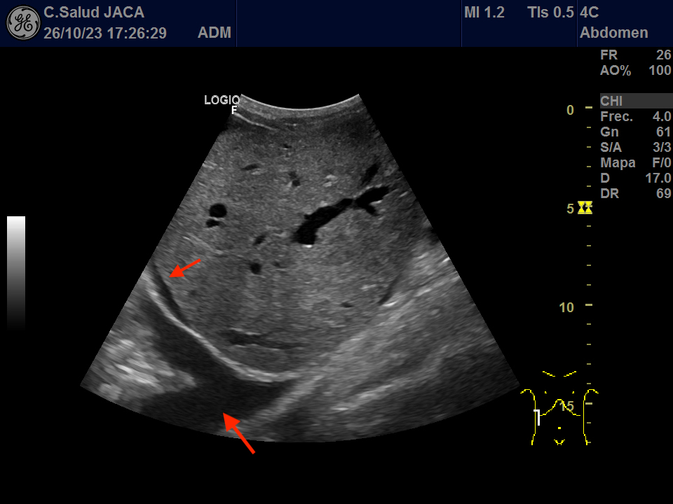
Presentamos las ilustrativas imágenes ecográficas obtenidas con sonda convex en la consulta de su Médico de Familia, que muestran derrame pleural y pericárdico, gran dilatación de ambas aurículas (ventana subxifoidea), ascitis, engrosamiento de 30 mm de la cava a su entrada en la aurícula derecha, que no se modifica con la inspiración, y congestión igualmente de las venas suprahepáticas.

Pruebas complementarias

En la eco pulmonar tan solo se aprecian 1-2 líneas B por campo, lo que venía a reflejar ausencia de edema intersticial.

Juicio clínico, diagnóstico diferencial, identificación de problemas

Insuficiencia cardíaca congestiva.

Conclusiones (y aplicabilidad para la Medicina de Familia)

La exploración ecográfica a la cabecera del paciente nos permite complementar y ampliar la exploración física en la evaluación del estado hemodinámico en una insuficiencia cardíaca congestiva. Mediante un método no invasivo podemos estimar la presión venosa central que refleja el grado de congestión venosa. Todo ello nos aporta argumentos objetivos para ayudarnos a tomar decisiones sobre la actitud a tomar con la paciente.


Comunicaciones y ponencias semFYC: 2026; Comunicaciones: Casos clínicos. ISSN: 2339-9333

Autores

Gabás Eito, Miriam
CS de Jaca
Marcos Perez, Carolina
CS de Jaca
Lorente Aznar, Teofilo
CS de Jaca