5, 6 y 7 de febrero de 2026
El propósito de esta sesión fue mostrar la técnica de estudio anatómico y dinámico del ojo humano para un grupo de autoaprendizaje de ecografía.
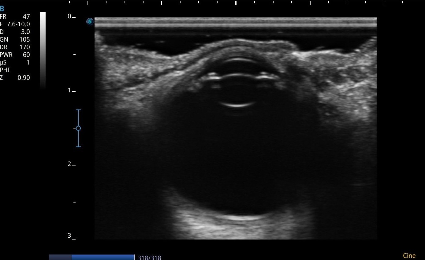
En la primera parte de la sesión se explicó la sistemática de trabajo y la anatomía normal y alterada del órgano de la vista mediante una presentación con diapositivas. Se hizo un breve recordatorio histórico destacando las principales ventajas de los ultrasonidos respecto a otras técnicas de imagen y un repaso de la anatomía del ojo humano. Se mostraron las estructuras del ojo que son visibles en ecografía, su diferente ecogenicidad y las sondas y ajustes necesarios en el ecógrafo para evitar iatrogenia. Por último se presentaron imágenes de hallazgos patológicos en ecografía ocular.
En la segunda parte de la sesión se utilizó un ecógrafo para la puesta en práctica de lo expuesto a nivel teórico y se obtuvieron imágenes de los asistentes. Para el estudio anatómico, el empleo de una sonda lineal permite la visualización de las diferentes estructuras mediante un recorrido axial y longitudinal, además de la medición del globo ocular y el nervio óptico. Dentro del estudio dinámico, la sonda sectorial ayuda a conocer el estado de la cámara y humor vítreos, y el flujo de la arteria y vena oftálmicas.
El ojo es un órgano superficial y radiosensible que se puede beneficiar del uso de los ultrasonidos para su estudio anatómico y dinámico.
Es necesario disminuir la potencia acústica para evitar iatrogenia.
La ecografía se ha convertido en una herramienta útil para el especialista en Medicina de Familia y Comunitaria debido a que es rápida, reproducible, no emite radiación ionizante y se encuentra ampliamente disponible en las consultas. En el caso de la ecografía ocular, permite una primera aproximación para descartar patología que requiera de una valoración inmediata por parte del oftalmólogo.

