X Jornadas de Actualización en Medicina de Urgencias y VI Jornadas de Ecografía de la semFYC
6-7-8 de febrero de 2025
Servicio de urgencias hospitalario.
Dolor abdominal.
Enfoque individual: antecedentes personales, anamnesis, exploración, pruebas complementarias, etc.
Anamnesis: Hombre de 40 años, con antecedentes de obesidad grado IV, dislipemia y tabaquismo leve, que acude por fiebre nocturna de 3 días y dolor abdominal intenso en ambos hipocondrios irradiado a hombros, acompañado de náuseas y vómitos. Niega traumatismos, ingesta de alimentos en mal estado, viajes recientes o síndrome constitucional.
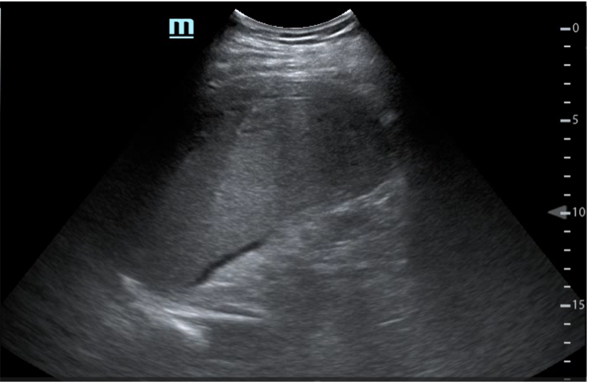
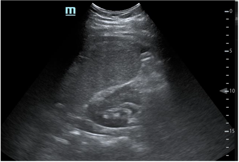
EF: Mal estado general, palidez mucocutánea, sudoración profusa. Intolerancia al decúbito supino con postura antiálgica. Abdomen: doloroso a la palpación difusa con defensa abdominal generalizada. Se realiza ecografía clínica a pie de cama objetivando líquido libre abdominal.
PPCCs:
Enfoque familiar y comunitario: estudio de la familia y la comunidad (si fuese necesario)
No.
Juicio clínico, diagnóstico diferencial, identificación de problemas
Hematoma subcapsular espontáneo del bazo.
Tratamiento y planes de actuación.
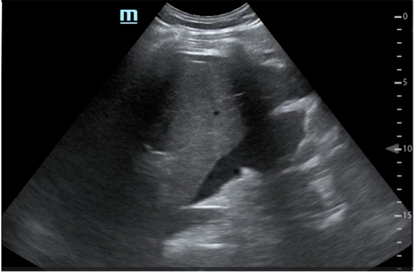
Paciente con cuadro de abdomen agudo ante hallazgos en ecografía clínica y anemización se solicita TAC abdominal para completar estudio. Ante diagnóstico de hematoma subcapsular esplénico y hemoperitoneo sin sangrado activo, ingresa para control del dolor y seguimiento clínico sin necesidad de intervención quirúrgica. Se solicitan serologías resultando negativas.
Evolución
Tras 9 días de ingreso, el paciente fue dado de alta con seguimiento ambulatorio, mostrando mejoría clínica y reducción progresiva del hematoma en las imágenes de control.
En este caso se pone de manifiesto la gran utilidad de la ecografía clínica a pie de cama para el enfoque diagnóstico y manejo de un paciente en urgencias.
La rotura esplénica atraumática es una entidad poco frecuente y que supone un reto diagnóstico.
En nuestro caso, se descartan infecciones virales/bacterianas y se plantea la posibilidad de relación con la obesidad mórbida, aunque no existen evidencias concluyentes en la literatura médica. La rotura esplénica atraumática, aunque rara, representa un desafío diagnóstico, y su manejo depende de la identificación temprana y adecuada de la causa subyacente.



